Skip to main content

FABP5/E-FABP Antibody (FABP5/6353R)

Novus Biologicals, part of Bio-Techne | Catalog # NBP3-13882

Recombinant Monoclonal Antibody
Novus Biologicals, part of Bio-Techne

Key Product Details

Species Reactivity

Human

Applications

Immunohistochemistry-Paraffin, Western Blot, Immunocytochemistry/ Immunofluorescence

Label

Unconjugated

Antibody Source

Recombinant Monoclonal Rabbit IgG Clone # FABP5/6353R

Concentration

0.2 mg/ml

Product Specifications

Immunogen

Recombinant human full-length FABP5/E-FABP protein (Uniprot: Q01469)

Localization

Nuclear, Cytoplasmic

Marker

Marker of Metastatic Potential in Colorectal Cancer

Clonality

Monoclonal

Host

Rabbit

Isotype

IgG

Theoretical MW

15.4 kDa.
Disclaimer note: The observed molecular weight of the protein may vary from the listed predicted molecular weight due to post translational modifications, post translation cleavages, relative charges, and other experimental factors.

Description

200ug/ml of antibody purified from Bioreactor Concentrate by Protein A or G. Prepared in 10 mM PBS with 0.05% BSA & 0.05% azide. Also available WITHOUT BSA & azide at 1.0 mg/ml. (NBP3-14216)

Antibody with azide - store at 2 to 8C. Antibody without azide - store at -20 to -80 C.

Scientific Data Images for FABP5/E-FABP Antibody (FABP5/6353R)

Western Blot: FABP5/E-FABP Antibody (FABP5/6353R) [NBP3-13882]

Western Blot: FABP5/E-FABP Antibody (FABP5/6353R) [NBP3-13882]

Western Blot: FABP5/E-FABP Antibody (FABP5/6353R) [NBP3-13882] - Western blot analysis of Raji cell lysate using FABP5/E-FABP antibody (FABP5/6353R).
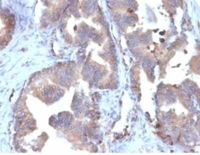
Immunohistochemistry-Paraffin: FABP5/E-FABP Antibody (FABP5/6353R) [NBP3-13882]

Immunohistochemistry-Paraffin: FABP5/E-FABP Antibody (FABP5/6353R) [NBP3-13882]

Immunohistochemistry-Paraffin: FABP5/E-FABP Antibody (FABP5/6353R) [NBP3-13882] - Formalin-fixed, paraffin-embedded human liver metastasized to colon stained with FABP5/E-FABP antibody (FABP5/6353R).
Western Blot: FABP5/E-FABP Antibody (FABP5/6353R) [NBP3-13882]

Western Blot: FABP5/E-FABP Antibody (FABP5/6353R) [NBP3-13882]

Western Blot: FABP5/E-FABP Antibody (FABP5/6353R) [NBP3-13882] - Western blot analysis of HeLa cell lysate using FABP5/E-FABP antibody (FABP5/6353R).

Applications for FABP5/E-FABP Antibody (FABP5/6353R)

Application
Recommended Usage

Immunocytochemistry/ Immunofluorescence

1-2 ug/ml

Immunohistochemistry-Paraffin

1-2 ug/ml

Western Blot

1-2 ug/ml
Application Notes
Immunohistochemistry (Formalin-fixed): 1-2ug/ml for 30 minutes at RT. Staining of formalin-fixed tissues requires heating tissue sections in 10mM Tris with 1mM EDTA, pH 9.0, for 45 min at 95C followed by cooling at RT for 20 minutes

Formulation, Preparation, and Storage

Purification

Protein A or G purified

Formulation

10 mM PBS with 0.05% BSA

Preservative

0.05% Sodium Azide

Concentration

0.2 mg/ml

Shipping

The product is shipped with polar packs. Upon receipt, store it immediately at the temperature recommended below.

Stability & Storage

Store at 4C.

Background: FABP5/E-FABP

Fatty Acid Binding Protein 5 encodes the fatty acid binding protein found in epidermal cells, and was first identified as being upregulated in psoriasis tissue. Fatty acid binding proteins are a family of small, highly conserved, cytoplasmic proteins that bind long-chain fatty acids and other hydrophobic ligands. It is thought that FABPs roles include fatty acid uptake, transport, and metabolism.

Long Name

Fatty Acid-Binding Protein 5

Alternate Names

E-FABP, EFABP

Gene Symbol

FABP5

UniProt

Additional FABP5/E-FABP Products

Product Documents for FABP5/E-FABP Antibody (FABP5/6353R)

Certificate of Analysis

To download a Certificate of Analysis, please enter a lot number in the search box below.

Product Specific Notices for FABP5/E-FABP Antibody (FABP5/6353R)

This product is for research use only and is not approved for use in humans or in clinical diagnosis. Primary Antibodies are guaranteed for 1 year from date of receipt.

Loading...
Loading...
Loading...
Loading...