Skip to main content

Ferritin Light Chain Antibody - BSA Free

Novus Biologicals, part of Bio-Techne | Catalog # NBP1-54948

Novus Biologicals, part of Bio-Techne
Catalog #
Availability
Size / Price
Qty
Loading...
NBP1-54948

Key Product Details

Species Reactivity

Human

Applications

Immunohistochemistry, Immunohistochemistry-Paraffin, Western Blot

Label

Unconjugated

Antibody Source

Polyclonal Rabbit IgG

Format

BSA Free

Concentration

0.5 mg/ml

Product Specifications

Immunogen

Synthetic peptides corresponding to FTL(ferritin, light polypeptide) The peptide sequence was selected from the middle region of FTL. Peptide sequence ALLDLHALGSARTDPHLCDFLETHFLDEEVKLIKKMGDHLTNLHRLGGPE. The peptide sequence for this immunogen was taken from within the described region.

Clonality

Polyclonal

Host

Rabbit

Isotype

IgG

Theoretical MW

20 kDa.
Disclaimer note: The observed molecular weight of the protein may vary from the listed predicted molecular weight due to post translational modifications, post translation cleavages, relative charges, and other experimental factors.

Description

The addition of 50% glycerol is optional for those storing this antibody at -20C and not aliquoting smaller units. However, please note that glycerol may interrupt some downstream antibody applications and should be added with caution.

Scientific Data Images for Ferritin Light Chain Antibody - BSA Free

Western Blot: Ferritin Light Chain Antibody [NBP1-54948]

Western Blot: Ferritin Light Chain Antibody [NBP1-54948]

Western Blot: Ferritin Light Chain Antibody [NBP1-54948] - Analysis of HepG2 cell lysate. Antibody Dilution: 1.0 ug/ml.
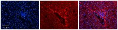
Immunohistochemistry: Ferritin Light Chain Antibody [NBP1-54948]

Immunohistochemistry: Ferritin Light Chain Antibody [NBP1-54948]

Immunohistochemistry: Ferritin Light Chain Antibody [NBP1-54948] - Human Adult liver Observed Staining: Cytoplasmic Primary Antibody Concentration: 1 : 600 Secondary Antibody: Donkey anti-Rabbit-Cy2/3 Secondary Antibody Concentration: 1 : 200 Magnification: 20X Exposure Time: 0.5 2.0 secProtocol located in Reviews and Data.
Western Blot: Ferritin Light Chain Antibody [NBP1-54948]

Western Blot: Ferritin Light Chain Antibody [NBP1-54948]

Western Blot: Ferritin Light Chain Antibody [NBP1-54948] - Titration: 0.2-1 ug/ml Positive Control: HepG2 cell lysate.

Applications for Ferritin Light Chain Antibody - BSA Free

Application
Recommended Usage

Western Blot

1.0 ug/ml

Formulation, Preparation, and Storage

Purification

Affinity purified

Formulation

PBS, 2% Sucrose

Format

BSA Free

Preservative

0.09% Sodium Azide

Concentration

0.5 mg/ml

Shipping

The product is shipped with polar packs. Upon receipt, store it immediately at the temperature recommended below.

Stability & Storage

Store at 4C short term. Aliquot and store at -20C long term. Avoid freeze-thaw cycles.

Background: Ferritin Light Chain

This gene encodes the light subunit of the ferritin protein. Ferritin is the major intracellular iron storage protein in prokaryotes and eukaryotes. It is composed of 24 subunits of the heavy and light ferritin chains. Variation in ferritin subunit composition may affect the rates of iron uptake and release in different tissues. A major function of ferritin is the storage of iron in a soluble and nontoxic state. Defects in this light chain ferritin gene are associated with several neurodegenerative diseases and hyperferritinemia-cataract syndrome. This gene has multiple pseudogenes. [provided by RefSeq, Jul 2008]

Alternate Names

Ferritin L subunit, ferritin L-chain, ferritin light chain, ferritin light polypeptide-like 3, ferritin, light polypeptide, MGC71996, NBIA3

Gene Symbol

FTL

UniProt

Additional Ferritin Light Chain Products

Product Documents for Ferritin Light Chain Antibody - BSA Free

Certificate of Analysis

To download a Certificate of Analysis, please enter a lot number in the search box below.

Product Specific Notices for Ferritin Light Chain Antibody - BSA Free

This product is for research use only and is not approved for use in humans or in clinical diagnosis. Primary Antibodies are guaranteed for 1 year from date of receipt.

Loading...
Loading...
Loading...
Loading...