Skip to main content

FASTKD5 Antibody

Novus Biologicals, part of Bio-Techne | Catalog # NBP2-16435

Novus Biologicals, part of Bio-Techne
Catalog #
Availability
Size / Price
Qty
Loading...
NBP2-16435

Key Product Details

Species Reactivity

Human, Mouse

Applications

Immunohistochemistry, Immunohistochemistry-Paraffin, Western Blot

Label

Unconjugated

Antibody Source

Polyclonal Rabbit IgG

Concentration

Concentrations vary lot to lot. See vial label for concentration. If unlisted please contact technical services.

Product Specifications

Immunogen

Recombinant protein encompassing a sequence within the C-terminus region of human FASTKD5. The exact sequence is proprietary.

Clonality

Polyclonal

Host

Rabbit

Isotype

IgG

Theoretical MW

87 kDa.
Disclaimer note: The observed molecular weight of the protein may vary from the listed predicted molecular weight due to post translational modifications, post translation cleavages, relative charges, and other experimental factors.

Description

Novus Biologicals Rabbit FASTKD5 Antibody (NBP2-16435) is a polyclonal antibody validated for use in IHC and WB. All Novus Biologicals antibodies are covered by our 100% guarantee.

Scientific Data Images for FASTKD5 Antibody

Western Blot: FASTKD5 Antibody [NBP2-16435]

Western Blot: FASTKD5 Antibody [NBP2-16435]

Western Blot: FASTKD5 Antibody [NBP2-16435] - Whole cell extract (30 ug) was separated by 7.5% SDS-PAGE, and the membrane was blotted with FASTKD5 Antibody diluted at 1:1000. HRP-conjugated anti-rabbit IgG antibody was used to detect the primary antibody.
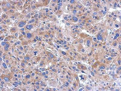
Immunohistochemistry-Paraffin: FASTKD5 Antibody [NBP2-16435]

Immunohistochemistry-Paraffin: FASTKD5 Antibody [NBP2-16435]

Immunohistochemistry-Paraffin: FASTKD5 Antibody [NBP2-16435] - Immunohistochemical analysis of paraffin-embedded Hepatoma, using antibody at 1:500 dilution.
Western Blot: FASTKD5 Antibody [NBP2-16435]

Western Blot: FASTKD5 Antibody [NBP2-16435]

Western Blot: FASTKD5 Antibody [NBP2-16435] - Sample (30 ug of whole cell lysate) A: A431 7. 5% SDS PAGE gel, diluted at 1:1000.

Applications for FASTKD5 Antibody

Application
Recommended Usage

Immunohistochemistry

10 - 1:500

Immunohistochemistry-Paraffin

1:100-1:1000

Western Blot

1:500-1:3000

Formulation, Preparation, and Storage

Purification

Antigen Affinity-purified

Formulation

PBS, 1% BSA, 20% Glycerol

Preservative

0.01% Thimerosal

Concentration

Concentrations vary lot to lot. See vial label for concentration. If unlisted please contact technical services.

Shipping

The product is shipped with polar packs. Upon receipt, store it immediately at the temperature recommended below.

Stability & Storage

Aliquot and store at -20C or -80C. Avoid freeze-thaw cycles.

Background: FASTKD5

The FASTKD5 gene encodes for a 764 amino acid long, 86 kDA FAST kinase domain-containing protein 5 that is known to interact with genes MLH1, NLRX1, UNC93B1, CCDC85B, and IRAK2. FASTKD5 has been researched to investigate its role to schizophrenia.

Alternate Names

dJ1187M17.5, FAST kinase domain-containing protein 5, FAST kinase domains 5, FLJ13149, FLJ58294, KIAA1792

Gene Symbol

FASTKD5

UniProt

Additional FASTKD5 Products

Product Documents for FASTKD5 Antibody

Certificate of Analysis

To download a Certificate of Analysis, please enter a lot number in the search box below.

Product Specific Notices for FASTKD5 Antibody

This product is for research use only and is not approved for use in humans or in clinical diagnosis. Primary Antibodies are guaranteed for 1 year from date of receipt.

Loading...
Loading...
Loading...
Loading...

⚠ WARNING: This product can expose you to chemicals including mercury, which is known to the State of California to cause reproductive toxicity with developmental effects.  For more information go to www.P65Warnings.ca.gov.