Skip to main content

Ficolin-1 Antibody (017) - Azide and BSA Free

Novus Biologicals, part of Bio-Techne | Catalog # NBP2-89714

Recombinant Monoclonal Antibody
Novus Biologicals, part of Bio-Techne
Catalog #
Availability
Size / Price
Qty
Loading...
NBP2-89714-100ul
NBP2-89714-50ul
Conjugate
Catalog #

Key Product Details

Species Reactivity

Human

Applications

Immunohistochemistry, Immunohistochemistry-Paraffin

Label

Unconjugated

Antibody Source

Recombinant Monoclonal Rabbit IgG Clone # 017 expressed in HEK293

Format

Azide and BSA Free

Concentration

Please see the vial label for concentration. If unlisted please contact technical services.

Product Specifications

Immunogen

This antibody was obtained from a rabbit immunized with purified, recombinant Human Ficolin-1 (Accession#: NP_001994.2; Met1-Ala326).

Clonality

Monoclonal

Host

Rabbit

Isotype

IgG

Description

This antibody can be stored at 2C-8C for one month without detectable loss of activity. Antibody products are stable for twelve months from date of receipt when stored at -20C to -80C. Avoid repeated freeze-thaw cycles.

Scientific Data Images for Ficolin-1 Antibody (017) - Azide and BSA Free

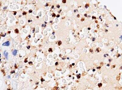
Immunohistochemistry-Paraffin: Ficolin-1 Antibody (017) [NBP2-89714]

Immunohistochemistry-Paraffin: Ficolin-1 Antibody (017) [NBP2-89714]

Immunohistochemistry-Paraffin: Ficolin-1 Antibody (017) [NBP2-89714] - Staining of human FCN1 in human spleen (from 2 donors) with rabbit monoclonal antibody (1:200). Positive staining was localized to peripheral blood leukocytes.
Immunohistochemistry-Paraffin: Ficolin-1 Antibody (017) [NBP2-89714]

Immunohistochemistry-Paraffin: Ficolin-1 Antibody (017) [NBP2-89714]

Immunohistochemistry-Paraffin: Ficolin-1 Antibody (017) [NBP2-89714] - Human FCN1 in human placenta with rabbit monoclonal antibody (1:200). Positive staining was localized to peripheral blood leukocytes.

Applications for Ficolin-1 Antibody (017) - Azide and BSA Free

Application
Recommended Usage

Immunohistochemistry-Paraffin

1:100-1:500

Formulation, Preparation, and Storage

Purification

Protein A purified

Formulation

0.2 um filtered solution in PBS

Format

Azide and BSA Free

Preservative

No Preservative

Concentration

Please see the vial label for concentration. If unlisted please contact technical services.

Shipping

The product is shipped with polar packs. Upon receipt, store it immediately at the temperature recommended below.

Stability & Storage

Store at 4C short term. Aliquot and store at -20C long term. Avoid freeze-thaw cycles.

Background: Ficolin-1

M-Ficolin (Ficolin-1) is a non-serum protein that is expressed in leukocytes and lung. M-Ficolin precipitates with mannose-binding lectin (MBL)-associated serine proteases (MASP)-1 and MASP-2, indicating that M-Ficolin forms complexes with MASP-1 and MASP-2, recognizes certain types of bacteria and subsequently activates the lectin pathway (1).

Long Name

Ficolin [Collagen/Fibrinogen Domain Containing] 1

Alternate Names

FCN1, Fcna, FCNM, Ficolin1

Gene Symbol

FCN1

Additional Ficolin-1 Products

Product Documents for Ficolin-1 Antibody (017) - Azide and BSA Free

Certificate of Analysis

To download a Certificate of Analysis, please enter a lot number in the search box below.

Product Specific Notices for Ficolin-1 Antibody (017) - Azide and BSA Free

This product is for research use only and is not approved for use in humans or in clinical diagnosis. Primary Antibodies are guaranteed for 1 year from date of receipt.

Loading...
Loading...
Loading...
Loading...