FFAR1/GPR40 Antibody - BSA Free
Novus Biologicals, part of Bio-Techne | Catalog # NLS1595
Key Product Details
Species Reactivity
Human, Monkey, Primate
Applications
Immunohistochemistry, Immunohistochemistry-Paraffin, Western Blot
Label
Unconjugated
Antibody Source
Polyclonal Rabbit IgG
Format
BSA Free
Concentration
1.0 mg/ml
Product Specifications
Immunogen
Synthetic 18 amino acid peptide from C-terminus of human FFAR1/GPR40.
Epitope
C-Terminus
Reactivity Notes
Predicted cross-reactivity based on sequence identity: Gorilla (100%), Rabbit (89%).
Specificity
Human GPR40. BLAST analysis of the peptide immunogen showed no homology with other human proteins.
Clonality
Polyclonal
Host
Rabbit
Isotype
IgG
Description
Product can be stored undiluted at 4C for up to 1 month.
Scientific Data Images for FFAR1/GPR40 Antibody - BSA Free
Immunohistochemistry-Paraffin: FFAR1/GPR40 Antibody - BSA Free [NLS1595]
Immunohistochemistry-Paraffin: FFAR1/GPR40 Antibody [NLS1595] - Brain, Parkinson's DiseaseImmunohistochemistry-Paraffin: FFAR1/GPR40 Antibody - BSA Free [NLS1595]
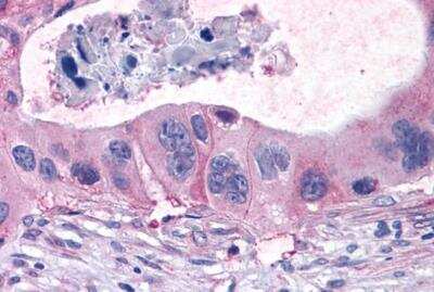
Immunohistochemistry-Paraffin: FFAR1/GPR40 Antibody [NLS1595] - Analysis of anti-FFAR1 / GPR40 antibody with human pancreas, carcinoma.Immunohistochemistry-Paraffin: FFAR1/GPR40 Antibody - BSA Free [NLS1595]
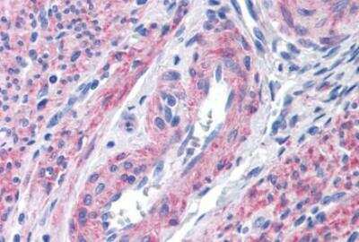
Immunohistochemistry-Paraffin: FFAR1/GPR40 Antibody [NLS1595] - Human uterus of formalin-fixed, paraffin-embedded tissue after heat-induced antigen retrieval.Applications for FFAR1/GPR40 Antibody - BSA Free
Application
Recommended Usage
Immunohistochemistry-Paraffin
9 - 18 ug/ml
Western Blot
1:1000 - 1:10000
Application Notes
.
Formulation, Preparation, and Storage
Purification
Immunogen affinity purified
Formulation
PBS
Format
BSA Free
Preservative
0.1% Sodium Azide
Concentration
1.0 mg/ml
Shipping
The product is shipped with polar packs. Upon receipt, store it immediately at the temperature recommended below.
Stability & Storage
Keep as concentrated solution. Aliquot and store at -20C or below. Avoid multiple freeze-thaw cycles.
Background: FFAR1/GPR40
Long Name
Free Fatty Acid Receptor 1
Alternate Names
FFA1, GPR40
Gene Symbol
FFAR1
Additional FFAR1/GPR40 Products
Product Documents for FFAR1/GPR40 Antibody - BSA Free
Product Specific Notices for FFAR1/GPR40 Antibody - BSA Free
This product is for research use only and is not approved for use in humans or in clinical diagnosis. Primary Antibodies are guaranteed for 1 year from date of receipt.
Loading...
Loading...
Loading...
Loading...