Skip to main content

Flotillin-1 Antibody - BSA Free

Novus Biologicals, part of Bio-Techne | Catalog # NBP3-37979

Novus Biologicals, part of Bio-Techne
Catalog #
Availability
Size / Price
Qty
Loading...
NBP3-37979-100ul
NBP3-37979-20ul

Key Product Details

Species Reactivity

Human, Mouse, Rat

Applications

ELISA, Immunohistochemistry, Immunohistochemistry-Paraffin, Western Blot

Label

Unconjugated

Antibody Source

Polyclonal Rabbit IgG

Format

BSA Free

Concentration

Please see the vial label for concentration. If unlisted please contact technical services.

Product Specifications

Immunogen

Recombinant fusion protein containing a sequence corresponding to amino acids 128-427 of human Flotillin-1 (NP_005794.1).

Sequence:
HDDQDYLHSLGKARTAQVQKDARIGEAEAKRDAGIREAKAKQEKVSAQYLSEIEMAKAQRDYELKKAAYDIEVNTRRAQADLAYQLQVAKTKQQIEEQRVQVQVVERAQQVAVQEQEIARREKELEARVRKPAEAERYKLERLAEAEKSQLIMQAEAEAASVRMRGEAEAFAIGARARAEAEQMAKKAEAFQLYQEAAQLDMLLEKLPQVAEEISGPLTSANKITLVSSGSGTMGAAKVTGEVLDILTRLPESVERLTGVSISQVNHKPLRTA

Clonality

Polyclonal

Host

Rabbit

Isotype

IgG

Theoretical MW

47 kDa.
Disclaimer note: The observed molecular weight of the protein may vary from the listed predicted molecular weight due to post translational modifications, post translation cleavages, relative charges, and other experimental factors.

Description

Novus Biologicals Rabbit Flotillin-1 Antibody - BSA Free (NBP3-37979) is a polyclonal antibody validated for use in IHC, WB and ELISA. All Novus Biologicals antibodies are covered by our 100% guarantee.

Scientific Data Images for Flotillin-1 Antibody - BSA Free

Flotillin-1 Antibody

Western Blot: Flotillin-1 Antibody [NBP3-37979] -

Western Blot: Flotillin-1 Antibody [NBP3-37979] - Western blot analysis of various lysates using Flotillin-1 Rabbit pAb at 1:1000 dilution.
Secondary antibody: HRP-conjugated Goat anti-Rabbit IgG (H+L) at 1:10000 dilution.
Lysates/proteins: 25ug per lane.
Blocking buffer: 3% nonfat dry milk in TBST.
Detection: ECL Basic Kit.
Exposure time: 30s.
Flotillin-1 Antibody

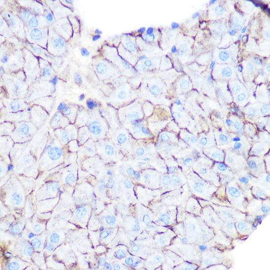
Immunohistochemistry: Flotillin-1 Antibody [NBP3-37979] -

Immunohistochemistry: Flotillin-1 Antibody [NBP3-37979] - Immunohistochemistry analysis of paraffin-embedded Mouse pancreas using Flotillin-1 Rabbit pAb at dilution of 1:100 (40x lens). Microwave antigen retrieval performed with 0.01M Tris/EDTA Buffer (pH 9.0) prior to IHC staining.
Flotillin-1 Antibody

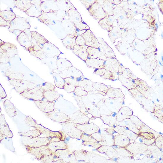
Immunohistochemistry: Flotillin-1 Antibody [NBP3-37979] -

Immunohistochemistry: Flotillin-1 Antibody [NBP3-37979] - Immunohistochemistry analysis of paraffin-embedded Rat heart using Flotillin-1 Rabbit pAb at dilution of 1:100 (40x lens). Microwave antigen retrieval performed with 0.01M Tris/EDTA Buffer (pH 9.0) prior to IHC staining.

Applications for Flotillin-1 Antibody - BSA Free

Application
Recommended Usage

Immunohistochemistry-Paraffin

1:50 - 1:200

Western Blot

1:500 - 1:2000

Formulation, Preparation, and Storage

Purification

Affinity purified

Formulation

PBS (pH 7.3), 50% glycerol

Format

BSA Free

Preservative

0.09% Sodium Azide

Concentration

Please see the vial label for concentration. If unlisted please contact technical services.

Shipping

The product is shipped with polar packs. Upon receipt, store it immediately at the temperature recommended below.

Stability & Storage

Store at -20C. Avoid freeze-thaw cycles.

Background: Flotillin-1

Caveolae are small domains on the inner cell membrane involved in vesicular trafficking and signal transduction. FLOT1 encodes a caveolae-associated, integral membrane protein. The function of flotillin 1 has not been determined.

Alternate Names

flotillin 1, flotillin-1, integral membrane component of caveolae

Gene Symbol

FLOT1

Additional Flotillin-1 Products

Product Documents for Flotillin-1 Antibody - BSA Free

Certificate of Analysis

To download a Certificate of Analysis, please enter a lot number in the search box below.

Product Specific Notices for Flotillin-1 Antibody - BSA Free

This product is for research use only and is not approved for use in humans or in clinical diagnosis. Primary Antibodies are guaranteed for 1 year from date of receipt.

Loading...
Loading...
Loading...
Loading...