Skip to main content

FCAMR Antibody - Azide and BSA Free

Novus Biologicals, part of Bio-Techne | Catalog # NBP2-99555

Novus Biologicals, part of Bio-Techne

Key Product Details

Species Reactivity

Mouse

Applications

Immunohistochemistry, Immunohistochemistry-Paraffin, Western Blot

Label

Unconjugated

Antibody Source

Polyclonal Rabbit IgG

Format

Azide and BSA Free

Concentration

Please see the vial label for concentration. If unlisted please contact technical services.

Product Specifications

Immunogen

Produced in rabbits immunized with a synthetic peptide corresponding to the N-terminus of the Mouse FCAMR.

Clonality

Polyclonal

Host

Rabbit

Isotype

IgG

Description

This antibody can be stored at 2C to 8C for one month without detectable loss of activity. Antibody products are stable for twelve months from date of receipt when stored at -20C to -80C. Avoid repeated freeze-thaw cycles.

Scientific Data Images for FCAMR Antibody - Azide and BSA Free

Western Blot: FCAMR Antibody [NBP2-99555]

Western Blot: FCAMR Antibody [NBP2-99555]

Western Blot: FCAMR Antibody [NBP2-99555] - Lane A: Mouse spleen tissue lysate Lane B: Mouse small intestine tissue lysate Lysates/proteins at 30 ug per lane.SecondaryGoat Anti-Rabbit IgG (H+L)/HRP at 1/10000 dilution.Developed using the technique.Performed under reducing conditions.Predicted band size:58 kDaObserved band size:65 kDa
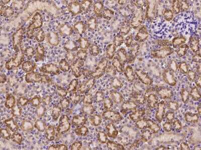
Immunohistochemistry-Paraffin: FCAMR Antibody [NBP2-99555]

Immunohistochemistry-Paraffin: FCAMR Antibody [NBP2-99555]

Immunohistochemistry-Paraffin: FCAMR Antibody [NBP2-99555] - Immunochemical staining of mouse FCAMR in mouse kidney with rabbit polyclonal antibody at 1:200 dilution, formalin-fixed paraffin embedded sections.

Applications for FCAMR Antibody - Azide and BSA Free

Application
Recommended Usage

Immunohistochemistry

1:100-1:500

Immunohistochemistry-Paraffin

1:100-1:500

Western Blot

1:500-1:2000

Formulation, Preparation, and Storage

Purification

Antigen and protein A Affinity-purified

Formulation

0.2 um filtered solution in PBS

Format

Azide and BSA Free

Preservative

No Preservative

Concentration

Please see the vial label for concentration. If unlisted please contact technical services.

Shipping

The product is shipped with polar packs. Upon receipt, store it immediately at the temperature recommended below.

Stability & Storage

Store at 4C short term. Aliquot and store at -20C long term. Avoid freeze-thaw cycles.

Background: Fc alpha/mu R

Long Name

Fc alpha/mu Receptor

Alternate Names

CD351, FCA/MR, FCAMR, FKSG87, uR

Gene Symbol

FCAMR

Additional Fc alpha/mu R Products

Product Documents for FCAMR Antibody - Azide and BSA Free

Certificate of Analysis

To download a Certificate of Analysis, please enter a lot number in the search box below.

Product Specific Notices for FCAMR Antibody - Azide and BSA Free

This product is for research use only and is not approved for use in humans or in clinical diagnosis. Primary Antibodies are guaranteed for 1 year from date of receipt.

Loading...
Loading...
Loading...
Loading...