Skip to main content

FACL4 Antibody - BSA Free

Novus Biologicals, part of Bio-Techne | Catalog # NBP1-90258

Novus Biologicals, part of Bio-Techne
Catalog #
Availability
Size / Price
Qty
Loading...
NBP1-90258
NBP1-90258-25ul

Key Product Details

Species Reactivity

Validated:

Human

Predicted:

Mouse (91%), Rat (93%). Backed by our 100% Guarantee.

Applications

Immunohistochemistry, Immunohistochemistry-Paraffin, Western Blot

Label

Unconjugated

Antibody Source

Polyclonal Rabbit IgG

Format

BSA Free

Concentration

Concentrations vary lot to lot. See vial label for concentration. If unlisted please contact technical services.

Product Specifications

Immunogen

This antibody was developed against Recombinant Protein corresponding to amino acids: MNYLEVNRRVNNFGSGLTALGLKPKNTIAIFCETRAEWMIAAQTCFKYNFPLVTLYATLGKEAVVHGLNESEASYLITSVELLESKLKTALLDISCVKHIIYVDNKAINKAEYPEGFEIHSMQSVEELGSNPENLGIPPSRPTPSDMAIV

Clonality

Polyclonal

Host

Rabbit

Isotype

IgG

Scientific Data Images for FACL4 Antibody - BSA Free

FACL4 Antibody - BSA Free Immunohistochemistry: FACL4 Antibody - BSA Free [NBP1-90258]

Immunohistochemistry: FACL4 Antibody - BSA Free [NBP1-90258]

Staining of human skeletal muscle shows very weak cytoplasmic positivity in myocytes.
FACL4 Antibody - BSA Free Immunohistochemistry: FACL4 Antibody - BSA Free [NBP1-90258]

Immunohistochemistry: FACL4 Antibody - BSA Free [NBP1-90258]

Staining of human cerebral cortex shows moderate granular cytoplasmic positivity in neurons.
FACL4 Antibody - BSA Free Immunohistochemistry: FACL4 Antibody - BSA Free [NBP1-90258]

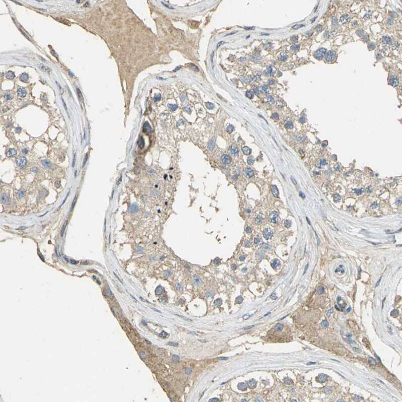
Immunohistochemistry: FACL4 Antibody - BSA Free [NBP1-90258]

Staining of human testis shows moderate cytoplasmic positivity in Leydig cells.

Applications for FACL4 Antibody - BSA Free

Application
Recommended Usage

Immunohistochemistry

1:50 - 1:200

Immunohistochemistry-Paraffin

1:50 - 1:200

Western Blot

0.04-0.4 ug/ml
Application Notes
For IHC-Paraffin, HIER pH 6 retrieval is recommended.

Formulation, Preparation, and Storage

Purification

Affinity purified

Formulation

PBS (pH 7.2) and 40% Glycerol

Format

BSA Free

Preservative

0.02% Sodium Azide

Concentration

Concentrations vary lot to lot. See vial label for concentration. If unlisted please contact technical services.

Shipping

The product is shipped with polar packs. Upon receipt, store it immediately at the temperature recommended below.

Stability & Storage

Store at 4C short term. Aliquot and store at -20C long term. Avoid freeze-thaw cycles.

Background: FACL4

The protein encoded by the FACL4 gene is an isozyme of the long-chain fatty-acid-coenzyme A ligase family. Althoughdiffering in substrate specificity, subcellular localization, and tissue distribution, all isozymes of this familyconvert free long-chain fatty acids into fatty acyl-CoA esters, and thereby play a key role in lipid biosynthesis andfatty acid degradation. This isozyme preferentially utilizes arachidonate as substrate. The absence of this enzyme maycontribute to the mental retardation or Alport syndrome. Alternative splicing of this gene generates 2 transcriptvariants. (provided by RefSeq)

Alternate Names

ACS4mental retardation, X-linked 68, acyl-CoA synthetase 4, acyl-CoA synthetase long-chain family member 4, EC 6.2.1.3, FACL4long-chain 4, LACS 4, LACS4MRX68, lignoceroyl-CoA synthase, Long-chain acyl-CoA synthetase 4, long-chain fatty-acid-Coenzyme A ligase 4, long-chain-fatty-acid--CoA ligase 4, mental retardation, X-linked 63, MRX63

Gene Symbol

ACSL4

Additional FACL4 Products

Product Documents for FACL4 Antibody - BSA Free

Certificate of Analysis

To download a Certificate of Analysis, please enter a lot number in the search box below.

Product Specific Notices for FACL4 Antibody - BSA Free

This product is for research use only and is not approved for use in humans or in clinical diagnosis. Primary Antibodies are guaranteed for 1 year from date of receipt.

Loading...
Loading...
Loading...
Loading...