Skip to main content

Filaggrin Antibody - BSA Free

Novus Biologicals, part of Bio-Techne | Catalog # NBP1-87528

Novus Biologicals, part of Bio-Techne
Catalog #
Availability
Size / Price
Qty
Loading...
NBP1-87528
NBP1-87528-25ul

Key Product Details

Validated by

Orthogonal Validation, Independent Antibodies

Species Reactivity

Validated:

Human

Cited:

Human, Mouse

Applications

Validated:

Immunohistochemistry, Immunohistochemistry-Paraffin, Immunocytochemistry/ Immunofluorescence

Cited:

Immunohistochemistry, Immunohistochemistry-Paraffin, Immunocytochemistry/ Immunofluorescence

Label

Unconjugated

Antibody Source

Polyclonal Rabbit IgG

Format

BSA Free

Concentration

Concentrations vary lot to lot. See vial label for concentration. If unlisted please contact technical services.

Product Specifications

Immunogen

This antibody was developed against Recombinant Protein corresponding to amino acids: RKRLSERLEEKEDNEEGVYDYENTGRMTQKWIQSGHIATYYTIQDEAYDTTDSLLEENKIYERSRSSDGKSSSQVNRSRHENTSQVPLQESR

Clonality

Polyclonal

Host

Rabbit

Isotype

IgG

Description

Novus Biologicals Rabbit Filaggrin Antibody - BSA Free (NBP1-87528) is a polyclonal antibody validated for use in IHC and ICC/IF. Anti-Filaggrin Antibody: Cited in 4 publications. All Novus Biologicals antibodies are covered by our 100% guarantee.

Scientific Data Images for Filaggrin Antibody - BSA Free

Immunohistochemistry-Paraffin: Filaggrin Antibody [NBP1-87528]

Immunohistochemistry-Paraffin: Filaggrin Antibody [NBP1-87528]

Immunohistochemistry-Paraffin: Filaggrin Antibody [NBP1-87528] - Analysis in human skin and liver tissues. Corresponding Filaggrin RNA-seq data are presented for the same tissues.
Immunohistochemistry-Paraffin: Filaggrin Antibody [NBP1-87528]

Immunohistochemistry-Paraffin: Filaggrin Antibody [NBP1-87528]

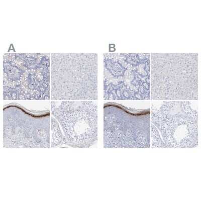
Immunohistochemistry-Paraffin: Filaggrin Antibody [NBP1-87528] - Staining of human gastrointestinal, liver, skin and testis using Anti-Filaggrin antibody NBP1-87528 (A) shows similar protein distribution across tissues to independent antibody NBP1-87527 (B).
Immunocytochemistry/ Immunofluorescence: Filaggrin Antibody [NBP1-87528]

Immunocytochemistry/ Immunofluorescence: Filaggrin Antibody [NBP1-87528]

Immunocytochemistry/Immunofluorescence: Filaggrin Antibody [NBP1-87528] - Staining of human cell line HaCaT shows localization to vesicles.

Applications for Filaggrin Antibody - BSA Free

Application
Recommended Usage

Immunocytochemistry/ Immunofluorescence

0.25-2 ug/ml

Immunohistochemistry

1:1000 - 1:2500

Immunohistochemistry-Paraffin

1:1000 - 1:2500
Application Notes
For IHC-Paraffin, HIER pH 6 retrieval is recommended. ICC/IF Fixation Permeabilization: Use PFA/Triton X-100.

Reviewed Applications

Read 1 review rated 4 using NBP1-87528 in the following applications:

Formulation, Preparation, and Storage

Purification

Immunogen affinity purified

Formulation

PBS (pH 7.2) and 40% Glycerol

Format

BSA Free

Preservative

0.02% Sodium Azide

Concentration

Concentrations vary lot to lot. See vial label for concentration. If unlisted please contact technical services.

Shipping

The product is shipped with polar packs. Upon receipt, store it immediately at the temperature recommended below.

Stability & Storage

Store at 4C short term. Aliquot and store at -20C long term. Avoid freeze-thaw cycles.

Background: Filaggrin

Alternate Names

ATOD2, epidermal filaggrin, filaggrin, Profilaggrin

Gene Symbol

FLG

Additional Filaggrin Products

Product Documents for Filaggrin Antibody - BSA Free

Certificate of Analysis

To download a Certificate of Analysis, please enter a lot number in the search box below.

Product Specific Notices for Filaggrin Antibody - BSA Free

This product is for research use only and is not approved for use in humans or in clinical diagnosis. Primary Antibodies are guaranteed for 1 year from date of receipt.

Loading...
Loading...
Loading...
Loading...