Skip to main content

FADD Antibody (10L6M0)

Novus Biologicals, part of Bio-Techne | Catalog # NBP3-15951

Recombinant Monoclonal Antibody
Novus Biologicals, part of Bio-Techne
Catalog #
Availability
Size / Price
Qty
Loading...
NBP3-15951-100ul
NBP3-15951-20ul

Key Product Details

Species Reactivity

Human, Mouse, Rat

Applications

Immunohistochemistry, Immunohistochemistry-Paraffin, Western Blot

Label

Unconjugated

Antibody Source

Recombinant Monoclonal Rabbit IgG Clone # 10L6M0 expressed in HEK293

Concentration

Please see the vial label for concentration. If unlisted please contact technical services.

Product Specifications

Immunogen

Recombinant fusion protein containing a sequence corresponding to amino acids 1-205 of mouse FADD (NP_034305.1). MDPFLVLLHSLSGSLSGNDLMELKFLCRERVSKRKLERVQSGLDLFTVLLEQNDLERGHTGLLRELLASLRRHDLLQRLDDFEAGTATAAPPGEADLQVAFDIVCDNVGRDWKRLARELKVSEAKMDGIEEKYPRSLSERVRESLKVWKNAEKKNASVAGLVKALRTCRLNLVADLVEEAQESVSKSENMSPVLRDSTVSSSETP

Clonality

Monoclonal

Host

Rabbit

Isotype

IgG

Description

Novus Biologicals Rabbit FADD Antibody (10L6M0) (NBP3-15951) is a recombinant monoclonal antibody validated for use in IHC and WB. All Novus Biologicals antibodies are covered by our 100% guarantee.

Scientific Data Images for FADD Antibody (10L6M0)

FADD Antibody (10L6M0)

Western Blot: FADD Antibody (10L6M0) [FADD] -

Western Blot: FADD Antibody (10L6M0) [FADD] - Western blot analysis of various lysates using FADD Rabbit mAb at 1:1000 dilution.
Secondary antibody: HRP Goat Anti-Rabbit IgG (H+L) at 1:10000 dilution.
Lysates/proteins: 25ug per lane.
Blocking buffer: 3% nonfat dry milk in TBST.
Detection: ECL Enhanced Kit .
Exposure time: 180s.
FADD Antibody (10L6M0)

Immunohistochemistry: FADD Antibody (10L6M0) [FADD] -

Immunohistochemistry: FADD Antibody (10L6M0) [FADD] - Immunohistochemistry analysis of paraffin-embedded human lung using FADD Rabbit mAb at dilution of 1:100 (40x lens).Perform high pressure antigen retrieval with 10 mM citrate buffer pH 6.0 before commencing with IHC staining protocol.
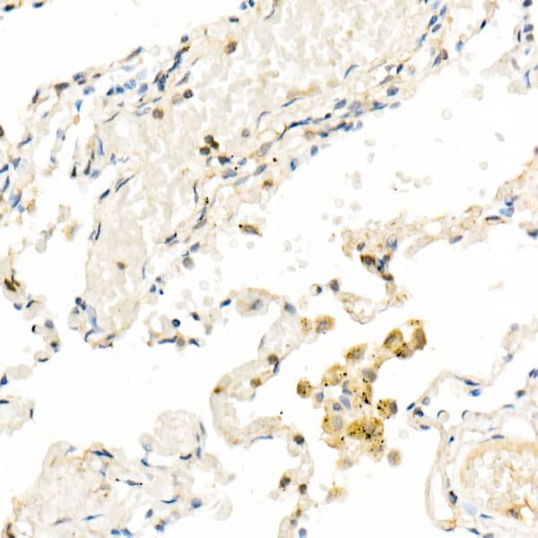
FADD Antibody (10L6M0)

Immunohistochemistry: FADD Antibody (10L6M0) [FADD] -

Immunohistochemistry: FADD Antibody (10L6M0) [FADD] - Immunohistochemistry analysis of paraffin-embedded rat lung using FADD Rabbit mAb at dilution of 1:100 (40x lens).Perform high pressure antigen retrieval with 10 mM citrate buffer pH 6.0 before commencing with IHC staining protocol.

Applications for FADD Antibody (10L6M0)

Application
Recommended Usage

Immunohistochemistry

1:50 - 1:200

Western Blot

1:500 - 1:1000

Formulation, Preparation, and Storage

Purification

Affinity purified

Formulation

PBS (pH 7.3), 50% glycerol, 0.05% BSA

Preservative

0.02% Sodium Azide

Concentration

Please see the vial label for concentration. If unlisted please contact technical services.

Shipping

The product is shipped with polar packs. Upon receipt, store it immediately at the temperature recommended below.

Stability & Storage

Store at -20C. Avoid freeze-thaw cycles.

Background: FADD

Fas-associating protein with death domain (FADD) is an adaptor protein involved in the apoptosis induced by Fas and TNF-R1, and mitogen induced cell proliferation (1). FADD consists of death domain (DD) at the C-terminal and death effector domain (DED) at the N-terminal (2). DD interacts with Fas and TNF-R1, which exposes the DED portion on the FADD. Unmasked DED binds to the DED of pro-caspase-8, which activates the cysteine protease cascade (3). The development of autoimmune lymphoproliferative (lpr) diseases has been linked to inactivation of Fas-FADD interaction (4). Also, the deficiency in FADD can inhibit TRAIL-induced cell apoptosis.

Long Name

Fas-associated Death Domain Protein

Alternate Names

MORT1

Gene Symbol

FADD

Additional FADD Products

Product Documents for FADD Antibody (10L6M0)

Certificate of Analysis

To download a Certificate of Analysis, please enter a lot number in the search box below.

Product Specific Notices for FADD Antibody (10L6M0)

This product is for research use only and is not approved for use in humans or in clinical diagnosis. Primary Antibodies are guaranteed for 1 year from date of receipt.

Loading...
Loading...
Loading...
Loading...