Skip to main content

FAM189A2 Antibody - BSA Free

Novus Biologicals, part of Bio-Techne | Catalog # NBP1-86698

Novus Biologicals, part of Bio-Techne
Catalog #
Availability
Size / Price
Qty
Loading...
NBP1-86698
NBP1-86698-25ul

Key Product Details

Species Reactivity

Validated:

Human

Predicted:

Mouse (93%), Rat (91%). Backed by our 100% Guarantee.

Applications

Immunohistochemistry, Immunohistochemistry-Paraffin, Western Blot

Label

Unconjugated

Antibody Source

Polyclonal Rabbit IgG

Format

BSA Free

Concentration

Concentrations vary lot to lot. See vial label for concentration. If unlisted please contact technical services.

Product Specifications

Immunogen

This antibody was developed against Recombinant Protein corresponding to amino acids: PVLSCEAATQTERRLDLAAVTLRRGLRSRASRCRPRSLIDYKSYMDTKLLVARFLEQSSCTMTPDIHELVENIKSVLKSDEEHMEEAITSASFL

Clonality

Polyclonal

Host

Rabbit

Isotype

IgG

Description

Novus Biologicals Rabbit FAM189A2 Antibody - BSA Free (NBP1-86698) is a polyclonal antibody validated for use in IHC and WB. All Novus Biologicals antibodies are covered by our 100% guarantee.

Scientific Data Images for FAM189A2 Antibody - BSA Free

FAM189A2 Antibody

Immunohistochemistry-Paraffin: FAM189A2 Antibody [NBP1-86698] -

Immunohistochemistry-Paraffin: FAM189A2 Antibody [NBP1-86698] -Staining of human skeletal muscle shows moderate cytoplasmic positivity in myocytes.
FAM189A2 Antibody

Immunohistochemistry-Paraffin: FAM189A2 Antibody [NBP1-86698] -

Immunohistochemistry-Paraffin: FAM189A2 Antibody [NBP1-86698] -Staining of human cerebellum shows strong cytoplasmic positivity in Purkinje cells as well as staining in the molecular layer.
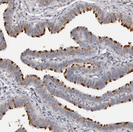
FAM189A2 Antibody

Immunohistochemistry-Paraffin: FAM189A2 Antibody [NBP1-86698] -

Immunohistochemistry-Paraffin: FAM189A2 Antibody [NBP1-86698] -Staining of human fallopian tube shows strong positivity in glandular cells.

Applications for FAM189A2 Antibody - BSA Free

Application
Recommended Usage

Immunohistochemistry

1:200 - 1:500

Immunohistochemistry-Paraffin

1:200 - 1:500

Western Blot

0.04-0.4 ug/ml
Application Notes
For IHC-Paraffin, HIER pH 6 retrieval is recommended.

Formulation, Preparation, and Storage

Purification

Immunogen affinity purified

Formulation

PBS (pH 7.2) and 40% Glycerol

Format

BSA Free

Preservative

0.02% Sodium Azide

Concentration

Concentrations vary lot to lot. See vial label for concentration. If unlisted please contact technical services.

Shipping

The product is shipped with polar packs. Upon receipt, store it immediately at the temperature recommended below.

Stability & Storage

Store at 4C short term. Aliquot and store at -20C long term. Avoid freeze-thaw cycles.

Background: FAM189A2

Alternate Names

C9orf61, chromosome 9 open reading frame 61, family with sequence similarity 189, member A2, Friedreich ataxia region gene X123, MGC142243, MGC142245, Protein X123, X123RP11-548B3.1

Gene Symbol

FAM189A2

Additional FAM189A2 Products

Product Documents for FAM189A2 Antibody - BSA Free

Certificate of Analysis

To download a Certificate of Analysis, please enter a lot number in the search box below.

Product Specific Notices for FAM189A2 Antibody - BSA Free

This product is for research use only and is not approved for use in humans or in clinical diagnosis. Primary Antibodies are guaranteed for 1 year from date of receipt.

Loading...
Loading...
Loading...
Loading...