Skip to main content

Fascin Antibody (OTI3B4)

Novus Biologicals, part of Bio-Techne | Catalog # NBP2-45737

Novus Biologicals, part of Bio-Techne
Catalog #
Availability
Size / Price
Qty
Loading...
NBP2-45737

Key Product Details

Species Reactivity

Human, Mouse, Rat

Applications

Immunohistochemistry, Immunohistochemistry-Paraffin, Western Blot

Label

Unconjugated

Antibody Source

Monoclonal Mouse IgG1 Clone # OTI3B4

Concentration

1 mg/ml

Product Specifications

Immunogen

Full length human recombinant protein of human FSCN1 (NP_003079) produced in HEK293T cell.

Reactivity Notes

Please note that this antibody is reactive to Mouse and derived from the same host, Mouse. Mouse-On-Mouse blocking reagent may be needed for IHC and ICC experiments to reduce high background signal. You can find these reagents under catalog numbers PK-2200-NB and MP-2400-NB. Please contact Technical Support if you have any questions.

Clonality

Monoclonal

Host

Mouse

Isotype

IgG1

Theoretical MW

54.3 kDa.
Disclaimer note: The observed molecular weight of the protein may vary from the listed predicted molecular weight due to post translational modifications, post translation cleavages, relative charges, and other experimental factors.

Description

Novus Biologicals Mouse Fascin Antibody (OTI3B4) (NBP2-45737) is a monoclonal antibody validated for use in IHC and WB. All Novus Biologicals antibodies are covered by our 100% guarantee.

Scientific Data Images for Fascin Antibody (OTI3B4)

Western Blot: Fascin Antibody (OTI3B4) [NBP2-45737]

Western Blot: Fascin Antibody (OTI3B4) [NBP2-45737]

Western Blot: Fascin Antibody (3B4) [NBP2-45737] - Analysis of HEK293T cells were transfected with the pCMV6-ENTRY control (Left lane) or pCMV6-ENTRY Fascin.
Immunohistochemistry: Fascin Antibody (OTI3B4) [NBP2-45737]

Immunohistochemistry: Fascin Antibody (OTI3B4) [NBP2-45737]

Immunohistochemistry: Fascin Antibody (3B4) [NBP2-45737] - Analysis of Human thyroid tissue. (Heat-induced epitope retrieval by Tris-EDTA, pH8.0)
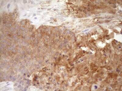
Immunohistochemistry: Fascin Antibody (OTI3B4) [NBP2-45737]

Immunohistochemistry: Fascin Antibody (OTI3B4) [NBP2-45737]

Immunohistochemistry: Fascin Antibody (3B4) [NBP2-45737] - Analysis of Adenocarcinoma of Human colon tissue. (Heat-induced epitope retrieval by Tris-EDTA, pH8.0)(1:150)

Applications for Fascin Antibody (OTI3B4)

Application
Recommended Usage

Immunohistochemistry

1:150

Western Blot

1:500

Formulation, Preparation, and Storage

Purification

Immunogen affinity purified

Formulation

PBS (pH 7.3), 1.0% BSA and 50% Glycerol

Preservative

0.02% Sodium Azide

Concentration

1 mg/ml

Shipping

The product is shipped with polar packs. Upon receipt, store it immediately at the temperature recommended below.

Stability & Storage

Store at -20C. Avoid freeze-thaw cycles.

Background: Fascin

Organizes filamentous actin into bundles with a minimum of 4.1:1 actin/fascin ratio. Probably involved in the assembly of actin filament bundles present in microspikes, membrane ruffles, and stress fibers

Alternate Names

FAN1, FSCN1, HSN, Singed-like Protein, SNL

Gene Symbol

FSCN1

Additional Fascin Products

Product Documents for Fascin Antibody (OTI3B4)

Certificate of Analysis

To download a Certificate of Analysis, please enter a lot number in the search box below.

Product Specific Notices for Fascin Antibody (OTI3B4)

This product is for research use only and is not approved for use in humans or in clinical diagnosis. Primary Antibodies are guaranteed for 1 year from date of receipt.

Loading...
Loading...
Loading...
Loading...