Skip to main content

FAM174B Antibody - BSA Free

Novus Biologicals, part of Bio-Techne | Catalog # NBP1-91565

Novus Biologicals, part of Bio-Techne
Catalog #
Availability
Size / Price
Qty
Loading...
NBP1-91565

Key Product Details

Species Reactivity

Human

Applications

Immunohistochemistry, Immunohistochemistry-Paraffin, Western Blot

Label

Unconjugated

Antibody Source

Polyclonal Rabbit IgG

Format

BSA Free

Concentration

1 mg/ml

Product Specifications

Immunogen

Synthetic peptide directed towards the C terminal of human LOC400451. Peptide sequence FTTLLIACLLLRVFRSGKRLKKTRKYDIITTPAERVEMAPLNEEDDEDED. The peptide sequence for this immunogen was taken from within the described region.

Clonality

Polyclonal

Host

Rabbit

Isotype

IgG

Description

The addition of 50% glycerol is optional for those storing this antibody at -20C and not aliquoting smaller units. However, please note that glycerol may interrupt some downstream antibody applications and should be added with caution.

Scientific Data Images for FAM174B Antibody - BSA Free

Western Blot: FAM174B Antibody [NBP1-91565]

Western Blot: FAM174B Antibody [NBP1-91565]

Western Blot: FAM174B Antibody [NBP1-91565] - Jurkat cell lysate, Antibody Titration: 1.25ug/ml
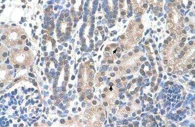
Immunohistochemistry-Paraffin: FAM174B Antibody [NBP1-91565]

Immunohistochemistry-Paraffin: FAM174B Antibody [NBP1-91565]

Immunohistochemistry-Paraffin: FAM174B Antibody [NBP1-91565] - Human kidney Tissue, antibody concentration 4-8ug/ml. Cells with positive label: renal corpuscle cells (indicated with arrows) 400X magnification.

Applications for FAM174B Antibody - BSA Free

Application
Recommended Usage

Immunohistochemistry

1:10-1:500

Immunohistochemistry-Paraffin

1:10-1:500

Western Blot

1.0 ug/ml

Formulation, Preparation, and Storage

Purification

Protein A purified

Formulation

PBS, 2% Sucrose

Format

BSA Free

Preservative

0.09% Sodium Azide

Concentration

1 mg/ml

Shipping

The product is shipped with polar packs. Upon receipt, store it immediately at the temperature recommended below.

Stability & Storage

Store at 4C short term. Aliquot and store at -20C long term. Avoid freeze-thaw cycles.

Background: FAM174B

Alternate Names

family with sequence similarity 174, member B

Gene Symbol

FAM174B

Additional FAM174B Products

Product Documents for FAM174B Antibody - BSA Free

Certificate of Analysis

To download a Certificate of Analysis, please enter a lot number in the search box below.

Product Specific Notices for FAM174B Antibody - BSA Free

This product is for research use only and is not approved for use in humans or in clinical diagnosis. Primary Antibodies are guaranteed for 1 year from date of receipt.

Loading...
Loading...
Loading...
Loading...