FABP4/A-FABP Antibody (JM10-99)
Novus Biologicals, part of Bio-Techne | Catalog # NBP2-66828
Recombinant Monoclonal Antibody.
Key Product Details
Species Reactivity
Human, Mouse, Rat
Applications
Immunocytochemistry/ Immunofluorescence, Immunohistochemistry, Immunohistochemistry-Paraffin, Western Blot
Label
Unconjugated
Antibody Source
Recombinant Monoclonal Rabbit IgG Clone # JM10-99 expressed in HEK293
Concentration
1 mg/ml
Product Specifications
Immunogen
Synthetic peptide within human FABP4/A-FABP aa 60-100. (SwissProt: P15090 Human; SwissProt: P04117 Mouse; SwissProt: P70623 Rat)
Localization
Nucleus. Cytoplasm.
Clonality
Monoclonal
Host
Rabbit
Isotype
IgG
Description
Novus Biologicals Rabbit FABP4/A-FABP Antibody (JM10-99) (NBP2-66828) is a recombinant monoclonal antibody validated for use in IHC, WB and ICC/IF. All Novus Biologicals antibodies are covered by our 100% guarantee.
Scientific Data Images for FABP4/A-FABP Antibody (JM10-99)
Western Blot: FABP4/A-FABP Antibody (JM10-99) [NBP2-66828]
Western Blot: FABP4/A-FABP Antibody (JM10-99) [NBP2-66828] - Analysis of FABP4 on mouse heart tissue lysates using anti-FABP4 antibody at 1/500 dilution.Immunocytochemistry/ Immunofluorescence: FABP4/A-FABP Antibody (JM10-99) [NBP2-66828]
Immunocytochemistry/Immunofluorescence: FABP4/A-FABP Antibody (JM10-99) [NBP2-66828] - Staining FABP4 in PMVEC cells (red). The nuclear counter stain is DAPI (blue). Cells were fixed in paraformaldehyde, permeabilised with 0.25% Triton X100/PBS.Immunohistochemistry-Paraffin: FABP4/A-FABP Antibody (JM10-99) [NBP2-66828]
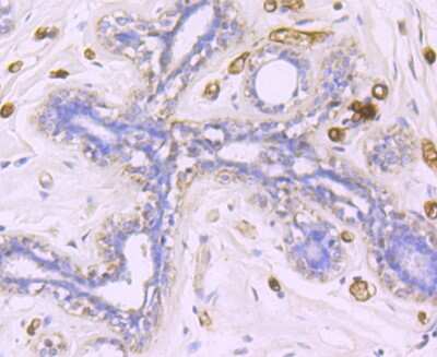
Immunohistochemistry-Paraffin: FABP4/A-FABP Antibody (JM10-99) [NBP2-66828] - Analysis of paraffin-embedded mouse lung tissue using anti-FABP4 antibody. Counter stained with hematoxylin.Applications for FABP4/A-FABP Antibody (JM10-99)
Application
Recommended Usage
Immunocytochemistry/ Immunofluorescence
1:100-1:500
Immunohistochemistry-Paraffin
1:50-1:500
Western Blot
1:500-1:2000
Formulation, Preparation, and Storage
Purification
Protein A purified
Formulation
TBS (pH7.4), 0.05% BSA, 40% Glycerol
Preservative
0.05% Sodium Azide
Concentration
1 mg/ml
Shipping
The product is shipped with polar packs. Upon receipt, store it immediately at the temperature recommended below.
Stability & Storage
Store at 4C short term. Aliquot and store at -20C long term. Avoid freeze-thaw cycles.
Background: FABP4/A-FABP
Long Name
Fatty Acid-Binding Protein 4
Alternate Names
A-FABP, AFABP, aP2
Gene Symbol
FABP4
Additional FABP4/A-FABP Products
Product Documents for FABP4/A-FABP Antibody (JM10-99)
Product Specific Notices for FABP4/A-FABP Antibody (JM10-99)
This product is for research use only and is not approved for use in humans or in clinical diagnosis. Primary Antibodies are guaranteed for 1 year from date of receipt.
Loading...
Loading...
Loading...
Loading...