Skip to main content

FAK Antibody (OTI4D11) - Azide and BSA Free

Novus Biologicals, part of Bio-Techne | Catalog # NBP2-71268

Novus Biologicals, part of Bio-Techne

Key Product Details

Species Reactivity

Human, Mouse, Rat

Applications

Immunohistochemistry, Immunohistochemistry-Paraffin, Western Blot, Flow Cytometry, Immunocytochemistry/ Immunofluorescence

Label

Unconjugated

Antibody Source

Monoclonal Mouse IgG1 Clone # OTI4D11

Format

Azide and BSA Free

Concentration

LYOPH mg/ml

Product Specifications

Immunogen

Full length human recombinant protein of human PTK2(NP_722560) produced in HEK293T cell.

Reactivity Notes

Please note that this antibody is reactive to Mouse and derived from the same host, Mouse. Mouse-On-Mouse blocking reagent may be needed for IHC and ICC experiments to reduce high background signal. You can find these reagents under catalog numbers PK-2200-NB and MP-2400-NB. Please contact Technical Support if you have any questions.

Clonality

Monoclonal

Host

Mouse

Isotype

IgG1

Theoretical MW

119.1 kDa.
Disclaimer note: The observed molecular weight of the protein may vary from the listed predicted molecular weight due to post translational modifications, post translation cleavages, relative charges, and other experimental factors.

Description

Novus Biologicals Mouse FAK Antibody (OTI4D11) - Azide and BSA Free (NBP2-45923) is a monoclonal antibody validated for use in IHC, WB, Flow and ICC/IF. All Novus Biologicals antibodies are covered by our 100% guarantee.

Scientific Data Images for FAK Antibody (OTI4D11) - Azide and BSA Free

Western Blot: FAK Antibody (OTI4D11)Azide and BSA Free [NBP2-71268]

Western Blot: FAK Antibody (OTI4D11)Azide and BSA Free [NBP2-71268]

Western Blot: FAK Antibody (OTI4D11) - Azide and BSA Free [NBP2-71268] - Analysis of HEK293T cells were transfected with the pCMV6-ENTRY control (Left lane) or pCMV6-ENTRY FAK .
Immunocytochemistry/ Immunofluorescence: FAK Antibody (OTI4D11) - Azide and BSA Free [NBP2-71268]

Immunocytochemistry/ Immunofluorescence: FAK Antibody (OTI4D11) - Azide and BSA Free [NBP2-71268]

Immunocytochemistry/Immunofluorescence: FAK Antibody (OTI4D11) - Azide and BSA Free [NBP2-71268] - Analysis of COS7 cells transiently transfected by pCMV6-ENTRY FAK.
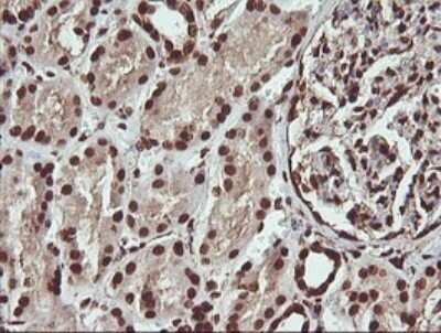
Immunohistochemistry: FAK Antibody (OTI4D11) - Azide and BSA Free [NBP2-71268]

Immunohistochemistry: FAK Antibody (OTI4D11) - Azide and BSA Free [NBP2-71268]

Immunohistochemistry: FAK Antibody (OTI4D11) - Azide and BSA Free [NBP2-71268] - Analysis of Human Kidney tissue. (Heat-induced epitope retrieval by 10mM citric buffer, pH6.0, 120C for 3min)

Applications for FAK Antibody (OTI4D11) - Azide and BSA Free

Application
Recommended Usage

Immunocytochemistry/ Immunofluorescence

1:100

Immunohistochemistry

1:150

Immunohistochemistry-Paraffin

1:150

Western Blot

1:4000

Formulation, Preparation, and Storage

Purification

Immunogen affinity purified

Reconstitution

we recommend adding 100uL distilled water to a final antibody concentration of about 1 mg/mL. To use this carrier-free antibody for conjugation experiment, we strongly recommend performing another round of desalting process.

Formulation

Lyophilized from PBS (pH 7.3) with 8% Trehalose

Format

Azide and BSA Free

Preservative

No Preservative

Concentration

LYOPH mg/ml

Shipping

The product is shipped with polar packs. Upon receipt, store it immediately at the temperature recommended below.

Stability & Storage

Store at -20C. Avoid freeze-thaw cycles.

Background: FAK

FAK (Focal Adhesion Kinase) is a non-receptor protein tyrosine kinase involved in signal transduction from integrin-enriched focal adhesion sites that mediate cell contact with the extracellular matrix. FAK-enhanced signals have been shown to mediate the survival of anchorage-dependent cells and are critical for efficient cell migration in response to growth factor receptor and integrin stimulation. Elevated expression of FAK in human tumors has been correlated with increased malignancy and invasiveness.

Long Name

Focal adhesion kinase 1

Alternate Names

FADK1, PTK2

Gene Symbol

PTK2

Additional FAK Products

Product Documents for FAK Antibody (OTI4D11) - Azide and BSA Free

Certificate of Analysis

To download a Certificate of Analysis, please enter a lot number in the search box below.

Product Specific Notices for FAK Antibody (OTI4D11) - Azide and BSA Free

This product is for research use only and is not approved for use in humans or in clinical diagnosis. Primary Antibodies are guaranteed for 1 year from date of receipt.

Loading...
Loading...
Loading...
Loading...
Loading...
Loading...