Skip to main content

Exostosin-like 3/EXTL3 Antibody - BSA Free

Novus Biologicals, part of Bio-Techne | Catalog # NBP1-31645

Novus Biologicals, part of Bio-Techne
Catalog #
Availability
Size / Price
Qty
Loading...
NBP1-31645

Key Product Details

Species Reactivity

Validated:

Human

Predicted:

Bovine (94%), Mouse (97%), Rat (97%). Backed by our 100% Guarantee.

Applications

Immunohistochemistry, Immunohistochemistry-Paraffin, Western Blot

Label

Unconjugated

Antibody Source

Polyclonal Rabbit IgG

Format

BSA Free

Concentration

Concentrations vary lot to lot. See vial label for concentration. If unlisted please contact technical services.

Product Specifications

Immunogen

Recombinant protein encompassing a sequence within the center region of human Exostosin-like 3/EXTL3. The exact sequence is proprietary.

Reactivity Notes

Immunogen displays the following percentage of sequence identity for non-tested species: Xenopus laevis (84%).

Localization

Endoplasmic reticulum membrane, Single-pass type II membrane protein

Clonality

Polyclonal

Host

Rabbit

Isotype

IgG

Theoretical MW

105 kDa.
Disclaimer note: The observed molecular weight of the protein may vary from the listed predicted molecular weight due to post translational modifications, post translation cleavages, relative charges, and other experimental factors.

Description

Novus Biologicals Rabbit Exostosin-like 3/EXTL3 Antibody - BSA Free (NBP1-31645) is a polyclonal antibody validated for use in IHC and WB. All Novus Biologicals antibodies are covered by our 100% guarantee.

Scientific Data Images for Exostosin-like 3/EXTL3 Antibody - BSA Free

Western Blot: Exostosin-like 3/EXTL3 Antibody [NBP1-31645]

Western Blot: Exostosin-like 3/EXTL3 Antibody [NBP1-31645]

Western Blot: Exostosin-like 3/EXTL3 Antibody [NBP1-31645] - Sample (30 ug of whole cell lysate) A: Molt-4 7. 5% SDS PAGE; antibody diluted at 1:1000.
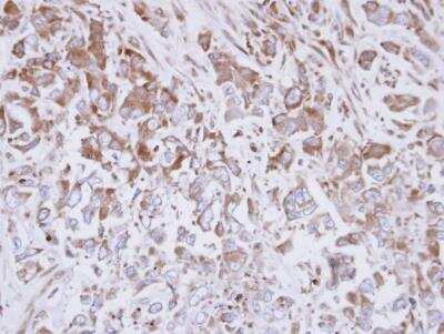
Immunohistochemistry-Paraffin: Exostosin-like 3/EXTL3 Antibody [NBP1-31645]

Immunohistochemistry-Paraffin: Exostosin-like 3/EXTL3 Antibody [NBP1-31645]

Immunohistochemistry-Paraffin: Exostosin-like 3/EXTL3 Antibody [NBP1-31645] - Paraffin-embedded OECM1 xenograft, using antibody at 1:100 dilution.

Applications for Exostosin-like 3/EXTL3 Antibody - BSA Free

Application
Recommended Usage

Immunohistochemistry

1:100-1:1000

Immunohistochemistry-Paraffin

1:100-1:1000

Western Blot

1:500-1:3000

Formulation, Preparation, and Storage

Purification

Antigen Affinity-purified

Formulation

0.1M Tris, 0.1M Glycine, 10% Glycerol

Format

BSA Free

Preservative

0.01% Thimerosal

Concentration

Concentrations vary lot to lot. See vial label for concentration. If unlisted please contact technical services.

Shipping

The product is shipped with polar packs. Upon receipt, store it immediately at the temperature recommended below.

Stability & Storage

Aliquot and store at -20C or -80C. Avoid freeze-thaw cycles.

Background: Exostosin-like 3/EXTL3

EXTL3, also referred to as Exostosin-like 3, is a glycosyltransferase and a critical player in the control of keratinocyte proliferation and differentiation via its interaction with REG3A. EXTL3 is 919 amino acids in length and approximately 105kDa. Current research surrounding EXTL3 has shown a possible link with several diseases and disorders such as colorectal cancer, HIV, hepatitis, gonorrhea, syphilis, exostosis, pancreatitis and rheumatic aortic stenosis. EXTL3 has also been shown to interact with Fyn, Crk, Phospholipase C gamma 1, PI 3 Kinase p85 alpha, and PEPP2 in pathways such as Glycosaminoglycan biosynthesis, heparan sulfate biosynthesis, the activation of Chaperones by IRE1alpha, and protein metabolism pathways.

Alternate Names

Exostosin like 3, EXTL3

Entrez Gene IDs

2137 (Human)

Gene Symbol

EXTL3

UniProt

Additional Exostosin-like 3/EXTL3 Products

Product Documents for Exostosin-like 3/EXTL3 Antibody - BSA Free

Certificate of Analysis

To download a Certificate of Analysis, please enter a lot number in the search box below.

Product Specific Notices for Exostosin-like 3/EXTL3 Antibody - BSA Free

This product is for research use only and is not approved for use in humans or in clinical diagnosis. Primary Antibodies are guaranteed for 1 year from date of receipt.

Loading...
Loading...
Loading...
Loading...

⚠ WARNING: This product can expose you to chemicals including mercury, which is known to the State of California to cause reproductive toxicity with developmental effects.  For more information go to www.P65Warnings.ca.gov.