ESX1 Antibody - BSA Free
Novus Biologicals, part of Bio-Techne | Catalog # NBP1-77114
Conjugate
Catalog #
Key Product Details
Species Reactivity
Human
Applications
Immunohistochemistry, Immunohistochemistry-Paraffin, Western Blot, ELISA, Immunocytochemistry/ Immunofluorescence
Label
Unconjugated
Antibody Source
Polyclonal Rabbit IgG
Format
BSA Free
Concentration
1 mg/ml
Product Specifications
Immunogen
Antibody was raised against a 19 amino acid synthetic peptide near the center of human ESX1. The immunogen is located within amino acids 140 - 190 of ESX1. Amino Acid Squence: QFQLQELENFFDESQYPDV
Clonality
Polyclonal
Host
Rabbit
Isotype
IgG
Scientific Data Images for ESX1 Antibody - BSA Free
Western Blot: ESX1 AntibodyBSA Free [NBP1-77114]
Western Blot: ESX1 Antibody [NBP1-77114] - Human testis tissue lysate with ESX1 antibody at (A) 1 and (B) 2 ug/mL.Immunocytochemistry/ Immunofluorescence: ESX1 Antibody - BSA Free [NBP1-77114]
Immunocytochemistry/Immunofluorescence: ESX1 Antibody [NBP1-77114] - Immunofluorescence of ESX1 in human testis tissue with ESX1 antibody at 20 ug/mL.Immunohistochemistry-Paraffin: ESX1 Antibody - BSA Free [NBP1-77114]
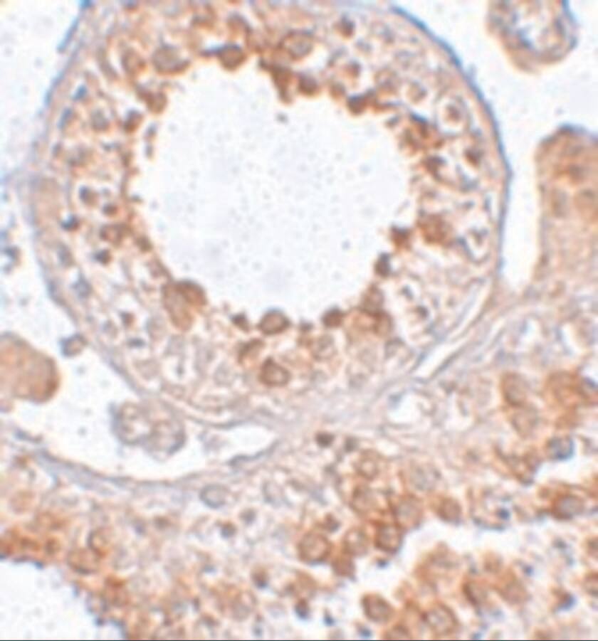
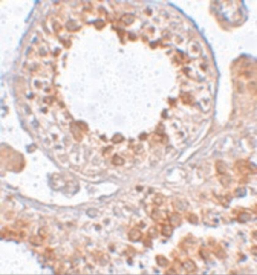
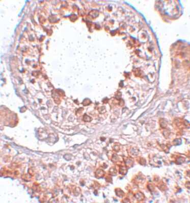
Immunohistochemistry-Paraffin: ESX1 Antibody [NBP1-77114] - Human testis tissue with ESX1 antibody at 2.5 ug/mL.Applications for ESX1 Antibody - BSA Free
Application
Recommended Usage
ELISA
1:100-1:2000
Immunocytochemistry/ Immunofluorescence
20 ug/ml
Immunohistochemistry
2.5 ug/ml
Immunohistochemistry-Paraffin
2.5 ug/ml
Western Blot
1-2 ug/ml
Formulation, Preparation, and Storage
Purification
Peptide affinity purified
Formulation
PBS
Format
BSA Free
Preservative
0.02% Sodium Azide
Concentration
1 mg/ml
Shipping
The product is shipped with polar packs. Upon receipt, store it immediately at the temperature recommended below.
Stability & Storage
Store at 4C short term. Aliquot and store at -20C long term. Avoid freeze-thaw cycles.
Background: ESX1
Alternate Names
ESX homeobox 1, ESX1LESX1R, ESX1-related protein, ESXR1homeobox protein ESX1, Extraembryonic, spermatogenesis, homeobox 1, extraembryonic, spermatogenesis, homeobox 1 homolog, extraembryonic, spermatogenesis, homeobox 1 homolog (mouse)
Gene Symbol
ESX1
UniProt
Additional ESX1 Products
Product Documents for ESX1 Antibody - BSA Free
Product Specific Notices for ESX1 Antibody - BSA Free
This product is for research use only and is not approved for use in humans or in clinical diagnosis. Primary Antibodies are guaranteed for 1 year from date of receipt.
Loading...
Loading...
Loading...
Loading...