Skip to main content

Fascin Antibody - BSA Free

Novus Biologicals, part of Bio-Techne | Catalog # NBP3-03708

Novus Biologicals, part of Bio-Techne
Catalog #
Availability
Size / Price
Qty
Loading...
NBP3-03708-100ul
NBP3-03708-20ul

Key Product Details

Validated by

Knockout/Knockdown

Species Reactivity

Human, Mouse, Rat

Applications

Knockout Validated, Immunohistochemistry, Immunohistochemistry-Paraffin, Western Blot, Immunocytochemistry/ Immunofluorescence

Label

Unconjugated

Antibody Source

Polyclonal Rabbit IgG

Format

BSA Free

Concentration

Please see the vial label for concentration. If unlisted please contact technical services.

Product Specifications

Immunogen

Recombinant fusion protein containing a sequence corresponding to amino acids 394-493 of human Fascin (NP_003079.1). FIGCRKVTGTLDANRSSYDVFQLEFNDGAYNIKDSTGKYWTVGSDSAVTSSGDTPVDFFFEFCDYNKVAIKVGGRYLKGDHAGVLKASAETVDPASLWEY

Clonality

Polyclonal

Host

Rabbit

Isotype

IgG

Theoretical MW

54 kDa.
Disclaimer note: The observed molecular weight of the protein may vary from the listed predicted molecular weight due to post translational modifications, post translation cleavages, relative charges, and other experimental factors.

Description

Novus Biologicals Knockout (KO) Validated Rabbit Fascin Antibody - BSA Free (NBP3-03708) is a polyclonal antibody validated for use in IHC, WB and ICC/IF. All Novus Biologicals antibodies are covered by our 100% guarantee.

Scientific Data Images for Fascin Antibody - BSA Free

Western Blot: Fascin AntibodyBSA Free [NBP3-03708]

Western Blot: Fascin AntibodyBSA Free [NBP3-03708]

Western Blot: Fascin Antibody [NBP3-03708] - Analysis of extracts of various cell lines, using Fascin antibody at 1:1000 dilution. Secondary antibody: HRP Goat Anti-Rabbit IgG (H+L) at 1:10000 dilution. Lysates/proteins: 25ug per lane. Blocking buffer: 3% nonfat dry milk in TBST. Detection: ECL Basic Kit.
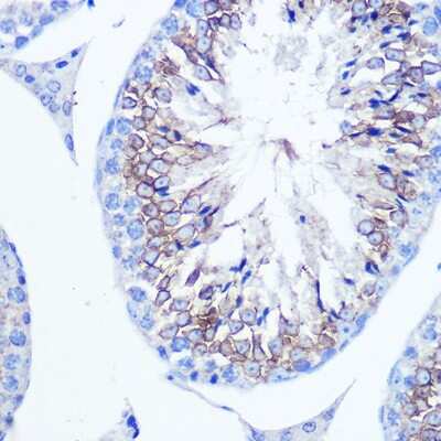
Immunohistochemistry-Paraffin: Fascin Antibody - BSA Free [NBP3-03708]

Immunohistochemistry-Paraffin: Fascin Antibody - BSA Free [NBP3-03708]

Immunohistochemistry-Paraffin: Fascin Antibody [NBP3-03708] - Immunohistochemistry of paraffin-embedded mouse testis using [KO Validated] Fascin/Fascin Rabbit pAb (NBP3-03708) at dilution of 1:100 (40x lens). Perform microwave antigen retrieval with 10 mM PBS buffer pH 7.2 before commencing with IHC staining protocol.
Western Blot: Fascin Antibody - BSA Free [NBP3-03708]

Western Blot: Fascin Antibody - BSA Free [NBP3-03708]

Western Blot: Fascin Antibody [NBP3-03708] - Analysis of extracts from normal (control) and FSCN1 knockout (KO) HeLa cells, using Fascin antibody at 1:1000 dilution. Secondary antibody: HRP Goat Anti-Rabbit IgG (H+L) at 1:10000 dilution. Lysates/proteins: 25ug per lane. Blocking buffer: 3% nonfat dry milk in TBST.

Applications for Fascin Antibody - BSA Free

Application
Recommended Usage

Immunocytochemistry/ Immunofluorescence

1:50 - 1:200

Immunohistochemistry

1:50-1:200

Western Blot

1:500-1:2000

Formulation, Preparation, and Storage

Purification

Affinity purified

Formulation

PBS (pH 7.3), 50% glycerol

Format

BSA Free

Preservative

0.02% Sodium Azide

Concentration

Please see the vial label for concentration. If unlisted please contact technical services.

Shipping

The product is shipped with polar packs. Upon receipt, store it immediately at the temperature recommended below.

Stability & Storage

Store at -20C. Avoid freeze-thaw cycles.

Background: Fascin

Organizes filamentous actin into bundles with a minimum of 4.1:1 actin/fascin ratio. Probably involved in the assembly of actin filament bundles present in microspikes, membrane ruffles, and stress fibers

Alternate Names

FAN1, FSCN1, HSN, Singed-like Protein, SNL

Gene Symbol

FSCN1

Additional Fascin Products

Product Documents for Fascin Antibody - BSA Free

Certificate of Analysis

To download a Certificate of Analysis, please enter a lot number in the search box below.

Product Specific Notices for Fascin Antibody - BSA Free

This product is for research use only and is not approved for use in humans or in clinical diagnosis. Primary Antibodies are guaranteed for 1 year from date of receipt.

Loading...
Loading...
Loading...
Loading...