Skip to main content

FIGN Antibody - BSA Free

Novus Biologicals, part of Bio-Techne | Catalog # NBP3-41318

Novus Biologicals, part of Bio-Techne
Catalog #
Availability
Size / Price
Qty
Loading...
NBP3-41318

Key Product Details

Species Reactivity

Human, Porcine

Applications

Immunohistochemistry, Immunohistochemistry-Paraffin, Western Blot

Label

Unconjugated

Antibody Source

Polyclonal Rabbit

Format

BSA Free

Concentration

0.5 mg/ml

Product Specifications

Immunogen

Immunized with recombinant Human FIGN (Uniprot#: Q5HY92; Met1-Leu308 (Uniprot#: Q5HY92)

Clonality

Polyclonal

Host

Rabbit

Description

Novus Biologicals Rabbit FIGN Antibody - BSA Free (NBP3-41318) is a polyclonal antibody validated for use in IHC and WB. All Novus Biologicals antibodies are covered by our 100% guarantee.

Scientific Data Images for FIGN Antibody - BSA Free

FIGN Antibody

Western Blot: FIGN Antibody [NBP3-41318] -

Western Blot: FIGN Antibody [NBP3-41318] - Sample: Recombinant FIGN, Human.
FIGN Antibody

Western Blot: FIGN Antibody [NBP3-41318] -

Western Blot: FIGN Antibody [NBP3-41318] - Sample: Lane1: Hela cell lysate; Lane2: Porcine Kidney lysate; Lane3: 293T cell lysate Primary Ab: 3ug/ml NBP3-41318; Second Ab: 0.2ug/mL HRP-Linked Caprine Anti-Rabbit IgG Polyclonal Antibody
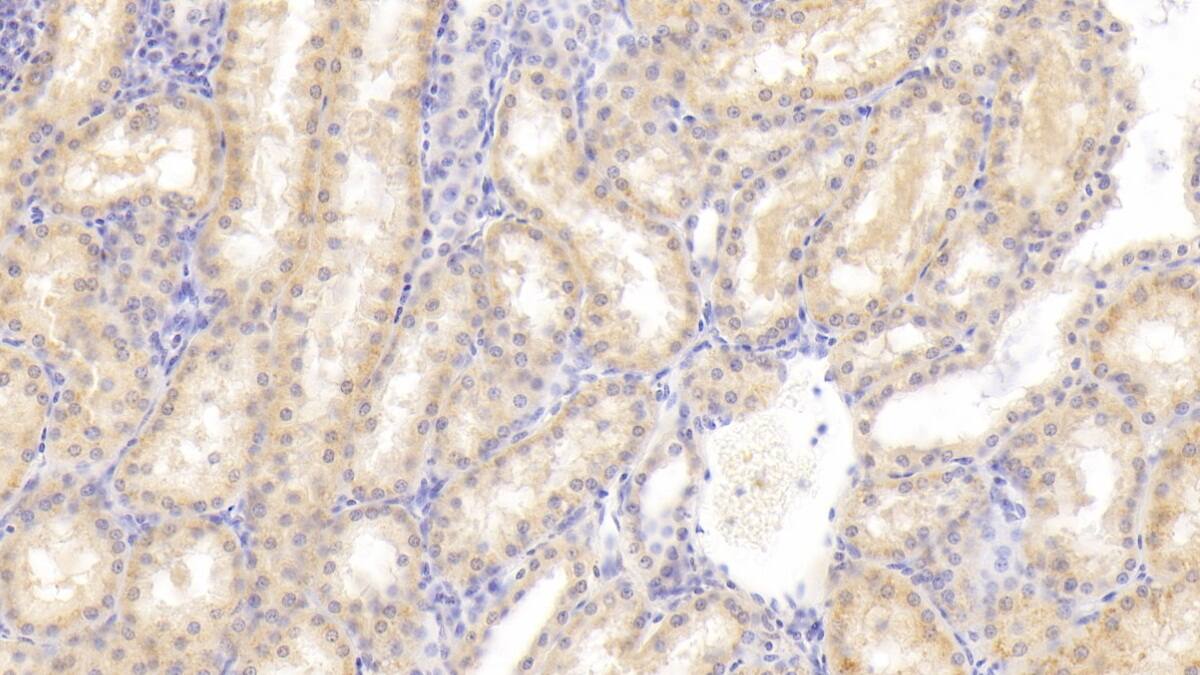
FIGN Antibody

Immunohistochemistry-Paraffin: FIGN Antibody [NBP3-41318] -

Immunohistochemistry-Paraffin: FIGN Antibody [NBP3-41318] - DAB staining on IHC-P; Samples: Human Kidney Tissue; Primary Ab: 20ug/ml NBP3-41318; Second Ab: 2ug/mL HRP-Linked Caprine Anti-Rabbit IgG Polyclonal Antibody

Applications for FIGN Antibody - BSA Free

Application
Recommended Usage

Immunohistochemistry

5-20ug/mL

Immunohistochemistry-Paraffin

5-20ug/mL

Western Blot

0.5-3ug/mL

Formulation, Preparation, and Storage

Purification

Antigen and protein A Affinity-purified

Formulation

0.01M PBS, pH7.4, 50% glycerol

Format

BSA Free

Preservative

0.05% Proclin 300

Concentration

0.5 mg/ml

Shipping

The product is shipped with polar packs. Upon receipt, store it immediately at the temperature recommended below.

Stability & Storage

Store at 4C short term. Aliquot and store at -20C long term. Avoid freeze-thaw cycles.

Background: FIGN

Alternate Names

fidgetin

Gene Symbol

FIGN

Additional FIGN Products

Product Documents for FIGN Antibody - BSA Free

Certificate of Analysis

To download a Certificate of Analysis, please enter a lot number in the search box below.

Product Specific Notices for FIGN Antibody - BSA Free

This product is for research use only and is not approved for use in humans or in clinical diagnosis. Primary Antibodies are guaranteed for 1 year from date of receipt.

Loading...
Loading...
Loading...
Loading...