Skip to main content

Fc gamma RI/CD64 Antibody (OTI1A8) - Azide and BSA Free

Novus Biologicals, part of Bio-Techne | Catalog # NBP2-70702

Novus Biologicals, part of Bio-Techne

Key Product Details

Species Reactivity

Human

Applications

Immunohistochemistry, Immunohistochemistry-Paraffin, Western Blot, Flow Cytometry, Immunocytochemistry/ Immunofluorescence

Label

Unconjugated

Antibody Source

Monoclonal Mouse IgG1 Clone # OTI1A8

Format

Azide and BSA Free

Concentration

LYOPH mg/ml

Product Specifications

Immunogen

Full length human recombinanti protein of human FCGR1A(NP_000557) produced in HEK293T cell.

Clonality

Monoclonal

Host

Mouse

Isotype

IgG1

Theoretical MW

42.5 kDa.
Disclaimer note: The observed molecular weight of the protein may vary from the listed predicted molecular weight due to post translational modifications, post translation cleavages, relative charges, and other experimental factors.

Description

Novus Biologicals Mouse Fc gamma RI/CD64 Antibody (OTI1A8) - Azide and BSA Free (NBP2-45625) is a monoclonal antibody validated for use in IHC, WB, Flow and ICC/IF. All Novus Biologicals antibodies are covered by our 100% guarantee.

Scientific Data Images for Fc gamma RI/CD64 Antibody (OTI1A8) - Azide and BSA Free

Western Blot: Fc gamma RI/CD64 Antibody (OTI1A8)Azide and BSA Free [NBP2-70702]

Western Blot: Fc gamma RI/CD64 Antibody (OTI1A8)Azide and BSA Free [NBP2-70702]

Western Blot: Fc gamma RI/CD64 Antibody (OTI1A8) - Azide and BSA Free [NBP2-70702] - Analysis of HEK293T cells were transfected with the pCMV6-ENTRY control (Left lane) or pCMV6-ENTRY Fc gamma RI/CD64.
Immunocytochemistry/ Immunofluorescence: Fc gamma RI/CD64 Antibody (OTI1A8) - Azide and BSA Free [NBP2-70702]

Immunocytochemistry/ Immunofluorescence: Fc gamma RI/CD64 Antibody (OTI1A8) - Azide and BSA Free [NBP2-70702]

Immunocytochemistry/Immunofluorescence: Fc gamma RI/CD64 Antibody (OTI1A8) - Azide and BSA Free [NBP2-70702] - Analysis of COS7 cells transiently transfected by pCMV6-ENTRY Fc gamma RI/CD64.
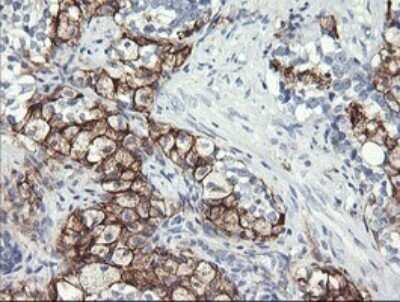
Immunohistochemistry: Fc gamma RI/CD64 Antibody (OTI1A8) - Azide and BSA Free [NBP2-70702]

Immunohistochemistry: Fc gamma RI/CD64 Antibody (OTI1A8) - Azide and BSA Free [NBP2-70702]

Immunohistochemistry: Fc gamma RI/CD64 Antibody (OTI1A8) - Azide and BSA Free [NBP2-70702] - Analysis of Carcinoma of Human prostate tissue. (Heat-induced epitope retrieval by 10mM citric buffer, pH6.0, 120C for 3min)

Applications for Fc gamma RI/CD64 Antibody (OTI1A8) - Azide and BSA Free

Application
Recommended Usage

Immunocytochemistry/ Immunofluorescence

1:100

Immunohistochemistry

1:150

Western Blot

1:2000

Formulation, Preparation, and Storage

Purification

Immunogen affinity purified

Reconstitution

we recommend adding 100uL distilled water to a final antibody concentration of about 1 mg/mL. To use this carrier-free antibody for conjugation experiment, we strongly recommend performing another round of desalting process.

Formulation

Lyophilized from PBS (pH 7.3) with 8% Trehalose

Format

Azide and BSA Free

Preservative

No Preservative

Concentration

LYOPH mg/ml

Shipping

The product is shipped with polar packs. Upon receipt, store it immediately at the temperature recommended below.

Stability & Storage

Store at -20C. Avoid freeze-thaw cycles.

Background: Fc gamma RI/CD64

CD64 is a 72 kD single chain type I glycoprotein also known as Fc gammaRI and FcR I. CD64 is a member of the immunoglobulin superfamily and is expressed on monocytes/macrophages, dendritic cells, and activated granulocytes. The expression can be upregulated by IFN- gamma stimulation. CD64 binds IgG immune complex. It plays a role in antigen capture, phagocytosis of IgG/antigen complexes, and antibody-dependent cellular cytotoxicity (ADCC).

Long Name

Fc gamma Receptor I

Alternate Names

CD64, CD64a, FCGR1, FcgRI, FcgRIA, FCRI, FcRIA

Gene Symbol

FCGR1A

Additional Fc gamma RI/CD64 Products

Product Documents for Fc gamma RI/CD64 Antibody (OTI1A8) - Azide and BSA Free

Certificate of Analysis

To download a Certificate of Analysis, please enter a lot number in the search box below.

Product Specific Notices for Fc gamma RI/CD64 Antibody (OTI1A8) - Azide and BSA Free

This product is for research use only and is not approved for use in humans or in clinical diagnosis. Primary Antibodies are guaranteed for 1 year from date of receipt.

Loading...
Loading...
Loading...
Loading...
Loading...
Loading...