Skip to main content

FAM3C Antibody - BSA Free

Novus Biologicals, part of Bio-Techne | Catalog # NBP2-24464

Novus Biologicals, part of Bio-Techne

Key Product Details

Species Reactivity

Validated:

Human, Mouse, Rat

Predicted:

Bovine (100%), Canine (100%), Chicken (100%), Opossum (90%), Primate (92%). Backed by our 100% Guarantee.

Applications

Immunohistochemistry, Immunohistochemistry-Paraffin, Simple Western, Western Blot

Label

Unconjugated

Antibody Source

Polyclonal Rabbit IgG

Format

BSA Free

Concentration

1.0 mg/ml

Product Specifications

Immunogen

A portion of amino acids 40-80 of human FAM3C was used as the immunogen for this antibody.

Reactivity Notes

Pufferfish (88%).

Clonality

Polyclonal

Host

Rabbit

Isotype

IgG

Description

Novus Biologicals Rabbit FAM3C Antibody - BSA Free (NBP2-24464) is a polyclonal antibody validated for use in IHC, WB and Simple Western. All Novus Biologicals antibodies are covered by our 100% guarantee.

Scientific Data Images for FAM3C Antibody - BSA Free

Western Blot: FAM3C Antibody [NBP2-24464]

Western Blot: FAM3C Antibody [NBP2-24464]

Western Blot: FAM3C Antibody [NBP2-24464] - Total protein from human testis tissue and mouse testis tissue was separated on a 12% gel by SDS-PAGE, transferred to PVDF membrane and blocked in 5% non-fat milk in TBST. The membrane was probed with 2.0 ug/ml anti-FAM3C in 5% block buffer and detected with an anti-rabbit HRP secondary antibody using chemiluminescence.
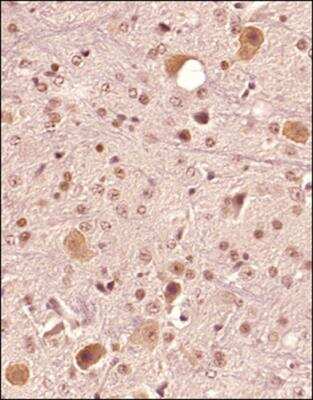
Immunohistochemistry-Paraffin: FAM3C Antibody [NBP2-24464]

Immunohistochemistry-Paraffin: FAM3C Antibody [NBP2-24464]

Immunohistochemistry-Paraffin: FAM3C Antibody [NBP2-24464] - Analysis of tissue section of mouse brain using FAM3C antibody at 1:1300 dilution. The primary antibody bound to FAM3C protein in the tissue section was detected using a HRP labeled secondary antibody and DAB reagent. Nuclei of the cells were counterstained with hematoxylin. This FAM3C antibody generated a diffused cytoplasmic staining in the glial cells as well as in the neuronal cells. The signal was more intense in neurons with some level of puncta formation which signifies the presence of FAM3C in the cytoplasmic vesicles.
Western Blot: FAM3C Antibody [NBP2-24464]

Western Blot: FAM3C Antibody [NBP2-24464]

Western Blot: FAM3C Antibody [NBP2-24464] - Analysis of FAM3C in human brain lysate (0.5 ug/ml) 1) absence, 2) presence of immunizing peptide, 3) mouse brain lysate (0.5 ug/ml), and 4) in rat brain lysate (0.5 ug/ml) using FAM3C antibody.

Applications for FAM3C Antibody - BSA Free

Application
Recommended Usage

Immunohistochemistry

1:200

Immunohistochemistry-Paraffin

1:200

Simple Western

1:20

Western Blot

0.5-3 ug/ml
Application Notes
In Simple Western only 10 - 15 uL of the recommended dilution is used per data point.
See Simple Western Antibody Database for Simple Western validation: Tested in Human Brain lysate 0.5 mg/mL, separated by Size, antibody dilution of 1:10, apparent MW was 27 kDa.

Formulation, Preparation, and Storage

Purification

Immunogen affinity purified

Formulation

PBS

Format

BSA Free

Preservative

0.02% Sodium Azide

Concentration

1.0 mg/ml

Shipping

The product is shipped with polar packs. Upon receipt, store it immediately at the temperature recommended below.

Stability & Storage

Store at -20C. Avoid freeze-thaw cycles.

Background: FAM3C

FAM3C is a member of the family with sequence similarity 3 (FAM3) family and encodes a secreted protein with a GG domain. A change in expression of this protein has been noted in pancreatic cancer-derived cells. Alternate transcriptional splice variants which encode the same protein have been characterized. [provided by RefSeq]

Long Name

Family With Sequence Similarity 3, Member C

Alternate Names

D6WSU176e, ILEI

Gene Symbol

FAM3C

UniProt

Additional FAM3C Products

Product Documents for FAM3C Antibody - BSA Free

Certificate of Analysis

To download a Certificate of Analysis, please enter a lot number in the search box below.

Product Specific Notices for FAM3C Antibody - BSA Free

This product is for research use only and is not approved for use in humans or in clinical diagnosis. Primary Antibodies are guaranteed for 1 year from date of receipt.

Loading...
Loading...
Loading...
Loading...