Skip to main content

Ferroportin/SLC40A1 Antibody (8G10NB) - Azide and BSA Free

Novus Biologicals, part of Bio-Techne | Catalog # NBP2-45357

Novus Biologicals, part of Bio-Techne

Key Product Details

Species Reactivity

Validated:

Human

Predicted:

Mouse (94%), Rat (93%). Backed by our 100% Guarantee.

Applications

Immunohistochemistry, Immunohistochemistry-Paraffin, Western Blot, Flow Cytometry, Flow (Intracellular), CyTOF-ready

Label

Unconjugated

Antibody Source

Monoclonal Mouse IgG2b Kappa Clone # 8G10NB

Format

Azide and BSA Free

Concentration

1.0 mg/ml

Product Specifications

Immunogen

This Ferroportin/SLC40A1 Antibody (8G10NB) was developed against partial recombinant human Ferroportin protein (between amino acids 150-350) .

Localization

Membrane, Cytoplasm

Clonality

Monoclonal

Host

Mouse

Isotype

IgG2b Kappa

Theoretical MW

62.5 kDa.
Disclaimer note: The observed molecular weight of the protein may vary from the listed predicted molecular weight due to post translational modifications, post translation cleavages, relative charges, and other experimental factors.

Description

Novus Biologicals Mouse Ferroportin/SLC40A1 Antibody (8G10NB) - Azide and BSA Free (NBP2-45356) is a monoclonal antibody validated for use in IHC, WB and Flow. Anti-Ferroportin/SLC40A1 Antibody: Cited in 1 publication. All Novus Biologicals antibodies are covered by our 100% guarantee.

Scientific Data Images for Ferroportin/SLC40A1 Antibody (8G10NB) - Azide and BSA Free

Western Blot: Ferroportin/SLC40A1 Antibody (8G10NB)Azide and BSA Free [NBP2-45357]

Western Blot: Ferroportin/SLC40A1 Antibody (8G10NB)Azide and BSA Free [NBP2-45357]

Western Blot: Ferroportin/SLC40A1 Antibody (8G10NB) - Azide Free [NBP2-45357] - Analysis using Ferroportin/SLC40A1 Antibody (8G10NB) in (A) recombinant human Ferroportin protein at 0.5 ug/ml (Molecular weight: 62.5 KDa) and (B) NCCIT lysate at 2 ug/ml. Image from the standard format of this antibody.
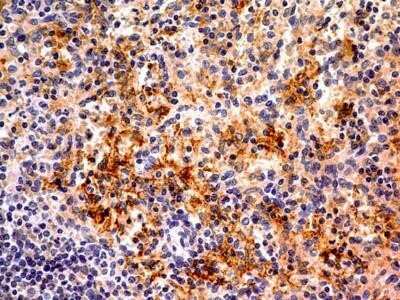
Immunohistochemistry: Ferroportin/SLC40A1 Antibody (8G10NB) - Azide and BSA Free [NBP2-45357]

Immunohistochemistry: Ferroportin/SLC40A1 Antibody (8G10NB) - Azide and BSA Free [NBP2-45357]

Immunohistochemistry: Ferroportin/SLC40A1 Antibody (8G10NB) - Azide Free [NBP2-45357] - Analysis of a FFPE human spleen section using mouse monoclonal Ferroportin/SLC40A1 Antibody (8G10NB) at 5 ug/ml concentration with HRP-DAB detection followed by hematoxylin counterstaining. The antibody generated membrane cytoplasmic staining in several c
Flow Cytometry: Ferroportin/SLC40A1 Antibody (8G10NB) - Azide and BSA Free [NBP2-45357]

Flow Cytometry: Ferroportin/SLC40A1 Antibody (8G10NB) - Azide and BSA Free [NBP2-45357]

Flow Cytometry: Ferroportin/SLC40A1 Antibody (8G10NB) - Azide Free [NBP2-45357] - Detection of Ferroportin/SLC40A1 in HEK293 human cell line transfected with human Ferroportin/SLC40A1. HEK293 human embryonic kidney cell line transfected with human Ferroportin/SLC40A1 (filled histogram) or irrelevant transfectants (open histogram) were stained with Mouse Ferroportin/SLC40A1 Antibody (8G10NB) followed by APC-conjugated Anti-mouse IgG Secondary Antibody (R&D Systems Catalog # F0101B). Image from the standard format of this antibody.

Applications for Ferroportin/SLC40A1 Antibody (8G10NB) - Azide and BSA Free

Application
Recommended Usage

Immunohistochemistry

5 ug/ml

Immunohistochemistry-Paraffin

5 ug/ml

Western Blot

2-4 ug/ml

Formulation, Preparation, and Storage

Purification

Protein G purified

Formulation

PBS

Format

Azide and BSA Free

Preservative

No Preservative

Concentration

1.0 mg/ml

Shipping

The product is shipped with polar packs. Upon receipt, store it immediately at the temperature recommended below.

Stability & Storage

Store at -20C. Avoid freeze-thaw cycles.

Background: Ferroportin/SLC40A1

Ferroportin is a 12-transmembrane domain protein, belonging to the major facilitator superfamily of transporters of small molecules, that is localized to the plasma membrane. Human Ferroportin has a theoretical molecular weight of 62.5 kDa. Ferroportin (FPN1 or SLC40A1) functions as an iron-regulated transporter (highly expressed in placenta, intestine, muscle, spleen, macrophages etc.) and is the receptor for the iron-regulatory hormone, hepcidin. In iron metabolism, FPN1 plays a key role in intestinal iron absorption as well as cellular iron release and mediates iron absorption in the presence of ferroxidases, hephaestin (HP) and/or ceruloplasmin (CP). FPN1 is implicated in iron export from duodenal epithelial cells and in the transfer of iron between maternal and fetal circulation. FPN1 transports iron in the ferrous form whereas plasma transferrin only binds iron's ferric form. Ferroxidases are key players in oxidizing iron transported by FPN1 and without the activity of ferroxidases, FPN1 is internalized followed by degradation. While other cell types utilize the circulating or GPI-linked multicopper ferroxidase CP for FPN1, intestinal cells utilize a membrane-bound HP, a paralog of CP that also show interaction with FPN1 (1).

FPN1 regulation is dependent on the cell type and involves transcriptional, posttranscriptional, and posttranslational mechanisms including hepcidin-mediated endocytosis and proteolysis. Hepcidin controls the concentration of FPN1 in the membrane, with hepcidin deficiency resulting in iron overload (high iron) and hepcidin excess leading to iron restriction and anemia (2). Ferroportin disease or hemochromatosis type 4 (HFE4) is associated with distinct FPN1 variants with either reduced FPN1 cell surface expression/iron export capacity or hepcidin resistance and iron overload (3, 4).

References

1. De Domenico I, Ward DM, Kaplan J. (2011) Hepcidin and ferroportin: the new players in iron metabolism. Semin Liver Dis. 31(3):272-9. PMID: 21901657

2. Drakesmith H, Nemeth E, Ganz T. (2015) Ironing out Ferroportin. Cell Metab. 22(5):777-87. PMID: 26437604

3. Pietrangelo A. (2017) Ferroportin disease: pathogenesis, diagnosis and treatment. Haematologica. 102(12):1972-1984. PMID: 29101207

4. Vlasveld LT, Janssen R, Bardou-Jacquet E, Venselaar H, Hamdi-Roze H, Drakesmith H, Swinkels DW. (2019) Twenty Years of Ferroportin Disease: A Review or An Update of Published Clinical, Biochemical, Molecular, and Functional Features. Pharmaceuticals (Basel). 12(3). pii: E132. PMID: 31505869

Long Name

Solute Carrier Family 40 Member 1

Alternate Names

FPN1, HFE4, IREG1, MST079, MTP1, SLC11A3, SLC40A1

Gene Symbol

SLC40A1

Additional Ferroportin/SLC40A1 Products

Product Documents for Ferroportin/SLC40A1 Antibody (8G10NB) - Azide and BSA Free

Certificate of Analysis

To download a Certificate of Analysis, please enter a lot number in the search box below.

Product Specific Notices for Ferroportin/SLC40A1 Antibody (8G10NB) - Azide and BSA Free

This product is for research use only and is not approved for use in humans or in clinical diagnosis. Primary Antibodies are guaranteed for 1 year from date of receipt.

Loading...
Loading...
Loading...
Loading...
Loading...