Skip to main content

Filamin B Antibody (1372) - Azide and BSA Free

Novus Biologicals, part of Bio-Techne | Catalog # NBP2-43732

Novus Biologicals, part of Bio-Techne
Catalog #
Availability
Size / Price
Qty
Loading...
NBP2-43732

Key Product Details

Validated by

Knockout/Knockdown

Species Reactivity

Validated:

Human, Mouse, Rat

Predicted:

Bovine (99%), Chicken (97%). Backed by our 100% Guarantee.

Applications

Immunohistochemistry, Immunohistochemistry-Paraffin, Western Blot, Immunoprecipitation

Label

Unconjugated

Antibody Source

Monoclonal Mouse IgG2A Clone # 1372

Format

Azide and BSA Free

Concentration

Concentrations vary lot to lot. See vial label for concentration. If unlisted please contact technical services.

Product Specifications

Immunogen

Recombinant protein encompassing a sequence within the N-terminus region of human Filamin B. The exact sequence is proprietary.

Clonality

Monoclonal

Host

Mouse

Isotype

IgG2A

Theoretical MW

278 kDa.
Disclaimer note: The observed molecular weight of the protein may vary from the listed predicted molecular weight due to post translational modifications, post translation cleavages, relative charges, and other experimental factors.

Description

Novus Biologicals Mouse Filamin B Antibody (1372) - Azide and BSA Free (NBP2-43732) is a monoclonal antibody validated for use in IHC, WB and IP. All Novus Biologicals antibodies are covered by our 100% guarantee.

Scientific Data Images for Filamin B Antibody (1372) - Azide and BSA Free

Western Blot: Filamin B Antibody (1372) [NBP2-43732]

Western Blot: Filamin B Antibody (1372) [NBP2-43732]

Western Blot: Filamin B Antibody (1372) [NBP2-43732] - Non-transfected (-) and transfected (+) HeLa whole cell extracts (30 ug) were separated by 5% SDS-PAGE, and the membrane was blotted with Filamin B antibody [1372].
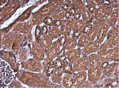
Immunohistochemistry-Paraffin: Filamin B Antibody (1372) [NBP2-43732]

Immunohistochemistry-Paraffin: Filamin B Antibody (1372) [NBP2-43732]

Immunohistochemistry-Paraffin: Filamin B Antibody (1372) [NBP2-43732] - Paraffin-embedded mouse kidney. Filamin B antibody [1372] diluted at 1:250.
Filamin B Antibody (1372) - Azide and BSA Free

Immunohistochemistry-Paraffin: Filamin B Antibody (1372) [NBP2-43732] -

Filamin B antibody [GT1372] detects Filamin B protein at cytoplasm in rat brain by immunohistochemical analysis.
Sample: Paraffin-embedded rat brain.
Filamin B antibody [GT1372] (NBP2-43732) diluted at 1:250.

Antigen Retrieval: Citrate buffer, pH 6.0, 15 min

Applications for Filamin B Antibody (1372) - Azide and BSA Free

Application
Recommended Usage

Immunohistochemistry

1:100-1:1000

Immunohistochemistry-Paraffin

1:100-1:1000

Immunoprecipitation

1:100-1:500

Western Blot

1:500-1:3000

Formulation, Preparation, and Storage

Purification

Protein G purified

Formulation

PBS

Format

Azide and BSA Free

Preservative

No Preservative

Concentration

Concentrations vary lot to lot. See vial label for concentration. If unlisted please contact technical services.

Shipping

The product is shipped with polar packs. Upon receipt, store it immediately at the temperature recommended below.

Stability & Storage

Aliquot and store at -20C or -80C. Avoid freeze-thaw cycles.

Background: Filamin B

Alternate Names

ABP-278filamin B, beta (actin binding protein 278), ABP-280 homolog, actin binding protein 278, Actin-binding-like protein, AOI, beta-filamin, DKFZp686O033, Fh1, filamin B, beta, Filamin homolog 1, Filamin-3, filamin-B, FLN1L, FLN3, FLN-B, Larsen syndrome 1 (autosomal dominant), LRS1, SCT, TABPABP-280, TAPDKFZp686A1668, Thyroid autoantigen, Truncated ABP, Truncated actin-binding protein

Gene Symbol

FLNB

Additional Filamin B Products

Product Documents for Filamin B Antibody (1372) - Azide and BSA Free

Certificate of Analysis

To download a Certificate of Analysis, please enter a lot number in the search box below.

Product Specific Notices for Filamin B Antibody (1372) - Azide and BSA Free

This product is for research use only and is not approved for use in humans or in clinical diagnosis. Primary Antibodies are guaranteed for 1 year from date of receipt.

Loading...
Loading...
Loading...
Loading...