Skip to main content

FKBP25 Antibody - BSA Free

Novus Biologicals, part of Bio-Techne | Catalog # NBP1-87929

Novus Biologicals, part of Bio-Techne
Catalog #
Availability
Size / Price
Qty
Loading...
NBP1-87929
NBP1-87929-25ul

Key Product Details

Species Reactivity

Human, Mouse, Rat

Applications

Immunocytochemistry/ Immunofluorescence, Immunohistochemistry, Immunohistochemistry-Paraffin, Western Blot

Label

Unconjugated

Antibody Source

Polyclonal Rabbit IgG

Format

BSA Free

Concentration

Concentrations vary lot to lot. See vial label for concentration. If unlisted please contact technical services.

Product Specifications

Immunogen

This antibody was developed against Recombinant Protein corresponding to amino acids: LPKKDIIKFLQEHGSDSFLAEHKLLGNIKNVAKTANKDHLVTAYNHLFETKRFKGTESISKVSEQVKNVKLNEDKPKETKSEETLDEGPPKYTKSVLKKGDKTNFPKKGDVVHCWYTGTLQDGT

Clonality

Polyclonal

Host

Rabbit

Isotype

IgG

Description

Novus Biologicals Rabbit FKBP25 Antibody - BSA Free (NBP1-87929) is a polyclonal antibody validated for use in IHC, WB and ICC/IF. All Novus Biologicals antibodies are covered by our 100% guarantee.

Scientific Data Images for FKBP25 Antibody - BSA Free

FKBP25 Antibody - BSA Free Immunocytochemistry/ Immunofluorescence: FKBP25 Antibody - BSA Free [NBP1-87929]

Immunocytochemistry/ Immunofluorescence: FKBP25 Antibody - BSA Free [NBP1-87929]

Staining of human cell line U-2 OS shows localization to cytosol.
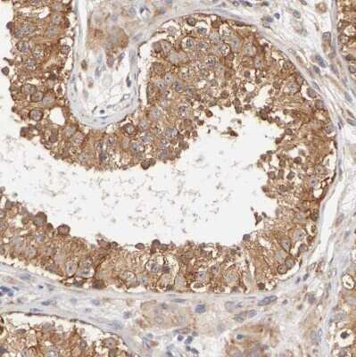
Immunohistochemistry-Paraffin: FKBP25 Antibody [NBP1-87929]

Immunohistochemistry-Paraffin: FKBP25 Antibody [NBP1-87929]

Immunohistochemistry-Paraffin: FKBP25 Antibody [NBP1-87929] - Staining of human testis shows moderate to strong cytoplasmic positivity in cells in seminiferous ducts.
Immunohistochemistry-Paraffin: FKBP25 Antibody [NBP1-87929]

Immunohistochemistry-Paraffin: FKBP25 Antibody [NBP1-87929]

Immunohistochemistry-Paraffin: FKBP25 Antibody [NBP1-87929] - Staining of human cerebral cortex shows moderate to strong cytoplasmic positivity in neurons.

Applications for FKBP25 Antibody - BSA Free

Application
Recommended Usage

Immunocytochemistry/ Immunofluorescence

0.25-2 ug/ml

Immunohistochemistry

1:200 - 1:500

Immunohistochemistry-Paraffin

1:200 - 1:500

Western Blot

0.04-0.4 ug/ml
Application Notes
For IHC-Paraffin, HIER pH 6 retrieval is recommended. ICC/IF Fixation Permeabilization: Use PFA/Triton X-100.

Formulation, Preparation, and Storage

Purification

Immunogen affinity purified

Formulation

PBS (pH 7.2) and 40% Glycerol

Format

BSA Free

Preservative

0.02% Sodium Azide

Concentration

Concentrations vary lot to lot. See vial label for concentration. If unlisted please contact technical services.

Shipping

The product is shipped with polar packs. Upon receipt, store it immediately at the temperature recommended below.

Stability & Storage

Store at 4C short term. Aliquot and store at -20C long term. Avoid freeze-thaw cycles.

Background: FKBP25

FK506 binding protein, 25 kDa molecular weight (FKBP25), also called FKBP3, is a peptidyl-prolyl isomerase that catalyzes the transition between cis- and trans-proline residues critical for proper folding of proteins. The macrolide immunosuppressant Rapamycin is a potent inhibitor of FKBP25. FKBP25 is localized in the nucleus, where it alters the activity of histone deacetylases and transcription factors. FKBP25 is found in many tissues, including the brain, thymus, and spleen.

Long Name

25 kDa FK506 Binding Protein

Alternate Names

FKBP3

Gene Symbol

FKBP3

Additional FKBP25 Products

Product Documents for FKBP25 Antibody - BSA Free

Certificate of Analysis

To download a Certificate of Analysis, please enter a lot number in the search box below.

Product Specific Notices for FKBP25 Antibody - BSA Free

This product is for research use only and is not approved for use in humans or in clinical diagnosis. Primary Antibodies are guaranteed for 1 year from date of receipt.

Loading...
Loading...
Loading...
Loading...