Skip to main content

ETS2 Antibody (HL2259) - Azide and BSA Free

Novus Biologicals, part of Bio-Techne | Catalog # NBP3-25458

Recombinant Monoclonal Antibody
Novus Biologicals, part of Bio-Techne
Catalog #
Availability
Size / Price
Qty
Loading...
NBP3-25458

Key Product Details

Validated by

Orthogonal Validation, Biological Validation

Species Reactivity

Human, Mouse

Applications

Immunocytochemistry/ Immunofluorescence, Western Blot

Label

Unconjugated

Antibody Source

Recombinant Monoclonal Rabbit IgG Clone # HL2259 expressed in HEK293

Format

Azide and BSA Free

Concentration

Concentrations vary lot to lot. See vial label for concentration. If unlisted please contact technical services.

Product Specifications

Immunogen

Recombinant fragment of human ETS2.

Clonality

Monoclonal

Host

Rabbit

Isotype

IgG

Description

Novus Biologicals Rabbit ETS2 Antibody (HL2259) - Azide and BSA Free (NBP3-25458) is a recombinant monoclonal antibody validated for use in WB and ICC/IF. All Novus Biologicals antibodies are covered by our 100% guarantee.

Scientific Data Images for ETS2 Antibody (HL2259) - Azide and BSA Free

ETS2 Antibody (HL2259) - Azide and BSA Free

Immunocytochemistry/Immunofluorescence: ETS2 Antibody (HL2259) - Azide and BSA Free [NBP3-25458] -

Immunocytochemistry/Immunofluorescence: ETS2 Antibody (HL2259) - Azide and BSA Free [NBP3-25458] - ETS2 antibody [HL2259] detects ETS2 protein at cytoplasm and nucleus by immunofluorescent analysis. Sample: HeLa cells were fixed in 4% paraformaldehyde at RT for 15 min. Green: ETS2 stained by ETS2 antibody [HL2259] (NBP3-25458) diluted at 1:500. Red: alpha Tubulin, a cytoskeleton marker, stained by alpha Tubulin antibody [GT114] diluted at 1:1000.
ETS2 Antibody (HL2259) - Azide and BSA Free

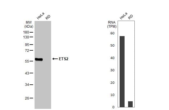
Western Blot: ETS2 Antibody (HL2259) - Azide and BSA Free [NBP3-25458] -

Western Blot: ETS2 Antibody (HL2259) - Azide and BSA Free [NBP3-25458] - Various whole cell extracts (30 ug) were separated by 10% SDS-PAGE, and the membrane was blotted with ETS2 antibody [HL2259] (NBP3-25458) diluted at 1:1000. The HRP-conjugated anti-rabbit IgG antibody was used to detect the primary antibody. Corresponding RNA expression data for the same cell lines are based on Human Protein Atlas program.
ETS2 Antibody (HL2259) - Azide and BSA Free

Western Blot: ETS2 Antibody (HL2259) - Azide and BSA Free [NBP3-25458] -

Western Blot: ETS2 Antibody (HL2259) - Azide and BSA Free [NBP3-25458] - Untreated (-) and treated (+) Raw 264.7 whole cell extracts (30 ug) were separated by 10% SDS-PAGE, and the membrane was blotted with ETS2 antibody [HL2259] (NBP3-25458) diluted at 1:1000. The HRP-conjugated anti-rabbit IgG antibody was used to detect the primary antibody, and the signal was developed with Trident ECL plus-Enhanced.

Applications for ETS2 Antibody (HL2259) - Azide and BSA Free

Application
Recommended Usage

Western Blot

1:500-1:3000

Formulation, Preparation, and Storage

Purification

Protein A purified

Formulation

PBS

Format

Azide and BSA Free

Preservative

No Preservative

Concentration

Concentrations vary lot to lot. See vial label for concentration. If unlisted please contact technical services.

Shipping

The product is shipped with polar packs. Upon receipt, store it immediately at the temperature recommended below.

Stability & Storage

Store at 4C short term. Aliquot and store at -20C long term. Avoid freeze-thaw cycles.

Background: ETS2

ETS transcriptions factors, such as ETS2, regulate numerous genes and are involved in stem cell development, cell senescence and death, and tumorigenesis. The conserved ETS domain within these proteins is a winged helix-turn-helix DNA-binding domain that recognizes the core consensus DNA sequence GGAA/T of target genes (Dwyer et al., 2007 [PubMed 17986575]).[supplied by OMIM]

Alternate Names

ETS2IT1, human erythroblastosis virus oncogene homolog 210protein C-ets-2, oncogene ETS-2, v-ets avian erythroblastosis virus E2 oncogene homolog 2, v-ets avian erythroblastosis virus E26 oncogene homolog 2, v-ets erythroblastosis virus E26 oncogene homolog 2 (avian)

Gene Symbol

ETS2

Additional ETS2 Products

Product Documents for ETS2 Antibody (HL2259) - Azide and BSA Free

Certificate of Analysis

To download a Certificate of Analysis, please enter a lot number in the search box below.

Product Specific Notices for ETS2 Antibody (HL2259) - Azide and BSA Free

This product is for research use only and is not approved for use in humans or in clinical diagnosis. Primary Antibodies are guaranteed for 1 year from date of receipt.

Loading...
Loading...
Loading...
Loading...