FAF1 Antibody - BSA Free
Novus Biologicals, part of Bio-Techne | Catalog # NBP1-76745
Conjugate
Catalog #
Key Product Details
Species Reactivity
Human, Mouse, Rat
Applications
Immunohistochemistry, Immunohistochemistry-Paraffin, Western Blot, ELISA, Immunocytochemistry/ Immunofluorescence
Label
Unconjugated
Antibody Source
Polyclonal Rabbit IgG
Format
BSA Free
Concentration
1 mg/ml
Product Specifications
Immunogen
Antibody was raised against a 19 amino acid synthetic peptide from near the carboxy terminus of human FAF1. The immunogen is located within the last 50 amino acids of FAF1. Amino Acid Squence: STFPRRDVTQLDPNKSLLE
Clonality
Polyclonal
Host
Rabbit
Isotype
IgG
Theoretical MW
80 kDa.
Disclaimer note: The observed molecular weight of the protein may vary from the listed predicted molecular weight due to post translational modifications, post translation cleavages, relative charges, and other experimental factors.
Disclaimer note: The observed molecular weight of the protein may vary from the listed predicted molecular weight due to post translational modifications, post translation cleavages, relative charges, and other experimental factors.
Description
Novus Biologicals Rabbit FAF1 Antibody - BSA Free (NBP1-76745) is a polyclonal antibody validated for use in IHC, WB, ELISA and ICC/IF. All Novus Biologicals antibodies are covered by our 100% guarantee.
Scientific Data Images for FAF1 Antibody - BSA Free
Western Blot: FAF1 AntibodyBSA Free [NBP1-76745]
Western Blot: FAF1 Antibody [NBP1-76745] - Analysis of FAF1 in THP-1 cell lysate with FAF1 antibody at (A) 1 and (B) 2 ug/mL.Immunohistochemistry: FAF1 Antibody - BSA Free [NBP1-76745] -
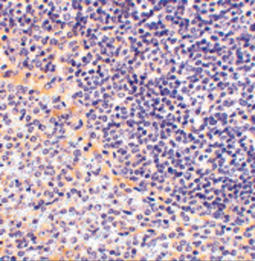
Immunohistochemistry: FAF1 Antibody - BSA Free [NBP1-76745] - Immunohistochemistry of FAF1 in rat spleen tissue with FAF1 antibody at 2.5 u/mL.Immunocytochemistry/ Immunofluorescence: FAF1 Antibody - BSA Free [NBP1-76745] -
Immunocytochemistry/ Immunofluorescence: FAF1 Antibody - BSA Free [NBP1-76745] - Immunofluorescence of FAF1 in rat spleen tissue with FAF1 antibody at 2 ug/mL.Applications for FAF1 Antibody - BSA Free
Application
Recommended Usage
ELISA
1:100-1:2000
Immunocytochemistry/ Immunofluorescence
20 ug/ml
Immunohistochemistry
2.5 ug/ml
Immunohistochemistry-Paraffin
2.5 ug/ml
Western Blot
1-2 ug/ml
Formulation, Preparation, and Storage
Purification
Peptide affinity purified
Formulation
PBS
Format
BSA Free
Preservative
0.02% Sodium Azide
Concentration
1 mg/ml
Shipping
The product is shipped with polar packs. Upon receipt, store it immediately at the temperature recommended below.
Stability & Storage
Store at 4C short term. Aliquot and store at -20C long term. Avoid freeze-thaw cycles.
Background: FAF1
Alternate Names
CGI-03, Fas (TNFRSF6) associated factor 1, HFAF1s, TNFRSF6-associated factor 1, UBX domain protein 3A, UBX domain-containing protein 12, UBX domain-containing protein 3A, UBXD12FLJ37524, UBXN3AhFAF1FAS-associated factor 1
Gene Symbol
FAF1
UniProt
Additional FAF1 Products
Product Documents for FAF1 Antibody - BSA Free
Product Specific Notices for FAF1 Antibody - BSA Free
This product is for research use only and is not approved for use in humans or in clinical diagnosis. Primary Antibodies are guaranteed for 1 year from date of receipt.
Loading...
Loading...
Loading...
Loading...