Skip to main content

FAF1 Antibody (CPTC-FAF1-2) - Azide and BSA Free

Novus Biologicals, part of Bio-Techne | Catalog # NBP3-08227

Novus Biologicals, part of Bio-Techne

Key Product Details

Species Reactivity

Human

Applications

Immunohistochemistry-Paraffin, Western Blot, Protein Array

Label

Unconjugated

Antibody Source

Monoclonal Mouse IgG2b Kappa Clone # CPTC-FAF1-2

Format

Azide and BSA Free

Concentration

1 mg/ml

Product Specifications

Immunogen

Recombinant human full-length FAF1 protein (Uniprot: Q9UNN5)

Localization

Nucleus.

Clonality

Monoclonal

Host

Mouse

Isotype

IgG2b Kappa

Description

1.0 mg/ml of antibody purified from Bioreactor Concentrate by Protein A/G. Prepared in 10mM PBS WITHOUT BSA & azide. Also available at 200 ug/ml WITH BSA & azide (NBP3-07506).

Antibody with azide - store at 2 to 8C. Antibody without azide - store at -20 to -80C.

Scientific Data Images for FAF1 Antibody (CPTC-FAF1-2) - Azide and BSA Free

Western Blot: FAF1 Antibody (CPTC-FAF1-2)Azide and BSA Free [NBP3-08227]

Western Blot: FAF1 Antibody (CPTC-FAF1-2)Azide and BSA Free [NBP3-08227]

Western Blot: FAF1 Antibody (CPTC-FAF1-2) [NBP3-08227] - Western Blot Analysis of HEK293, HeLa, MCF-7 cell lysates using FAF1 Mouse Monoclonal Antibody (CPTC-FAF1-2).
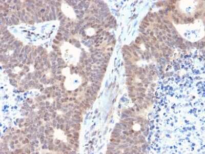
Immunohistochemistry-Paraffin: FAF1 Antibody (CPTC-FAF1-2) - Azide and BSA Free [NBP3-08227]

Immunohistochemistry-Paraffin: FAF1 Antibody (CPTC-FAF1-2) - Azide and BSA Free [NBP3-08227]

Immunohistochemistry-Paraffin: FAF1 Antibody (CPTC-FAF1-2) [NBP3-08227] - Formalin-fixed, paraffin-embedded human Colon Carcinoma stained with FAF1 Mouse Monoclonal Antibody (CPTC-FAF1-2).
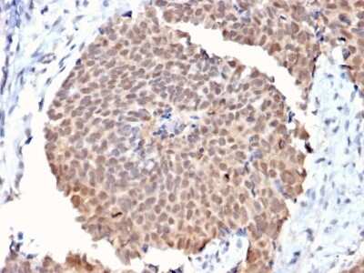
Immunohistochemistry-Paraffin: FAF1 Antibody (CPTC-FAF1-2) - Azide and BSA Free [NBP3-08227]

Immunohistochemistry-Paraffin: FAF1 Antibody (CPTC-FAF1-2) - Azide and BSA Free [NBP3-08227]

Immunohistochemistry-Paraffin: FAF1 Antibody (CPTC-FAF1-2) [NBP3-08227] - Formalin-fixed, paraffin-embedded human Breast Cancer stained with FAF1 Mouse Monoclonal Antibody (CPTC-FAF1-2).

Applications for FAF1 Antibody (CPTC-FAF1-2) - Azide and BSA Free

Application
Recommended Usage

Immunohistochemistry-Paraffin

1-2 ug/ml

Western Blot

1-2 ug/ml
Application Notes
Immunohistochemistry Formalin-fixed: 1-2ug/ml for 30 minutes at RT. Staining of formalin-fixed tissues requires heating tissue sections in 10mM Tris with 1mM EDTA, pH 9.0, for 45 min at 95C followed by cooling at RT for 20 minutes.

Formulation, Preparation, and Storage

Purification

Protein A or G purified

Formulation

10 mM PBS

Format

Azide and BSA Free

Preservative

No Preservative

Concentration

1 mg/ml

Shipping

The product is shipped with polar packs. Upon receipt, store it immediately at the temperature recommended below.

Stability & Storage

Store at -20 to -80C. Avoid freeze-thaw cycles.

Background: FAF1

Interaction of Fas ligand (TNFSF6) with the FAS antigen (TNFRSF6) mediates programmed cell death, also called apoptosis, in a number of organ systems. The protein encoded by this gene binds to FAS antigen and can initiate apoptosis or enhance apoptosis initiated through FAS antigen. Initiation of apoptosis by the protein encoded by this gene requires a ubiquitin-like domain but not the FAS-binding domain. [provided by RefSeq]

Alternate Names

CGI-03, Fas (TNFRSF6) associated factor 1, HFAF1s, TNFRSF6-associated factor 1, UBX domain protein 3A, UBX domain-containing protein 12, UBX domain-containing protein 3A, UBXD12FLJ37524, UBXN3AhFAF1FAS-associated factor 1

Gene Symbol

FAF1

Additional FAF1 Products

Product Documents for FAF1 Antibody (CPTC-FAF1-2) - Azide and BSA Free

Certificate of Analysis

To download a Certificate of Analysis, please enter a lot number in the search box below.

Product Specific Notices for FAF1 Antibody (CPTC-FAF1-2) - Azide and BSA Free

This product is for research use only and is not approved for use in humans or in clinical diagnosis. Primary Antibodies are guaranteed for 1 year from date of receipt.

Loading...
Loading...
Loading...
Loading...