EXPH5 Antibody - BSA Free
Novus Biologicals, part of Bio-Techne | Catalog # NBP3-46538
Key Product Details
Species Reactivity
Human
Applications
Immunohistochemistry, Western Blot, ELISA
Label
Unconjugated
Antibody Source
Polyclonal Rabbit IgG
Format
BSA Free
Concentration
Please see the vial label for concentration. If unlisted please contact technical services.
Product Specifications
Immunogen
exophilin 5. (Uniprot# Q8NEV8)
Clonality
Polyclonal
Host
Rabbit
Isotype
IgG
Description
Novus Biologicals Rabbit EXPH5 Antibody - BSA Free (NBP3-46538) is a polyclonal antibody validated for use in IHC, WB and ELISA. All Novus Biologicals antibodies are covered by our 100% guarantee.
Scientific Data Images for EXPH5 Antibody - BSA Free
Western Blot: EXPH5 Antibody - BSA Free [NBP3-46538] -
Western Blot: EXPH5 Antibody - BSA Free [NBP3-46538] - A431 cells were subjected to SDS PAGE followed by western blot with (EXPH5 Antibody) at dilution of 1:300Immunohistochemistry: EXPH5 Antibody - BSA Free [NBP3-46538] -
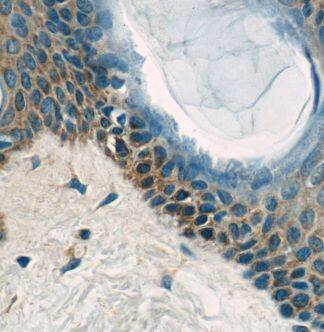
Immunohistochemistry: EXPH5 Antibody - BSA Free [NBP3-46538] - Immunohistochemistry of paraffin-embedded human oesophagus tissue slide using (EXPH5 Antibody) at dilution of 1:50Applications for EXPH5 Antibody - BSA Free
Application
Recommended Usage
Immunohistochemistry
1:20-1:200
Western Blot
1:500-1:2000
Application Notes
Theoretical Molecular Weight is 222-240 kDa
Formulation, Preparation, and Storage
Purification
Immunogen affinity purified
Formulation
PBS, 50% Glycerol, pH (7.3)
Format
BSA Free
Preservative
0.02% Sodium Azide
Concentration
Please see the vial label for concentration. If unlisted please contact technical services.
Shipping
The product is shipped with polar packs. Upon receipt, store it immediately at the temperature recommended below.
Stability & Storage
Store at -20C. Avoid freeze-thaw cycles.
Background: EXPH5
Alternate Names
DKFZp781H0795, exophilin 5, SLAC2B, synaptotagmin-like homologue lacking C2 domains b
Gene Symbol
EXPH5
Additional EXPH5 Products
Product Documents for EXPH5 Antibody - BSA Free
Product Specific Notices for EXPH5 Antibody - BSA Free
This product is for research use only and is not approved for use in humans or in clinical diagnosis. Primary Antibodies are guaranteed for 1 year from date of receipt.
Loading...
Loading...
Loading...
Loading...