Skip to main content

FADD Antibody (J1D2) - BSA Free

Novus Biologicals, part of Bio-Techne | Catalog # NBP1-04288

Novus Biologicals, part of Bio-Techne

Key Product Details

Species Reactivity

Human

Applications

Immunohistochemistry, Immunohistochemistry-Paraffin, Western Blot, ELISA, Immunocytochemistry/ Immunofluorescence

Label

Unconjugated

Antibody Source

Monoclonal Mouse IgG2b Kappa Clone # J1D2

Format

BSA Free

Concentration

1.0 mg/ml

Product Specifications

Immunogen

Recombinant human FADD (1-208aa) purified from E. coli

Clonality

Monoclonal

Host

Mouse

Isotype

IgG2b Kappa

Description

Novus Biologicals Mouse FADD Antibody (J1D2) - BSA Free (NBP1-04288) is a monoclonal antibody validated for use in IHC, WB, ELISA and ICC/IF. All Novus Biologicals antibodies are covered by our 100% guarantee.

Scientific Data Images for FADD Antibody (J1D2) - BSA Free

Western Blot: FADD Antibody (J1D2)BSA Free [NBP1-04288]

Western Blot: FADD Antibody (J1D2)BSA Free [NBP1-04288]

Western Blot: FADD Antibody (J1D2) [NBP1-04288] - Cell lysates of Jurkat (30ug) were resolved by SDS-PAGE, transferred to NC membrane and probed with anti-human FADD (1:500). Proteins were visualized using a goat anti-mouse secondary antibody conjugated to HRP and an ECL detection system.
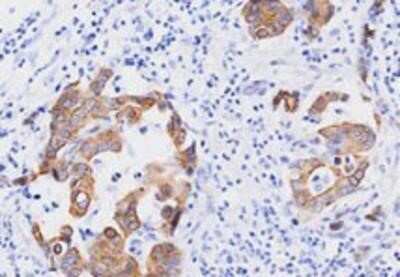
Immunohistochemistry-Paraffin: FADD Antibody (J1D2) - BSA Free [NBP1-04288]

Immunohistochemistry-Paraffin: FADD Antibody (J1D2) - BSA Free [NBP1-04288]

Immunohistochemistry-Paraffin: FADD Antibody (J1D2) [NBP1-04288] - Paraffin embedded sections of human breast cancer tissue were incubated with anti-human FADD (1:50) for 2 hours at room temperature. Antigen retrieval was performed in 0.1M sodium citrate buffer and detected using Diaminobenzidine (DAB).

Applications for FADD Antibody (J1D2) - BSA Free

Application
Recommended Usage

ELISA

1:100-1:2000

Immunohistochemistry

1:10-1:500

Immunohistochemistry-Paraffin

1:50

Western Blot

1:1000

Formulation, Preparation, and Storage

Purification

Protein G purified

Formulation

PBS (pH 7.4), 10% Glycerol

Format

BSA Free

Preservative

0.02% Sodium Azide

Concentration

1.0 mg/ml

Shipping

The product is shipped with polar packs. Upon receipt, store it immediately at the temperature recommended below.

Stability & Storage

Store at 4C short term. Aliquot and store at -20C long term. Avoid freeze-thaw cycles.

Background: FADD

FADD (Fas-associated protein with death domain) is an adaptor molecule that interacts with various cell surface receptors and mediates cell apoptotic signals. This protein is implicated in survival/proliferation and cell cycle progression. FADD functions are also regulated via cellular sublocalization, protein phosphorylation, and inhibitory molecules.

Long Name

Fas-associated Death Domain Protein

Alternate Names

MORT1

Gene Symbol

FADD

Additional FADD Products

Product Documents for FADD Antibody (J1D2) - BSA Free

Certificate of Analysis

To download a Certificate of Analysis, please enter a lot number in the search box below.

Product Specific Notices for FADD Antibody (J1D2) - BSA Free

This product is for research use only and is not approved for use in humans or in clinical diagnosis. Primary Antibodies are guaranteed for 1 year from date of receipt.

Loading...
Loading...
Loading...
Loading...