Skip to main content

FAXC Antibody - BSA Free

Novus Biologicals, part of Bio-Techne | Catalog # NBP1-90579

Novus Biologicals, part of Bio-Techne
Catalog #
Availability
Size / Price
Qty
Loading...
NBP1-90579
NBP1-90579-25ul

Key Product Details

Species Reactivity

Human, Mouse, Rat

Applications

Immunocytochemistry/ Immunofluorescence, Immunohistochemistry, Immunohistochemistry-Paraffin, Western Blot

Label

Unconjugated

Antibody Source

Polyclonal Rabbit IgG

Format

BSA Free

Concentration

Concentrations vary lot to lot. See vial label for concentration. If unlisted please contact technical services.

Product Specifications

Immunogen

This antibody was developed against Recombinant Protein corresponding to amino acids: HFYWTLAYCQWVDNLNETRKMLSLSGGGPFSNLLRWVVCHITKGIVKREMHGHGIGRFSEEEIYMLMEKDMRSLAGLLG

Clonality

Polyclonal

Host

Rabbit

Isotype

IgG

Description

Novus Biologicals Rabbit FAXC Antibody - BSA Free (NBP1-90579) is a polyclonal antibody validated for use in IHC, WB and ICC/IF. All Novus Biologicals antibodies are covered by our 100% guarantee.

Scientific Data Images for FAXC Antibody - BSA Free

Immunocytochemistry/ Immunofluorescence: FAXC Antibody [NBP1-90579]

Immunocytochemistry/ Immunofluorescence: FAXC Antibody [NBP1-90579]

Immunocytochemistry/Immunofluorescence: FAXC Antibody [NBP1-90579] - Staining of human cell line U-2 OS shows localization to nucleoplasm. Antibody staining is shown in green.
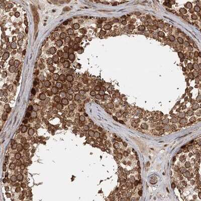
Immunohistochemistry-Paraffin: FAXC Antibody [NBP1-90579]

Immunohistochemistry-Paraffin: FAXC Antibody [NBP1-90579]

Immunohistochemistry-Paraffin: FAXC Antibody [NBP1-90579] - Staining of human testis shows strong cytoplasmic positivity in cells in seminiferus ducts.
Western Blot: FAXC Antibody [NBP1-90579]

Western Blot: FAXC Antibody [NBP1-90579]

Western Blot: FAXC Antibody [NBP1-90579] - Lane 1: Marker [kDa] 250, 130, 95, 72, 55, 36, 28, 17, 10. Lane 2: Human cell line RT-4. Lane 3: Human cell line U-251MG sp

Applications for FAXC Antibody - BSA Free

Application
Recommended Usage

Immunocytochemistry/ Immunofluorescence

0.25-2 ug/ml

Immunohistochemistry

1:200 - 1:500

Immunohistochemistry-Paraffin

1:200 - 1:500

Western Blot

0.04-0.4 ug/ml
Application Notes
For IHC-Paraffin, HIER pH 6 retrieval is recommended. ICC/IF Fixation Permeabilization: Use PFA/Triton X-100.

Formulation, Preparation, and Storage

Purification

Immunogen affinity purified

Formulation

PBS (pH 7.2) and 40% Glycerol

Format

BSA Free

Preservative

0.02% Sodium Azide

Concentration

Concentrations vary lot to lot. See vial label for concentration. If unlisted please contact technical services.

Shipping

The product is shipped with polar packs. Upon receipt, store it immediately at the temperature recommended below.

Stability & Storage

Store at 4C short term. Aliquot and store at -20C long term. Avoid freeze-thaw cycles.

Background: FAXC

Alternate Names

C6orf168, chromosome 6 open reading frame 168, dJ273F20, failed axon connections homolog (Drosophila)

Gene Symbol

FAXC

Additional FAXC Products

Product Documents for FAXC Antibody - BSA Free

Certificate of Analysis

To download a Certificate of Analysis, please enter a lot number in the search box below.

Product Specific Notices for FAXC Antibody - BSA Free

This product is for research use only and is not approved for use in humans or in clinical diagnosis. Primary Antibodies are guaranteed for 1 year from date of receipt.

Loading...
Loading...
Loading...
Loading...