Skip to main content

Exosome component 7 Antibody (OTI1G8)

Novus Biologicals, part of Bio-Techne | Catalog # NBP2-01732

Novus Biologicals, part of Bio-Techne
Catalog #
Availability
Size / Price
Qty
Loading...
NBP2-01732

Key Product Details

Species Reactivity

Human, Mouse, Rat, Canine, Monkey, Primate

Applications

Flow Cytometry, Immunocytochemistry/ Immunofluorescence, Immunohistochemistry, Immunohistochemistry-Paraffin, Western Blot

Label

Unconjugated

Antibody Source

Monoclonal Mouse IgG1 Clone # OTI1G8

Concentration

0.76 mg/ml

Product Specifications

Immunogen

Full length human recombinant protein of human EXOSC7(NP_055819) produced in HEK293T cell.

Reactivity Notes

Please note that this antibody is reactive to Mouse and derived from the same host, Mouse. Mouse-On-Mouse blocking reagent may be needed for IHC and ICC experiments to reduce high background signal. You can find these reagents under catalog numbers PK-2200-NB and MP-2400-NB. Please contact Technical Support if you have any questions.

Clonality

Monoclonal

Host

Mouse

Isotype

IgG1

Theoretical MW

31.6 kDa.
Disclaimer note: The observed molecular weight of the protein may vary from the listed predicted molecular weight due to post translational modifications, post translation cleavages, relative charges, and other experimental factors.

Description

Novus Biologicals Mouse Exosome component 7 Antibody (OTI1G8) (NBP2-01732) is a monoclonal antibody validated for use in IHC, WB, Flow and ICC/IF. All Novus Biologicals antibodies are covered by our 100% guarantee.

Scientific Data Images for Exosome component 7 Antibody (OTI1G8)

Western Blot: Exosome component 7 Antibody (OTI1G8) [NBP2-01732]

Western Blot: Exosome component 7 Antibody (OTI1G8) [NBP2-01732]

Western Blot: Exosome component 7 Antibody (1G8) [NBP2-01732] - Analysis of extracts (35ug) from 9 different cell lines by using anti-Exosome component 7 monoclonal antibody (HepG2: human; HeLa: human; SVT2: mouse; A549: human; COS7: monkey; Jurkat: human; MDCK: canine; PC12: rat; MCF7: human).
Immunocytochemistry/ Immunofluorescence: Exosome component 7 Antibody (OTI1G8) [NBP2-01732]

Immunocytochemistry/ Immunofluorescence: Exosome component 7 Antibody (OTI1G8) [NBP2-01732]

Immunocytochemistry/Immunofluorescence: Exosome component 7 Antibody (1G8) [NBP2-01732] - Staining of COS7 cells transiently transfected by pCMV6-ENTRY Exosome component 7.
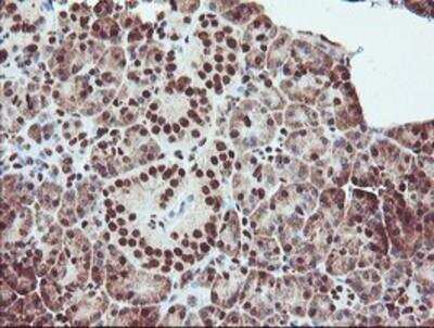
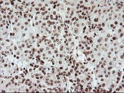
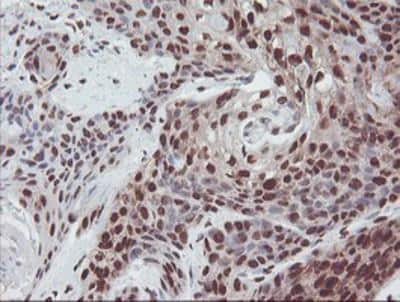
Immunohistochemistry-Paraffin: Exosome component 7 Antibody (OTI1G8) [NBP2-01732]

Immunohistochemistry-Paraffin: Exosome component 7 Antibody (OTI1G8) [NBP2-01732]

Immunohistochemistry-Paraffin: Exosome component 7 Antibody (1G8) [NBP2-01732] - Staining of paraffin-embedded Human tonsil using anti-Exosome component 7 mouse monoclonal antibody.

Applications for Exosome component 7 Antibody (OTI1G8)

Application
Recommended Usage

Flow Cytometry

1:100

Immunocytochemistry/ Immunofluorescence

1:100

Immunohistochemistry

1:150

Immunohistochemistry-Paraffin

1:150

Western Blot

1:500-2000

Formulation, Preparation, and Storage

Purification

Immunogen affinity purified

Formulation

PBS (pH 7.3), 1.0% BSA and 50% Glycerol

Preservative

0.02% Sodium Azide

Concentration

0.76 mg/ml

Shipping

The product is shipped with polar packs. Upon receipt, store it immediately at the temperature recommended below.

Stability & Storage

Store at -20C. Avoid freeze-thaw cycles.

Background: Exosome component 7

Exosome component 7 is a component of the exosome 3'->5' exoribonuclease complex, a complex that degrades inherently unstable mRNAs containing AU-rich elements (AREs) within their 3'-untranslated regions. Required for the 3'-processing of the 7S pre-RNA to the mature 5.8S rRNA. H

Alternate Names

EAP1, exosome complex exonuclease RRP42, exosome component 7Rrp42p, KIAA0116hRrp42p, p8FLJ26543, RRP42Ribosomal RNA-processing protein 42

Entrez Gene IDs

23016 (Human)

Gene Symbol

EXOSC7

Additional Exosome component 7 Products

Product Documents for Exosome component 7 Antibody (OTI1G8)

Certificate of Analysis

To download a Certificate of Analysis, please enter a lot number in the search box below.

Product Specific Notices for Exosome component 7 Antibody (OTI1G8)

This product is for research use only and is not approved for use in humans or in clinical diagnosis. Primary Antibodies are guaranteed for 1 year from date of receipt.

Loading...
Loading...
Loading...
Loading...
Loading...