Skip to main content

FAF1 Antibody

Novus Biologicals, part of Bio-Techne | Catalog # NBP1-47276

Novus Biologicals, part of Bio-Techne
Catalog #
Availability
Size / Price
Qty
Loading...
NBP1-47276

Key Product Details

Validated by

Independent Antibodies, Biological Validation

Species Reactivity

Human, Mouse

Applications

Immunohistochemistry, Western Blot, Immunoprecipitation

Label

Unconjugated

Antibody Source

Polyclonal Rabbit IgG

Concentration

0.2 mg/ml

Product Specifications

Immunogen

The immunogen for this product maps to a region between residue 25 and 75 of human Fas (TNFRSF6) Associated Factor 1 using the numbering given in entry NP_008982.1 (GeneID 11124).

Clonality

Polyclonal

Host

Rabbit

Isotype

IgG

Scientific Data Images for FAF1 Antibody

Western Blot: FAF1 Antibody [NBP1-47276]

Western Blot: FAF1 Antibody [NBP1-47276]

Western Blot: FAF1 Antibody [NBP1-47276] - Samples: Whole cell lysate from HeLa (5, 15 and 50 ug for WB; 1 mg for IP, 20% of IP loaded), 293T (T; 50 ug), and mouse NIH3T3 (M; 50 ug) cells. Antibodies: Affinity purified rabbit anti-FAF1 antibody NBP1-47276 used for WB at 0.04 ug/ml (A) and 1 ug/ml (B) and used for IP at 3 ug/mg lysate. FAF1 was also immunoprecipitated by rabbit anti-FAF1 antibody NBP1-47277, which recognizes a downstream epitope. Detection: Chemiluminescence with exposure times of 30 seconds (A) and 10 seconds (B).
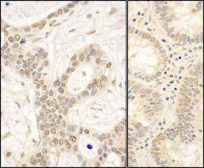
Immunohistochemistry: FAF1 Antibody [NBP1-47276]

Immunohistochemistry: FAF1 Antibody [NBP1-47276]

Immunohistochemistry: FAF1 Antibody [NBP1-47276] - Sample: FFPE section of human ovarian carcinoma (left) and human colon carcinoma (right). Antibody: Affinity purified rabbit anti- FAF1 used at a dilution of 1:200 (1ug/ml). Detection: DAB

Applications for FAF1 Antibody

Application
Recommended Usage

Immunoprecipitation

2-5 ug/mg lysate

Western Blot

1:2000-1:10000

Formulation, Preparation, and Storage

Purification

Immunogen affinity purified

Formulation

TBS and 0.1% BSA

Preservative

0.09% Sodium Azide

Concentration

0.2 mg/ml

Shipping

The product is shipped with polar packs. Upon receipt, store it immediately at the temperature recommended below.

Stability & Storage

Store at 4C. Do not freeze.

Background: FAF1

Interaction of Fas ligand (TNFSF6) with the FAS antigen (TNFRSF6) mediates programmed cell death, also called apoptosis, in a number of organ systems. The protein encoded by this gene binds to FAS antigen and can initiate apoptosis or enhance apoptosis initiated through FAS antigen. Initiation of apoptosis by the protein encoded by this gene requires a ubiquitin-like domain but not the FAS-binding domain. [provided by RefSeq]

Alternate Names

CGI-03, Fas (TNFRSF6) associated factor 1, HFAF1s, TNFRSF6-associated factor 1, UBX domain protein 3A, UBX domain-containing protein 12, UBX domain-containing protein 3A, UBXD12FLJ37524, UBXN3AhFAF1FAS-associated factor 1

Entrez Gene IDs

11124 (Human)

Gene Symbol

FAF1

Additional FAF1 Products

Product Documents for FAF1 Antibody

Certificate of Analysis

To download a Certificate of Analysis, please enter a lot number in the search box below.

Product Specific Notices for FAF1 Antibody

This product is for research use only and is not approved for use in humans or in clinical diagnosis. Primary Antibodies are guaranteed for 1 year from date of receipt.

Loading...
Loading...
Loading...
Loading...