Filamin B Antibody (GT1282) - Azide and BSA Free
Novus Biologicals, part of Bio-Techne | Catalog # NBP3-13527
Key Product Details
Validated by
Knockout/Knockdown
Species Reactivity
Validated:
Human, Rat
Predicted:
Bovine (99%), Chicken (97%), Mouse (98%). Backed by our 100% Guarantee.
Applications
Immunohistochemistry, Immunohistochemistry-Paraffin, Western Blot
Label
Unconjugated
Antibody Source
Monoclonal Mouse IgG1 Clone # GT1282
Format
Azide and BSA Free
Concentration
Concentrations vary lot to lot. See vial label for concentration. If unlisted please contact technical services.
Product Specifications
Immunogen
Recombinant protein encompassing a sequence within the N-terminus region of human Filamin B. The exact sequence is proprietary.
Clonality
Monoclonal
Host
Mouse
Isotype
IgG1
Description
Centrifuge briefly prior to opening.
Scientific Data Images for Filamin B Antibody (GT1282) - Azide and BSA Free
Western Blot: Filamin B Antibody (GT1282) [NBP3-13527]
Western Blot: Filamin B Antibody (GT1282) [NBP3-13527] - Non-transfected (-) and transfected (+) HeLa whole cell extracts (30 ug) were separated by 5% SDS-PAGE, and the membrane was blotted with Filamin B antibody [GT1282] (NBP3-13527) diluted at 1:1000.Immunohistochemistry-Paraffin: Filamin B Antibody (GT1282) [NBP3-13527]
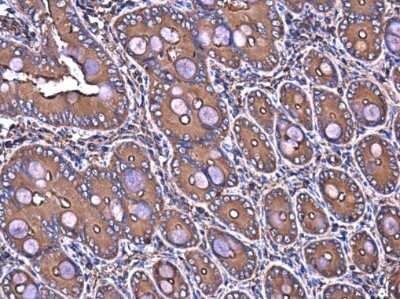
Immunohistochemistry-Paraffin: Filamin B Antibody (GT1282) [NBP3-13527] - Filamin B antibody [GT1282] detects Filamin B protein at cytoplasm in rat duodenum by immunohistochemical analysis. Sample: Paraffin-embedded rat duodenum. Filamin B antibody [GT1282] (NBP3-13527) diluted at 1:250. Antigen Retrieval: Citrate buffer, pH 6.0, 15 minWestern Blot: Filamin B Antibody (GT1282) [NBP3-13527]
Western Blot: Filamin B Antibody (GT1282) [NBP3-13527] - Various whole cell extracts (30 ug) were separated by 5% SDS-PAGE, and the membrane was blotted with Filamin B antibody [GT1282] (NBP3-13527) diluted at 1:1000.Applications for Filamin B Antibody (GT1282) - Azide and BSA Free
Application
Recommended Usage
Immunohistochemistry
Optimal dilutions of this antibody should be experimentally determined.
Immunohistochemistry-Paraffin
Optimal dilutions of this antibody should be experimentally determined.
Western Blot
Optimal dilutions of this antibody should be experimentally determined.
Formulation, Preparation, and Storage
Purification
Protein G purified
Formulation
PBS
Format
Azide and BSA Free
Preservative
No Preservative
Concentration
Concentrations vary lot to lot. See vial label for concentration. If unlisted please contact technical services.
Shipping
The product is shipped with polar packs. Upon receipt, store it immediately at the temperature recommended below.
Stability & Storage
Store at 4C short term. Aliquot and store at -20C long term. Avoid freeze-thaw cycles.
Background: Filamin B
Alternate Names
ABP-278filamin B, beta (actin binding protein 278), ABP-280 homolog, actin binding protein 278, Actin-binding-like protein, AOI, beta-filamin, DKFZp686O033, Fh1, filamin B, beta, Filamin homolog 1, Filamin-3, filamin-B, FLN1L, FLN3, FLN-B, Larsen syndrome 1 (autosomal dominant), LRS1, SCT, TABPABP-280, TAPDKFZp686A1668, Thyroid autoantigen, Truncated ABP, Truncated actin-binding protein
Gene Symbol
FLNB
Additional Filamin B Products
Product Documents for Filamin B Antibody (GT1282) - Azide and BSA Free
Product Specific Notices for Filamin B Antibody (GT1282) - Azide and BSA Free
This product is for research use only and is not approved for use in humans or in clinical diagnosis. Primary Antibodies are guaranteed for 1 year from date of receipt.
Loading...
Loading...
Loading...
Loading...