Skip to main content

Ferritin Heavy Chain Antibody - BSA Free

Novus Biologicals, part of Bio-Techne | Catalog # NBP1-31944

Novus Biologicals, part of Bio-Techne
Catalog #
Availability
Size / Price
Qty
Loading...
NBP1-31944

Key Product Details

Validated by

Orthogonal Validation

Species Reactivity

Validated:

Human, Mouse, Rat

Cited:

Mouse, Rat

Predicted:

Bovine (92%), Canine (96%), Chicken (93%), Feline (96%), Guinea Pig (96%), Rhesus Macaque (99%), Sheep (93%). Backed by our 100% Guarantee.

Applications

Validated:

Immunohistochemistry, Immunohistochemistry-Paraffin, Western Blot, Immunocytochemistry/ Immunofluorescence

Cited:

Western Blot

Label

Unconjugated

Antibody Source

Polyclonal Rabbit IgG

Format

BSA Free

Concentration

Concentrations vary lot to lot. See vial label for concentration. If unlisted please contact technical services.

Product Specifications

Immunogen

Recombinant protein encompassing a sequence within the center region of human Ferritin Heavy Chain. The exact sequence is proprietary.

Reactivity Notes

Porcine (87%), Cat (96%).

Clonality

Polyclonal

Host

Rabbit

Isotype

IgG

Theoretical MW

21 kDa.
Disclaimer note: The observed molecular weight of the protein may vary from the listed predicted molecular weight due to post translational modifications, post translation cleavages, relative charges, and other experimental factors.

Description

Novus Biologicals Rabbit Ferritin Heavy Chain Antibody - BSA Free (NBP1-31944) is a polyclonal antibody validated for use in IHC, WB and ICC/IF. Anti-Ferritin Heavy Chain Antibody: Cited in 8 publications. All Novus Biologicals antibodies are covered by our 100% guarantee.

Scientific Data Images for Ferritin Heavy Chain Antibody - BSA Free

Immunocytochemistry/ Immunofluorescence: Ferritin Heavy Chain Antibody [NBP1-31944]

Immunocytochemistry/ Immunofluorescence: Ferritin Heavy Chain Antibody [NBP1-31944]

Immunocytochemistry/Immunofluorescence: Ferritin Heavy Chain Antibody [NBP1-31944] - HeLa cells were fixed in 4% paraformaldehyde at RT for 15 min. Green: Ferritin Heavy Chain protein stained by Ferritin Heavy Chain antibody [N1C3] diluted at 1:500. Red: Phalloidin, a cytoskeleton marker, diluted at 1:50. Blue: Hoechst 33342 staining. Scale bar = 10 um.
Western Blot: Ferritin Heavy Chain Antibody [NBP1-31944]

Western Blot: Ferritin Heavy Chain Antibody [NBP1-31944]

Western Blot: Ferritin Heavy Chain Antibody [NBP1-31944] - Human tissue extract (30 ug) was separated by 12% SDS-PAGE, and the membrane was blotted with Ferritin Heavy Chain antibody [N1C3] diluted at 1:500.
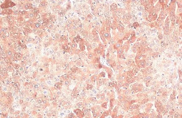
Immunohistochemistry-Paraffin: Ferritin Heavy Chain Antibody [NBP1-31944]

Immunohistochemistry-Paraffin: Ferritin Heavy Chain Antibody [NBP1-31944]

Immunohistochemistry-Paraffin: Ferritin Heavy Chain Antibody [NBP1-31944] - Rat liver. Ferritin Heavy Chain antibody [N1C3] diluted at 1:500. Antigen Retrieval: Citrate buffer, pH 6.0, 15 min.

Applications for Ferritin Heavy Chain Antibody - BSA Free

Application
Recommended Usage

Immunocytochemistry/ Immunofluorescence

1:100-1:1000

Immunohistochemistry

1:100-1:1000

Immunohistochemistry-Paraffin

1:100-1:1000

Western Blot

1:500-1:3000

Formulation, Preparation, and Storage

Purification

Antigen Affinity-purified

Formulation

PBS, 20% Glycerol

Format

BSA Free

Preservative

0.025% Proclin 300

Concentration

Concentrations vary lot to lot. See vial label for concentration. If unlisted please contact technical services.

Shipping

The product is shipped with polar packs. Upon receipt, store it immediately at the temperature recommended below.

Stability & Storage

Aliquot and store at -20C or -80C. Avoid freeze-thaw cycles.

Background: Ferritin Heavy Chain

This gene encodes the heavy subunit of ferritin, the major intracellular iron storage protein in prokaryotes and eukaryotes. It is composed of 24 subunits of the heavy and light ferritin chains. Variation in ferritin subunit composition may affect the rates of iron uptake and release in different tissues. A major function of ferritin is the storage of iron in a soluble and nontoxic state. Defects in ferritin proteins are associated with several neurodegenerative diseases. This gene has multiple pseudogenes. Several alternatively spliced transcript variants have been observed, but their biological validity has not been determined. [provided by RefSeq, Jul 2008]

Alternate Names

apoferritin, Cell proliferation-inducing gene 15 protein, Ferritin H subunit, ferritin heavy chain, ferritin, heavy polypeptide 1, FHC, FTHEC 1.16.3.1, FTHL6MGC104426, PIG15, placenta immunoregulatory factor, PLIF, proliferation-inducing protein 15

Gene Symbol

FTH1

Additional Ferritin Heavy Chain Products

Product Documents for Ferritin Heavy Chain Antibody - BSA Free

Certificate of Analysis

To download a Certificate of Analysis, please enter a lot number in the search box below.

Product Specific Notices for Ferritin Heavy Chain Antibody - BSA Free

This product is for research use only and is not approved for use in humans or in clinical diagnosis. Primary Antibodies are guaranteed for 1 year from date of receipt.

Loading...
Loading...
Loading...
Loading...