Skip to main content

EWSR1 Antibody

Novus Biologicals, part of Bio-Techne | Catalog # NBP1-28798

Novus Biologicals, part of Bio-Techne
Catalog #
Availability
Size / Price
Qty
Loading...
NBP1-28798

Key Product Details

Species Reactivity

Validated:

Human

Predicted:

Bovine (100%), Mouse (100%), Porcine (100%), Rat (100%). Backed by our 100% Guarantee.

Applications

Immunohistochemistry, Immunohistochemistry-Paraffin, Western Blot, Peptide ELISA

Label

Unconjugated

Antibody Source

Polyclonal Goat IgG

Concentration

0.5 mg/ml

Product Specifications

Immunogen

Peptide with sequence C-TSYDQSSYSQQNTYG corresponding to internal region according to NP_005234.1, NP_001156757.1, NP_001156758.1, NP_001156759.1.

Epitope

internal region

Specificity

This antibody is expected to recognize all five reported isoforms (NP_053733.2; NP_005234.1; NP_001156757.1; NP_001156758.1; NP_001156759.1).

Clonality

Polyclonal

Host

Goat

Isotype

IgG

Description

Novus Biologicals Goat EWSR1 Antibody (NBP1-28798) is a polyclonal antibody validated for use in IHC, WB and ELISA. Anti-EWSR1 Antibody: Cited in 1 publication. All Novus Biologicals antibodies are covered by our 100% guarantee.

Scientific Data Images for EWSR1 Antibody

EWSR1 Antibody

Western Blot: EWSR1 Antibody [NBP1-28798] -

Western Blot: EWSR1 Antibody [NBP1-28798] - (0.3ug/ml) staining of nuclear HeLa lysate (35ug protein in RIPA buffer). Primary incubation was 1 hour. Detected by chemiluminescence.
EWSR1 Antibody

Immunohistochemistry-Paraffin: EWSR1 Antibody [NBP1-28798] -

Immunohistochemistry-Paraffin: EWSR1 Antibody [NBP1-28798] - Negative Control showing staining of paraffin embedded Human Kidney, with no primary antibody.
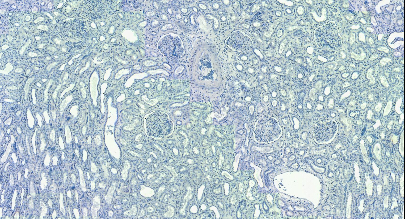
EWSR1 Antibody

Immunohistochemistry-Paraffin: EWSR1 Antibody [NBP1-28798] -

Immunohistochemistry-Paraffin: EWSR1 Antibody [NBP1-28798] - (7ug/ml) staining of paraffin embedded Human Kidney. Heat induced antigen retrieval with citrate buffer pH 6, HRP-staining.

Applications for EWSR1 Antibody

Application
Recommended Usage

Immunohistochemistry

5-7 ug/ml

Immunohistochemistry-Paraffin

5-7 ug/ml

Peptide ELISA

Detection limit 1:64000

Western Blot

0.3-1 ug/ml
Application Notes
Western blot: Approx. 90kDa band observed in nuclear lysates of cell line HeLa (calculated MW of 68.5kDa according to NP_053733.1). This molecular weight is routinely observed by other sources.

Formulation, Preparation, and Storage

Purification

Immunogen affinity purified

Formulation

Tris saline (20 mM Tris pH 7.3, 150 mM NaCl), 0.5% BSA

Preservative

0.02% Sodium Azide

Concentration

0.5 mg/ml

Shipping

The product is shipped with polar packs. Upon receipt, store it immediately at the temperature recommended below.

Stability & Storage

Store at -20C. Avoid freeze-thaw cycles.

Background: EWSR1

This gene encodes a multifunctional protein that is involved in various cellular processes, including gene expression, cell signaling, and RNA processing and transport. The protein includes an N-terminal transcriptional activation domain and a C-terminal RNA-binding domain. Chromosomal translocations between this gene and various genes encoding transcription factors result in the production of chimeric proteins that are involved in tumorigenesis. These chimeric proteins usually consist of the N-terminal transcriptional activation domain of this protein fused to the C-terminal DNA-binding domain of the transcription factor protein. Mutations in this gene, specifically a t(11;22)(q24;q12) translocation, are known to cause Ewing sarcoma as well as neuroectodermal and various other tumors. Alternative splicing of this gene results in multiple transcript variants. Related pseudogenes have been identified on chromosomes 1 and 14. [provided by RefSeq]

Long Name

RNA-binding protein EWS

Alternate Names

EWS, EWS oncogene

Entrez Gene IDs

2130 (Human); 14030 (Mouse); 289752 (Rat)

Gene Symbol

EWSR1

Additional EWSR1 Products

Product Documents for EWSR1 Antibody

Certificate of Analysis

To download a Certificate of Analysis, please enter a lot number in the search box below.

Product Specific Notices for EWSR1 Antibody

This product is for research use only and is not approved for use in humans or in clinical diagnosis. Primary Antibodies are guaranteed for 1 year from date of receipt.

Loading...
Loading...
Loading...
Loading...