Skip to main content

Fibroblast Activation Protein alpha/FAP Antibody (JA56-11)

Novus Biologicals, part of Bio-Techne | Catalog # NBP2-66844

Recombinant Monoclonal Antibody.
Novus Biologicals, part of Bio-Techne
Catalog #
Availability
Size / Price
Qty
Loading...
NBP2-66844

Key Product Details

Validated by

Biological Validation

Species Reactivity

Validated:

Human

Cited:

Human

Applications

Validated:

Multiplex Immunofluorescence, Immunohistochemistry, Immunohistochemistry-Paraffin, Western Blot

Cited:

Immunohistochemistry-Paraffin

Label

Unconjugated

Antibody Source

Recombinant Monoclonal Rabbit IgG Clone # JA56-11 expressed in HEK293

Concentration

1 mg/ml

Product Specifications

Immunogen

Recombinant protein within Human Fibroblast Activation Protein alpha/FAP aa 1-160 / 760. (SwissProt: Q12884 Human)

Localization

Cell membrane. Cell surface.

Clonality

Monoclonal

Host

Rabbit

Isotype

IgG

Description

Novus Biologicals Rabbit Fibroblast Activation Protein alpha/FAP Antibody (JA56-11) (NBP2-66844) is a recombinant monoclonal antibody validated for use in Multiplex Immunofluorescence, IHC and WB. Anti-Fibroblast Activation Protein alpha/FAP Antibody: Cited in 1 publication. All Novus Biologicals antibodies are covered by our 100% guarantee.

Scientific Data Images for Fibroblast Activation Protein alpha/FAP Antibody (JA56-11)

Fibroblast Activation Protein alpha/FAP Antibody (JA56-11)

Western Blot: Fibroblast Activation Protein alpha/FAP Antibody (JA56-11) [NBP2-66844] -

Western Blot: Fibroblast Activation Protein alpha/FAP Antibody (JA56-11) [NBP2-66844] -Analysis of FAP on U-87 MG cell lysates with Rabbit anti-FAP antibody at 1/1,000 dilution.Lysates/proteins at 20 ug/Lane.Predicted band size: 88 kDaObserved band size: 100 kDaExposure time: 5 minutes; ECL: K1801;4-20% SDS-PAGE gel.Proteins were transferred to a PVDF membrane and blocked with 5% NFDM/TBST for 1 hour at room temperature. The primary antibody at 1/1,000 dilution was used in 5% NFDM/TBST at 4℃ overnight. Goat Anti-Rabbit IgG - HRP Secondary Antibody at 1/50,000 dilution was used for 1 hour at room temperature.
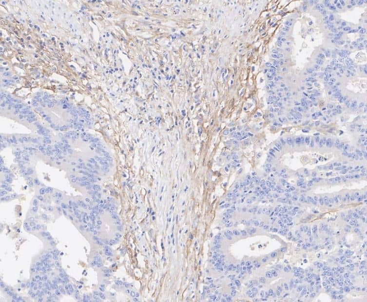
Fibroblast Activation Protein alpha/FAP Antibody (JA56-11)

Immunohistochemistry-Paraffin: Fibroblast Activation Protein alpha/FAP Antibody (JA56-11) [NBP2-66844] -

Immunohistochemistry-Paraffin: Fibroblast Activation Protein alpha/FAP Antibody (JA56-11) [NBP2-66844] - Analysis of paraffin-embedded human colon cancer tissue with Rabbit anti-FAP antibody at 1/1,000 dilution.The section was pre-treated using heat mediated antigen retrieval with Tris-EDTA buffer (pH 9.0) for 20 minutes. The tissues were blocked in 1% BSA for 20 minutes at room temperature, washed with ddH2O and PBS, and then probed with the primary antibody at 1/1,000 dilution for 1 hour at room temperature. The detection was performed using an HRP conjugated compact polymer system. DAB was used as the chromogen. Tissues were counterstained with hematoxylin and mounted with DPX.

Applications for Fibroblast Activation Protein alpha/FAP Antibody (JA56-11)

Application
Recommended Usage

Immunohistochemistry

1:1,000

Immunohistochemistry-Paraffin

1:1,000

Multiplex Immunofluorescence

1:3000

Western Blot

1:1,000

Formulation, Preparation, and Storage

Purification

Protein A purified

Formulation

TBS (pH7.4), 0.05% BSA, 40% Glycerol

Preservative

0.05% Sodium Azide

Concentration

1 mg/ml

Shipping

The product is shipped with polar packs. Upon receipt, store it immediately at the temperature recommended below.

Stability & Storage

Store at 4C short term. Aliquot and store at -20C long term. Avoid freeze-thaw cycles.

Background: Fibroblast Activation Protein alpha/FAP

FAP (also known as seprase) is a transmembrane serine protease, and a soluble and enzymatically active form of FAP known as antiplasmin-cleaving enzyme (APCE) circulates in human plasma. FAP is expressed on reactive stromal fibroblasts in tumor tissue and wound healing and on synoviocytes in rheumatoid arthritis. It exhibits dipeptidyl peptidase activity with substrate specificity similar to DPPIV/CD26, which is specific for N-terminal Xaa-Pro sequences. FAP is also an endopeptidase that can degrade Gelatin, Collagens I and IV, Fibronectin, and Laminin as well as several peptide hormones (e.g. Neuropeptide Y, Brain Natriuretic Peptide, Substance P, Peptide YY, and Incretins). The enzymatic activity is dependent on FAP association with DPPIV on the cell surface. The matrix-dedgrading activity of FAP contributes to tumor cell migration and invasion. In addition, FAP can enhance tumor cell growth by limiting the development of anti-tumor immunity.

Alternate Names

FAP, Seprase

Gene Symbol

FAP

Additional Fibroblast Activation Protein alpha/FAP Products

Product Documents for Fibroblast Activation Protein alpha/FAP Antibody (JA56-11)

Certificate of Analysis

To download a Certificate of Analysis, please enter a lot number in the search box below.

Product Specific Notices for Fibroblast Activation Protein alpha/FAP Antibody (JA56-11)

This product is for research use only and is not approved for use in humans or in clinical diagnosis. Primary Antibodies are guaranteed for 1 year from date of receipt.

Loading...
Loading...
Loading...
Loading...