Skip to main content

Fibronectin Antibody

Novus Biologicals, part of Bio-Techne | Catalog # NBP1-31369

Novus Biologicals, part of Bio-Techne
Catalog #
Availability
Size / Price
Qty
Loading...
NBP1-31369

Key Product Details

Validated by

Knockout/Knockdown, Orthogonal Validation

Species Reactivity

Validated:

Human, Mouse, Rat

Predicted:

Bovine (92%). Backed by our 100% Guarantee.

Applications

Immunohistochemistry, Immunohistochemistry-Paraffin, Immunohistochemistry-Frozen, Western Blot, ELISA, Immunocytochemistry/ Immunofluorescence, Immunoprecipitation

Label

Unconjugated

Antibody Source

Polyclonal Rabbit IgG

Concentration

Concentrations vary lot to lot. See vial label for concentration. If unlisted please contact technical services.

Product Specifications

Immunogen

Recombinant protein encompassing a sequence within the N-terminus region of human Fibronectin. The exact sequence is proprietary.

Reactivity Notes

Immunogen displays the following percentage of sequence identity for non-tested species: Chicken 88%.

Localization

Secreted, extracellular space, extracellular matrix

Marker

Mesenchymal Cells Marker

Clonality

Polyclonal

Host

Rabbit

Isotype

IgG

Theoretical MW

263 kDa.
Disclaimer note: The observed molecular weight of the protein may vary from the listed predicted molecular weight due to post translational modifications, post translation cleavages, relative charges, and other experimental factors.

Description

Novus Biologicals Rabbit Fibronectin Antibody (NBP1-31369) is a polyclonal antibody validated for use in IHC, WB, ELISA, ICC/IF and IP. All Novus Biologicals antibodies are covered by our 100% guarantee.

Scientific Data Images for Fibronectin Antibody

Immunocytochemistry/ Immunofluorescence: Fibronectin Antibody [NBP1-31369]

Immunocytochemistry/ Immunofluorescence: Fibronectin Antibody [NBP1-31369]

Immunocytochemistry/Immunofluorescence: Fibronectin/Anastellin Antibody [NBP1-31369] - Analysis of HeLa, using NBP1-31369 at 1:200 dilution.
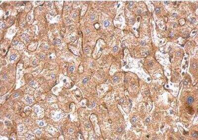
Immunohistochemistry-Paraffin: Fibronectin Antibody [NBP1-31369]

Immunohistochemistry-Paraffin: Fibronectin Antibody [NBP1-31369]

Immunohistochemistry-Paraffin: Fibronectin/Anastellin Antibody [NBP1-31369] - Paraffin-embedded hepatoma. Fibronectin antibody [N1N2], N-term dilution: 1:500.
Western Blot: Fibronectin Antibody [NBP1-31369]

Western Blot: Fibronectin Antibody [NBP1-31369]

Western Blot: Fibronectin/Anastellin Antibody [NBP1-31369] - Mouse tissue extracts (50 ug) was separated by 5% SDS-PAGE, and the membrane was blotted with Fibronectin antibody [N1N2] diluted at 1:1000.

Applications for Fibronectin Antibody

Application
Recommended Usage

ELISA

1:1000-1:10000

Immunocytochemistry/ Immunofluorescence

1:100-1:1000

Immunohistochemistry

1:100-1:1000

Immunohistochemistry-Frozen

Assay dependent

Immunohistochemistry-Paraffin

1:100-1:1000

Immunoprecipitation

1:100-1:500

Western Blot

1:500-1:3000

Formulation, Preparation, and Storage

Purification

Antigen Affinity-purified

Formulation

PBS, 1% BSA, 20% Glycerol

Preservative

0.025% Proclin 300

Concentration

Concentrations vary lot to lot. See vial label for concentration. If unlisted please contact technical services.

Shipping

The product is shipped with polar packs. Upon receipt, store it immediately at the temperature recommended below.

Stability & Storage

Aliquot and store at -20C or -80C. Avoid freeze-thaw cycles.

Background: Fibronectin

Fibronectin is an adhesive glycoprotein with a molecular mass of 440 kDa. It is believed to be important for the formation of a provisional matrix that promotes cell adhesion and migration during wound healing. Its age-dependent increase in plasma and tissues may be accompanied in pathological states, especially in tumor growth, by its proteolytic breakdown by a number of neutral proteases. It has also shown that several of its proteolytic breakdown products exhibit unexpected and mostly harmful biological activities.

Alternate Names

CIG, ED-B, FINC, FN1, FNZ, GFND2, LETS, SMDCF

Gene Symbol

FN1

Additional Fibronectin Products

Product Documents for Fibronectin Antibody

Certificate of Analysis

To download a Certificate of Analysis, please enter a lot number in the search box below.

Product Specific Notices for Fibronectin Antibody

This product is for research use only and is not approved for use in humans or in clinical diagnosis. Primary Antibodies are guaranteed for 1 year from date of receipt.

Loading...
Loading...
Loading...
Loading...
Loading...