Skip to main content

FBXW2 Antibody

Novus Biologicals, part of Bio-Techne | Catalog # NB100-1300

Novus Biologicals, part of Bio-Techne
Catalog #
Availability
Size / Price
Qty
Loading...
NB100-1300

Key Product Details

Species Reactivity

Validated:

Human, Mouse, Rat

Predicted:

Bovine (100%), Canine (100%), Porcine (100%). Backed by our 100% Guarantee.

Applications

Immunohistochemistry, Immunohistochemistry-Paraffin, Western Blot, Peptide ELISA

Label

Unconjugated

Antibody Source

Polyclonal Goat IgG

Concentration

0.5 mg/ml

Product Specifications

Immunogen

Peptide with sequence C-KRGSSFLAGEHPG corresponding to C-Terminus according to NP_036296.2.

Clonality

Polyclonal

Host

Goat

Isotype

IgG

Description

Novus Biologicals Goat FBXW2 Antibody (NB100-1300) is a polyclonal antibody validated for use in IHC, WB and ELISA. Anti-FBXW2 Antibody: Cited in 1 publication. All Novus Biologicals antibodies are covered by our 100% guarantee.

Scientific Data Images for FBXW2 Antibody

Western Blot: FBXW2 Antibody [NB100-1300]

Western Blot: FBXW2 Antibody [NB100-1300]

Western Blot: FBXW2 Antibody [NB100-1300] - (0.3ug/ml) of Human Kidney lysate (RIPA buffer, 30ug total protein per lane). Primary incubated for 1 hour. Detected by western blot using chemiluminescence.
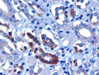
Immunohistochemistry: FBXW2 Antibody [NB100-1300]

Immunohistochemistry: FBXW2 Antibody [NB100-1300]

Immunohistochemistry: FBXW2 Antibody [NB100-1300] - (3ug/ml) staining of paraffin embedded Human Kidney. Microwaved antigen retrieval with citrate buffer pH 6, HRP-staining.

Applications for FBXW2 Antibody

Application
Recommended Usage

Immunohistochemistry

2 - 3 ug/ml

Immunohistochemistry-Paraffin

2 - 3 ug/ml

Peptide ELISA

Detection limit 1:128000

Western Blot

0.3 - 1.5 ug/ml
Application Notes
WB: Approx. 48 kDa band observed in human kidney lysates (calculated MW of 48.0 kDa band according to NP_036296.1). A stronger band of unknown identity was also consistently observed at approx. 30 kDa band - both bands were successfully blocked by incubation with the immunizing peptide. IHC-P: Human kidney show cytoplasmic staining of epithelial cells in some renal tubules. Anonymous customers have reported positive results in on mouse and rat kidney tissue.

Formulation, Preparation, and Storage

Purification

Immunogen affinity purified

Formulation

Tris saline (20 mM Tris pH 7.3, 150 mM NaCl), 0.5% BSA

Preservative

0.02% Sodium Azide

Concentration

0.5 mg/ml

Shipping

The product is shipped with polar packs. Upon receipt, store it immediately at the temperature recommended below.

Stability & Storage

Store at -20C. Avoid freeze-thaw cycles.

Background: FBXW2

F-box proteins are an expanding family of eukaryotic proteins characterized by an approximately 40 amino acid motif, the F box. Some F-box proteins have been shown to be critical for the ubiquitin-mediated degradation of cellular regulatory proteins. In fact, F-box proteins are one of the four subunits of ubiquitin protein ligases, called SCFs. SCF ligases bring ubiquitin conjugating enzymes to substrates that are specifically recruited by the different F-box proteins. A large family of mammalian F-box proteins has recently been identified and classified into three groups based on the presence of either the WD-40 repeats, the leucine-rich repeats, or the presence or absence of other protein-protein interacting domains. The FBXW2 gene product, the second identified member of the F-box gene family, contains multiple WD-40 repeats.

Alternate Names

F-box and WD repeat domain containing 2, F-box and WD-40 domain protein 2, F-box and WD-40 domain-containing protein 2, F-box/WD repeat-containing protein 2, FBW2Fwd2, FWD2, Md6, MGC117371, Protein MD6

Entrez Gene IDs

26190 (Human)

Gene Symbol

FBXW2

Additional FBXW2 Products

Product Documents for FBXW2 Antibody

Certificate of Analysis

To download a Certificate of Analysis, please enter a lot number in the search box below.

Product Specific Notices for FBXW2 Antibody

This product is for research use only and is not approved for use in humans or in clinical diagnosis. Primary Antibodies are guaranteed for 1 year from date of receipt.

Loading...
Loading...
Loading...
Loading...