Skip to main content

FCRL3/FcRH3 Antibody - BSA Free

Novus Biologicals, part of Bio-Techne | Catalog # NBP2-62615

Novus Biologicals, part of Bio-Techne
Catalog #
Availability
Size / Price
Qty
Loading...
NBP2-62615
NBP2-62615-25ul

Key Product Details

Validated by

Orthogonal Validation

Species Reactivity

Human

Applications

Immunohistochemistry, Immunohistochemistry-Paraffin

Label

Unconjugated

Antibody Source

Polyclonal Rabbit IgG

Format

BSA Free

Concentration

Concentrations vary lot to lot. See vial label for concentration. If unlisted please contact technical services.

Product Specifications

Immunogen

This antibody was developed against a recombinant protein corresponding to amino acids: AQGDTYWYHDEKLLKIKHDKIQITEPGNYQCKTRGSSLSDAVHVEFSPDWLILQALHPVFEGDNVILRCQGKDNKNTHQKVYYKDGKQLPNSYNLEKITVNSVSRDNSKYHCTAYRKFYILDIEVTSKPLNIQ

Clonality

Polyclonal

Host

Rabbit

Isotype

IgG

Description

Novus Biologicals Rabbit FCRL3/FcRH3 Antibody - BSA Free (NBP2-62615) is a polyclonal antibody validated for use in IHC. All Novus Biologicals antibodies are covered by our 100% guarantee.

Scientific Data Images for FCRL3/FcRH3 Antibody - BSA Free

Immunohistochemistry-Paraffin: FCRL3/FcRH3 Antibody [NBP2-62615]

Immunohistochemistry-Paraffin: FCRL3/FcRH3 Antibody [NBP2-62615]

Immunohistochemistry-Paraffin: FCRL3/FcRH3 Antibody [NBP2-62615] - Analysis in human tonsil and cerebral cortex tissues. Corresponding FCRL3 RNA-seq data are presented for the same tissues.
Immunohistochemistry-Paraffin: FCRL3/FcRH3 Antibody [NBP2-62615]

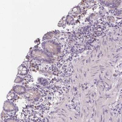
Immunohistochemistry-Paraffin: FCRL3/FcRH3 Antibody [NBP2-62615]

Immunohistochemistry-Paraffin: FCRL3/FcRH3 Antibody [NBP2-62615] - Staining of human small intestine shows moderate cytoplasmic positivity in lymphoid cells.
Immunohistochemistry-Paraffin: FCRL3/FcRH3 Antibody [NBP2-62615]

Immunohistochemistry-Paraffin: FCRL3/FcRH3 Antibody [NBP2-62615]

Immunohistochemistry-Paraffin: FCRL3/FcRH3 Antibody [NBP2-62615] - Staining of human tonsil shows positivity in lymphoid cells.

Applications for FCRL3/FcRH3 Antibody - BSA Free

Application
Recommended Usage

Immunohistochemistry

1:1000 - 1:2500

Immunohistochemistry-Paraffin

1:1000 - 1:2500
Application Notes
For IHC-Paraffin, HIER pH 6 retrieval is recommended.

Formulation, Preparation, and Storage

Purification

Affinity purified

Formulation

PBS (pH 7.2) and 40% Glycerol

Format

BSA Free

Preservative

0.02% Sodium Azide

Concentration

Concentrations vary lot to lot. See vial label for concentration. If unlisted please contact technical services.

Shipping

The product is shipped with polar packs. Upon receipt, store it immediately at the temperature recommended below.

Stability & Storage

Store at 4C short term. Aliquot and store at -20C long term. Avoid freeze-thaw cycles.

Background: FCRL3/FcRH3

The FCRL3 gene codes for a member of the immunoglobulin receptor superfamily, a Fc receptor-like protein 3 that has seven isoforms: isoform 1: 734 amino acids long, 80 kDA; isoform 2: 639 amino acids long, nearly 70 kDA; isoform 3: 740 amino acids long, 81 kDA; isoform 4: 189 amino acids long, 21 kDA; isoform 5: 199 amino acids long, 22 kDA; isoform 6: 742 amino acid long, 81 kDA; and isoform 7: 707 amino acids long, 77 kDA. This protein functions in the moderation of the immune system as it obtains immunoreceptor-tyrosine activation motifs as well as immunoreceptor-tyrosine inhibitory motifs in its cytoplasmic domain. It is known to interact with genes SYK, PTPN6, ZAP70, and PTPN11. FCRL3 is linked to multiple sclerosis, graves' disease, arthritis, lupus, rheumatoid arthritis, alopecia areata, behcet's disease, and primary biliary cirrhosis.

Long Name

Fc Receptor-like 3

Alternate Names

CD307c, FcRH3, IFGP3, IRTA3, SPAP2

Gene Symbol

FCRL3

Additional FCRL3/FcRH3 Products

Product Documents for FCRL3/FcRH3 Antibody - BSA Free

Certificate of Analysis

To download a Certificate of Analysis, please enter a lot number in the search box below.

Product Specific Notices for FCRL3/FcRH3 Antibody - BSA Free

This product is for research use only and is not approved for use in humans or in clinical diagnosis. Primary Antibodies are guaranteed for 1 year from date of receipt.

Loading...
Loading...
Loading...
Loading...