Skip to main content

Filamin B Antibody - BSA Free

Novus Biologicals, part of Bio-Techne | Catalog # NBP1-90285

Novus Biologicals, part of Bio-Techne
Catalog #
Availability
Size / Price
Qty
Loading...
NBP1-90285
NBP1-90285-25ul

Key Product Details

Validated by

Orthogonal Validation, Independent Antibodies

Species Reactivity

Validated:

Human, Mouse

Cited:

Mouse

Applications

Validated:

Immunohistochemistry, Immunohistochemistry-Paraffin

Cited:

Immunohistochemistry-Paraffin

Label

Unconjugated

Antibody Source

Polyclonal Rabbit IgG

Format

BSA Free

Concentration

Concentrations vary lot to lot. See vial label for concentration. If unlisted please contact technical services.

Product Specifications

Immunogen

This antibody was developed against Recombinant Protein corresponding to amino acids: HGKVGEAGLLSVDCSEAGPGALGLEAVSDSGTKAEVSIQNNKDGTYAVTYVPLTAGMYTLTMKYGGELVPHFPARVKVEPAVDTSRIKVFGPGIEGKDVFREATTDFTV

Reactivity Notes

Mouse reactivity reported in scientific literature (PMID: 31561444). Rat (89%).

Clonality

Polyclonal

Host

Rabbit

Isotype

IgG

Description

Novus Biologicals Rabbit Filamin B Antibody - BSA Free (NBP1-90285) is a polyclonal antibody validated for use in IHC. Anti-Filamin B Antibody: Cited in 2 publications. All Novus Biologicals antibodies are covered by our 100% guarantee.

Scientific Data Images for Filamin B Antibody - BSA Free

Immunohistochemistry-Paraffin: Filamin B Antibody [NBP1-90285]

Immunohistochemistry-Paraffin: Filamin B Antibody [NBP1-90285]

Immunohistochemistry-Paraffin: Filamin B Antibody [NBP1-90285] - Staining of human colon, placenta, prostate and skeletal muscle using Anti-Filamin B antibody NBP1-90285 (A) shows similar protein distribution across tissues to independent antibody NBP1-90286 (B).
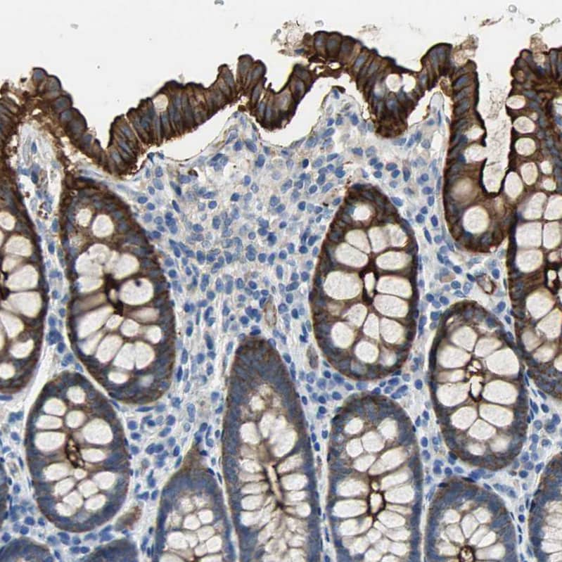
Immunohistochemistry-Paraffin: Filamin B Antibody [NBP1-90285]

Immunohistochemistry-Paraffin: Filamin B Antibody [NBP1-90285]

Immunohistochemistry-Paraffin: Filamin B Antibody [NBP1-90285] - Analysis in human prostate and skeletal muscle tissues using NBP1-90285 antibody. Corresponding Filamin B RNA-seq data are presented for the same tissues.
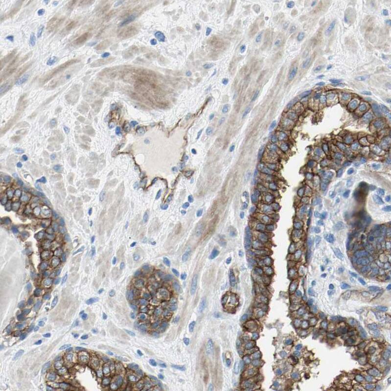
Filamin B Antibody - BSA Free Immunohistochemistry: Filamin B Antibody - BSA Free [NBP1-90285]

Immunohistochemistry: Filamin B Antibody - BSA Free [NBP1-90285]

Staining of human prostate shows strong membranous positivity in glandular cells.

Applications for Filamin B Antibody - BSA Free

Application
Recommended Usage

Immunohistochemistry

1:50 - 1:200

Immunohistochemistry-Paraffin

1:50 - 1:200
Application Notes
For IHC-Paraffin, HIER pH 6 retrieval is recommended.

Formulation, Preparation, and Storage

Purification

Affinity purified

Formulation

PBS (pH 7.2) and 40% Glycerol

Format

BSA Free

Preservative

0.02% Sodium Azide

Concentration

Concentrations vary lot to lot. See vial label for concentration. If unlisted please contact technical services.

Shipping

The product is shipped with polar packs. Upon receipt, store it immediately at the temperature recommended below.

Stability & Storage

Store at 4C short term. Aliquot and store at -20C long term. Avoid freeze-thaw cycles.

Background: Filamin B

Alternate Names

ABP-278filamin B, beta (actin binding protein 278), ABP-280 homolog, actin binding protein 278, Actin-binding-like protein, AOI, beta-filamin, DKFZp686O033, Fh1, filamin B, beta, Filamin homolog 1, Filamin-3, filamin-B, FLN1L, FLN3, FLN-B, Larsen syndrome 1 (autosomal dominant), LRS1, SCT, TABPABP-280, TAPDKFZp686A1668, Thyroid autoantigen, Truncated ABP, Truncated actin-binding protein

Gene Symbol

FLNB

Additional Filamin B Products

Product Documents for Filamin B Antibody - BSA Free

Certificate of Analysis

To download a Certificate of Analysis, please enter a lot number in the search box below.

Product Specific Notices for Filamin B Antibody - BSA Free

This product is for research use only and is not approved for use in humans or in clinical diagnosis. Primary Antibodies are guaranteed for 1 year from date of receipt.

Loading...
Loading...
Loading...
Loading...