Skip to main content

FLI1 Antibody (S01-0C2)

Novus Biologicals, part of Bio-Techne | Catalog # NBP3-19635

Recombinant Monoclonal Antibody
Novus Biologicals, part of Bio-Techne
Catalog #
Availability
Size / Price
Qty
Loading...
NBP3-19635-100ul
NBP3-19635-50ul

Key Product Details

Species Reactivity

Human, Mouse

Applications

Immunohistochemistry, Immunohistochemistry-Paraffin, Western Blot

Label

Unconjugated

Antibody Source

Recombinant Monoclonal Rabbit IgG Clone # S01-0C2 expressed in HEK293

Concentration

0.3 mg/ml

Product Specifications

Immunogen

A synthetic peptide of human FLI1 (Uniprot # Q01543)

Clonality

Monoclonal

Host

Rabbit

Isotype

IgG

Theoretical MW

51 kDa.
Disclaimer note: The observed molecular weight of the protein may vary from the listed predicted molecular weight due to post translational modifications, post translation cleavages, relative charges, and other experimental factors.

Description

Novus Biologicals Rabbit FLI1 Antibody (S01-0C2) (NBP3-19635) is a recombinant monoclonal antibody validated for use in IHC and WB. All Novus Biologicals antibodies are covered by our 100% guarantee.

Scientific Data Images for FLI1 Antibody (S01-0C2)

Western Blot: FLI1 Antibody (S01-0C2) [NBP3-19635]

Western Blot: FLI1 Antibody (S01-0C2) [NBP3-19635]

Western Blot: FLI1 Antibody (S01-0C2) [NBP3-19635] - Western blot detection of FLI1 in Jurkat, C6 cell lysates using NBP3-19635 (1:500 diluted). Predicted band size: 51kDa. Observed band size: 51kDa.
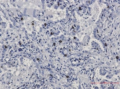
Immunohistochemistry-Paraffin: FLI1 Antibody (S01-0C2) [NBP3-19635]

Immunohistochemistry-Paraffin: FLI1 Antibody (S01-0C2) [NBP3-19635]

Immunohistochemistry-Paraffin: FLI1 Antibody (S01-0C2) [NBP3-19635] - Immunohistochemistry of FLI1 in paraffin-embedded Human lung cancer tissue using NBP3-19635 at dilution 1/50

Applications for FLI1 Antibody (S01-0C2)

Application
Recommended Usage

Immunohistochemistry

1/50

Western Blot

1/1000

Formulation, Preparation, and Storage

Purification

Affinity purified

Formulation

50mM Tris-Glycine(pH 7.4), 0.15M NaCl, 40% Glycerol, 0.05% BSA

Preservative

0.01% Sodium Azide

Concentration

0.3 mg/ml

Shipping

The product is shipped with polar packs. Upon receipt, store it immediately at the temperature recommended below.

Stability & Storage

Store at 4C short term. Aliquot and store at -20C long term. Avoid freeze-thaw cycles.

Background: FLI1

Ets-1 is the prototype member of a family of genes identified on the basis of homology to the v-Ets oncogene isolated from the E26 erythroblastosis virus. This family of genes currently includes Ets-1, Ets-2 Erg-1, Erg-2, Elk, E74, Fli-1, PU.1 and PEA3. Members of the Ets gene family exhibit varied pattern of tissue expression, and share a highly conserved carboxy terminal domain containing a sequence related to the SV40 large T antigen nuclear localization signal sequence.

Long Name

Friend Leukemia Integration 1

Alternate Names

ERGB, SIC-1

Gene Symbol

FLI1

Additional FLI1 Products

Product Documents for FLI1 Antibody (S01-0C2)

Certificate of Analysis

To download a Certificate of Analysis, please enter a lot number in the search box below.

Product Specific Notices for FLI1 Antibody (S01-0C2)

This product is for research use only and is not approved for use in humans or in clinical diagnosis. Primary Antibodies are guaranteed for 1 year from date of receipt.

Loading...
Loading...
Loading...
Loading...