Skip to main content

FLRT3 Antibody - BSA Free

Novus Biologicals, part of Bio-Techne | Catalog # NBP3-41366

Novus Biologicals, part of Bio-Techne
Catalog #
Availability
Size / Price
Qty
Loading...
NBP3-41366

Key Product Details

Species Reactivity

Human, Mouse, Rat, Porcine

Applications

Immunohistochemistry, Immunohistochemistry-Paraffin, Western Blot

Label

Unconjugated

Antibody Source

Polyclonal Rabbit

Format

BSA Free

Concentration

0.5 mg/ml

Product Specifications

Immunogen

Immunized with recombinant Human FLRT3 (Uniprot#: Q9NZU0; Lys29-Asp152 (Uniprot#: Q9NZU0)

Clonality

Polyclonal

Host

Rabbit

Description

Novus Biologicals Rabbit FLRT3 Antibody - BSA Free (NBP3-41366) is a polyclonal antibody validated for use in IHC and WB. All Novus Biologicals antibodies are covered by our 100% guarantee.

Scientific Data Images for FLRT3 Antibody - BSA Free

FLRT3 Antibody

Western Blot: FLRT3 Antibody [NBP3-41366] -

Western Blot: FLRT3 Antibody [NBP3-41366] - Sample: Recombinant protein.
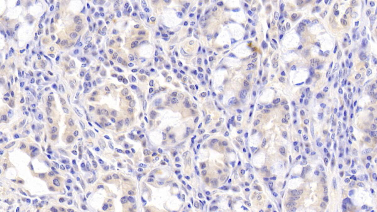
FLRT3 Antibody

Immunohistochemistry-Paraffin: FLRT3 Antibody [NBP3-41366] -

Immunohistochemistry-Paraffin: FLRT3 Antibody [NBP3-41366] - DAB staining on IHC-P; Samples: Human Small intestine Tissue; Primary Ab: 20ug/ml NBP3-41366; Second Ab: 2ug/mL HRP-Linked Caprine Anti-Rabbit IgG Polyclonal Antibody

Applications for FLRT3 Antibody - BSA Free

Application
Recommended Usage

Immunohistochemistry

5-20ug/mL

Immunohistochemistry-Paraffin

5-20ug/mL

Western Blot

0.2-2ug/mL

Formulation, Preparation, and Storage

Purification

Antigen and protein A Affinity-purified

Formulation

PBS, pH7.4, 50% glycerol

Format

BSA Free

Preservative

0.02% Sodium Azide

Concentration

0.5 mg/ml

Shipping

The product is shipped with polar packs. Upon receipt, store it immediately at the temperature recommended below.

Stability & Storage

Store at 4C short term. Aliquot and store at -20C long term. Avoid freeze-thaw cycles.

Background: FLRT3

FLRT1, 2, and 3 are type I transmembrane glycoproteins that are characterized by the presence of ten leucine-rich repeats and a juxtamembrane fibronectin type-III domain. FLRT proteins differ in their tissue distribution in the embryo and adult. They modulate FGF R signaling and homotypic cell adhesion. FLRT3 also promotes neurite outgrowth.

Long Name

Fibronectin Leucine Rich Transmembrane Protein 3

Alternate Names

fibronectin leucine rich transmembrane protein 3, Fibronectin-like domain-containing leucine-rich transmembrane protein 3, HH21, KIAA1469, leucine-rich repeat transmembrane protein FLRT3

Gene Symbol

FLRT3

Additional FLRT3 Products

Product Documents for FLRT3 Antibody - BSA Free

Certificate of Analysis

To download a Certificate of Analysis, please enter a lot number in the search box below.

Product Specific Notices for FLRT3 Antibody - BSA Free

This product is for research use only and is not approved for use in humans or in clinical diagnosis. Primary Antibodies are guaranteed for 1 year from date of receipt.

Loading...
Loading...
Loading...
Loading...