Skip to main content

FMO3 Antibody - BSA Free

Novus Biologicals, part of Bio-Techne | Catalog # NBP1-33583

Novus Biologicals, part of Bio-Techne
Catalog #
Availability
Size / Price
Qty
Loading...
NBP1-33583

Key Product Details

Species Reactivity

Validated:

Human, Mouse

Predicted:

Chimpanzee (100%), Rhesus Macaque (100%). Backed by our 100% Guarantee.

Applications

Immunohistochemistry, Immunohistochemistry-Paraffin, Western Blot, Immunocytochemistry/ Immunofluorescence

Label

Unconjugated

Antibody Source

Polyclonal Rabbit IgG

Format

BSA Free

Concentration

Concentrations vary lot to lot. See vial label for concentration. If unlisted please contact technical services.

Product Specifications

Immunogen

Recombinant protein encompassing a sequence within the center region of human FMO3. The exact sequence is proprietary.

Reactivity Notes

Rat (81%), Canine (84%), Rabbit (81%), Bovine (83%).

Localization

Microsome membrane, Endoplasmic reticulum membrane

Clonality

Polyclonal

Host

Rabbit

Isotype

IgG

Theoretical MW

60 kDa.
Disclaimer note: The observed molecular weight of the protein may vary from the listed predicted molecular weight due to post translational modifications, post translation cleavages, relative charges, and other experimental factors.

Description

Novus Biologicals Rabbit FMO3 Antibody - BSA Free (NBP1-33583) is a polyclonal antibody validated for use in IHC, WB and ICC/IF. Anti-FMO3 Antibody: Cited in 1 publication. All Novus Biologicals antibodies are covered by our 100% guarantee.

Scientific Data Images for FMO3 Antibody - BSA Free

Western Blot: FMO3 Antibody [NBP1-33583]

Western Blot: FMO3 Antibody [NBP1-33583]

Western Blot: FMO3 Antibody [NBP1-33583] - Sample (30 ug of whole cell lysate) A: H1299 7. 5% SDS PAGE; antibody diluted at 1:1000.
Immunocytochemistry/ Immunofluorescence: FMO3 Antibody [NBP1-33583]

Immunocytochemistry/ Immunofluorescence: FMO3 Antibody [NBP1-33583]

Immunocytochemistry/Immunofluorescence: FMO3 Antibody [NBP1-33583] - Analysis of methanol-fixed A431, using antibody at 1:200 dilution.
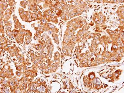
Immunohistochemistry-Paraffin: FMO3 Antibody [NBP1-33583]

Immunohistochemistry-Paraffin: FMO3 Antibody [NBP1-33583]

Immunohistochemistry-Paraffin: FMO3 Antibody [NBP1-33583] - Paraffin-embedded OVCAR3 xenograft, using antibody at 1:100 dilution.

Applications for FMO3 Antibody - BSA Free

Application
Recommended Usage

Immunocytochemistry/ Immunofluorescence

1:100-1:1000

Immunohistochemistry

1:100-1:1000

Immunohistochemistry-Paraffin

1:100-1:1000

Western Blot

1:500-1:3000

Formulation, Preparation, and Storage

Purification

Antigen Affinity-purified

Formulation

0.1M Tris, 0.1M Glycine, 20% Glycerol

Format

BSA Free

Preservative

0.01% Thimerosal

Concentration

Concentrations vary lot to lot. See vial label for concentration. If unlisted please contact technical services.

Shipping

The product is shipped with polar packs. Upon receipt, store it immediately at the temperature recommended below.

Stability & Storage

Aliquot and store at -20C or -80C. Avoid freeze-thaw cycles.

Background: FMO3

The mammalian flavin-containing monooxygenases (FMO; EC 1.14.13.8) represent a multigene family whose gene products are localized in the endoplasmic reticulum of many tissues. These enzymes catalyze the NADPH-dependent oxidative metabolism of many drugs, pesticides, and other foreign compounds. Their substrates are soft nucleophiles with an electron-rich center, typically a nitrogen, sulfur or phosphorus-containing functional group, as the site for oxidative attack by the enzyme (Ziegler, 1990 [PubMed 2203193]; Hines et al., 1994 [PubMed 8128486]).[supplied by OMIM]

Alternate Names

dimethylaniline monooxygenase [N-oxide-forming] 3, Dimethylaniline oxidase 3, dJ127D3.1, EC 1.14.13.8, flavin containing monooxygenase 3, FMO 3, FMO form 2, FMO II, FMOII, Hepatic flavin-containing monooxygenase 3, hepatic flavin-containing monooxygenase-3, MGC34400, TMAU

Gene Symbol

FMO3

Additional FMO3 Products

Product Documents for FMO3 Antibody - BSA Free

Certificate of Analysis

To download a Certificate of Analysis, please enter a lot number in the search box below.

Product Specific Notices for FMO3 Antibody - BSA Free

This product is for research use only and is not approved for use in humans or in clinical diagnosis. Primary Antibodies are guaranteed for 1 year from date of receipt.

Loading...
Loading...
Loading...
Loading...

⚠ WARNING: This product can expose you to chemicals including mercury, which is known to the State of California to cause reproductive toxicity with developmental effects.  For more information go to www.P65Warnings.ca.gov.