Skip to main content

FGF-23 Antibody (FGF23/4162) - Azide and BSA Free

Novus Biologicals, part of Bio-Techne | Catalog # NBP3-08328

Novus Biologicals, part of Bio-Techne

Key Product Details

Species Reactivity

Human

Applications

Immunohistochemistry-Paraffin, Protein Array

Label

Unconjugated

Antibody Source

Monoclonal Mouse IgG2b Kappa Clone # FGF23/4162

Format

Azide and BSA Free

Concentration

1 mg/ml

Product Specifications

Immunogen

Recombinant fragment (around aa25-251) of human FGF-23 protein (exact sequence is proprietary) (Uniprot: Q9GZV9 )

Localization

Secreted (extracellular)

Clonality

Monoclonal

Host

Mouse

Isotype

IgG2b Kappa

Description

1.0 mg/ml of antibody purified from Bioreactor Concentrate by Protein A/G. Prepared in 10mM PBS WITHOUT BSA & azide. Also available at 200 ug/ml WITH BSA & azide (NBP3-07369).

Antibody with azide - store at 2 to 8C. Antibody without azide - store at -20 to -80 C.

Scientific Data Images for FGF-23 Antibody (FGF23/4162) - Azide and BSA Free

Immunohistochemistry-Paraffin: FGF-23 Antibody (FGF23/4162) - Azide and BSA Free [NBP3-08328]

Immunohistochemistry-Paraffin: FGF-23 Antibody (FGF23/4162) - Azide and BSA Free [NBP3-08328]

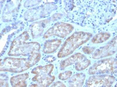
Immunohistochemistry-Paraffin: FGF-23 Antibody (FGF23/4162) [NBP3-08328] - Formalin-fixed, paraffin-embedded human kidney stained with FGF-23 Mouse Monoclonal Antibody (FGF-23/4162).
Immunohistochemistry-Paraffin: FGF-23 Antibody (FGF23/4162) - Azide and BSA Free [NBP3-08328]

Immunohistochemistry-Paraffin: FGF-23 Antibody (FGF23/4162) - Azide and BSA Free [NBP3-08328]

Immunohistochemistry-Paraffin: FGF-23 Antibody (FGF23/4162) [NBP3-08328] - Formalin-fixed, paraffin-embedded human kidney stained with FGF-23 Mouse Monoclonal Antibody (FGF-23/4162).
Protein Array: FGF-23 Antibody (FGF23/4162) - Azide and BSA Free [NBP3-08328]

Protein Array: FGF-23 Antibody (FGF23/4162) - Azide and BSA Free [NBP3-08328]

Protein Array: FGF-23 Antibody (FGF23/4162) [NBP3-08328] - Analysis of Protein Array containing more than 19,000 full-length human proteins using FGF-23 Mouse Monoclonal Antibody (FGF-23/4162).

Applications for FGF-23 Antibody (FGF23/4162) - Azide and BSA Free

Application
Recommended Usage

Immunohistochemistry-Paraffin

1-2 ug/ml
Application Notes
Immunohistochemistry Formalin-fixed: 1-2ug/ml for 30 minutes at RT. Staining of formalin-fixed tissues requires heating tissue sections in 10mM Tris with 1mM EDTA, pH 9.0, for 45 min at 95C followed by cooling at RT for 20 minutes. Optimal dilution for a specific application should be determined.

Formulation, Preparation, and Storage

Purification

Protein A or G purified

Formulation

10 mM PBS

Format

Azide and BSA Free

Preservative

No Preservative

Concentration

1 mg/ml

Shipping

The product is shipped with polar packs. Upon receipt, store it immediately at the temperature recommended below.

Stability & Storage

Store at -20 to -80C. Avoid freeze-thaw cycles.

Background: FGF-23

FGF-23 (fibroblast growth factor 23) is one of three FGF family members that appear to play a role in endocrine metabolism. It is described as being a phosphatonin, a molecule that reduces circulating plasma phosphate. FGF-23 does this, in part, by blocking Vitamin D activation. Active Vitamin D promotes intestinal phosphate absorption.

Long Name

Fibroblast Growth Factor 23

Alternate Names

FGF23

Gene Symbol

FGF23

Additional FGF-23 Products

Product Documents for FGF-23 Antibody (FGF23/4162) - Azide and BSA Free

Certificate of Analysis

To download a Certificate of Analysis, please enter a lot number in the search box below.

Product Specific Notices for FGF-23 Antibody (FGF23/4162) - Azide and BSA Free

This product is for research use only and is not approved for use in humans or in clinical diagnosis. Primary Antibodies are guaranteed for 1 year from date of receipt.

Loading...
Loading...
Loading...
Loading...