Skip to main content

FKBP6 Antibody - BSA Free

Novus Biologicals, part of Bio-Techne | Catalog # NBP2-38905

Novus Biologicals, part of Bio-Techne
Catalog #
Availability
Size / Price
Qty
Loading...
NBP2-38905

Key Product Details

Validated by

Orthogonal Validation

Species Reactivity

Validated:

Human

Predicted:

Mouse (93%), Rat (93%). Backed by our 100% Guarantee.

Applications

Immunohistochemistry, Immunohistochemistry-Paraffin, Western Blot

Label

Unconjugated

Antibody Source

Polyclonal Rabbit IgG

Format

BSA Free

Concentration

Concentrations vary lot to lot. See vial label for concentration. If unlisted please contact technical services.

Product Specifications

Immunogen

This antibody was developed against a recombinant protein corresponding to amino acids: KPNYAYGTLGCPPLIPPNTTVLFEIELLDFLDCAESDKFCALSAEQQDQFPLQKVLKVAATEREFGNYLFRQNRFYDAKVRYKRA

Clonality

Polyclonal

Host

Rabbit

Isotype

IgG

Description

Novus Biologicals Rabbit FKBP6 Antibody - BSA Free (NBP2-38905) is a polyclonal antibody validated for use in IHC and WB. All Novus Biologicals antibodies are covered by our 100% guarantee.

Scientific Data Images for FKBP6 Antibody - BSA Free

Western Blot: FKBP6 Antibody [NBP2-38905]

Western Blot: FKBP6 Antibody [NBP2-38905]

Western Blot: FKBP6 Antibody [NBP2-38905] - Analysis in control (vector only transfected HEK293T lysate) and FKBP6 over-expression lysate (Co-expressed with a C-terminal myc-DDK tag (3.1 kDa) in mammalian HEK293T cells).
Immunohistochemistry-Paraffin: FKBP6 Antibody [NBP2-38905]

Immunohistochemistry-Paraffin: FKBP6 Antibody [NBP2-38905]

Immunohistochemistry-Paraffin: FKBP6 Antibody [NBP2-38905] - Staining in human testis and endometrium tissues using anti-FKBP6 antibody. Corresponding FKBP6 RNA-seq data are presented for the same tissues.
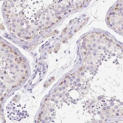
Immunohistochemistry-Paraffin: FKBP6 Antibody [NBP2-38905]

Immunohistochemistry-Paraffin: FKBP6 Antibody [NBP2-38905]

Immunohistochemistry-Paraffin: FKBP6 Antibody [NBP2-38905] - Staining of human endometrium shows low expression as expected.

Applications for FKBP6 Antibody - BSA Free

Application
Recommended Usage

Immunohistochemistry

1:200 - 1:500

Immunohistochemistry-Paraffin

1:200 - 1:500

Western Blot

0.04-0.4 ug/ml
Application Notes
For IHC-Paraffin, HIER pH 6 retrieval is recommended.

Formulation, Preparation, and Storage

Purification

Immunogen affinity purified

Formulation

PBS (pH 7.2) and 40% Glycerol

Format

BSA Free

Preservative

0.02% Sodium Azide

Concentration

Concentrations vary lot to lot. See vial label for concentration. If unlisted please contact technical services.

Shipping

The product is shipped with polar packs. Upon receipt, store it immediately at the temperature recommended below.

Stability & Storage

Store at 4C short term. Aliquot and store at -20C long term. Avoid freeze-thaw cycles.

Background: FKBP6

Alternate Names

36 kDa FKBP, EC 5.2.1.8, FK506 binding protein 6, 36kDa, FK506-binding protein 6, FK506-binding protein 6 (36kD), FKBP-36, FKBP36MGC87179, FKBP-6, Immunophilin FKBP36, peptidyl-prolyl cis-trans isomerase FKBP6,36 kDa FK506-binding protein, PPIase, PPIase FKBP6, rotamase

Gene Symbol

FKBP6

UniProt

Additional FKBP6 Products

Product Documents for FKBP6 Antibody - BSA Free

Certificate of Analysis

To download a Certificate of Analysis, please enter a lot number in the search box below.

Product Specific Notices for FKBP6 Antibody - BSA Free

This product is for research use only and is not approved for use in humans or in clinical diagnosis. Primary Antibodies are guaranteed for 1 year from date of receipt.

Loading...
Loading...
Loading...
Loading...