Skip to main content

ERp72 Antibody (OTI2B9) - Azide and BSA Free

Novus Biologicals, part of Bio-Techne | Catalog # NBP2-71488

Novus Biologicals, part of Bio-Techne

Key Product Details

Species Reactivity

Human, Mouse, Rat, Canine, Monkey, Primate

Applications

Immunohistochemistry, Immunohistochemistry-Paraffin, Western Blot

Label

Unconjugated

Antibody Source

Monoclonal Mouse IgG1 Clone # OTI2B9

Format

Azide and BSA Free

Concentration

LYOPH mg/ml

Product Specifications

Immunogen

Full length human recombinant protei of human PDIA4(NP_004902) produced in HEK293T cell.

Reactivity Notes

Please note that this antibody is reactive to Mouse and derived from the same host, Mouse. Mouse-On-Mouse blocking reagent may be needed for IHC and ICC experiments to reduce high background signal. You can find these reagents under catalog numbers PK-2200-NB and MP-2400-NB. Please contact Technical Support if you have any questions.

Clonality

Monoclonal

Host

Mouse

Isotype

IgG1

Theoretical MW

72.8 kDa.
Disclaimer note: The observed molecular weight of the protein may vary from the listed predicted molecular weight due to post translational modifications, post translation cleavages, relative charges, and other experimental factors.

Description

Novus Biologicals Mouse ERp72 Antibody (OTI2B9) - Azide and BSA Free (NBP2-01652) is a monoclonal antibody validated for use in IHC and WB. All Novus Biologicals antibodies are covered by our 100% guarantee.

Scientific Data Images for ERp72 Antibody (OTI2B9) - Azide and BSA Free

Western Blot: ERp72 Antibody (OTI2B9)Azide and BSA Free [NBP2-71488]

Western Blot: ERp72 Antibody (OTI2B9)Azide and BSA Free [NBP2-71488]

Western Blot: ERp72 Antibody (OTI2B9) - Azide and BSA Free [NBP2-71488] - HEK293T cells were transfected with the pCMV6-ENTRY control (Left lane) or pCMV6-ENTRY ERp72 (Right lane) cDNA for 48 hrs and lysed. Equivalent amounts of cell lysates (5 ug per lane) were separated by SDS-PAGE and immunoblotted with anti-ERp72.
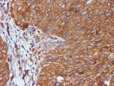
Immunohistochemistry: ERp72 Antibody (OTI2B9) - Azide and BSA Free [NBP2-71488]

Immunohistochemistry: ERp72 Antibody (OTI2B9) - Azide and BSA Free [NBP2-71488]

Immunohistochemistry: ERp72 Antibody (OTI2B9) - Azide and BSA Free [NBP2-71488] - Staining of paraffin-embedded Human pancreas tissue using anti-ERp72 mouse monoclonal antibody.
Western Blot: ERp72 Antibody (OTI2B9)Azide and BSA Free [NBP2-71488]

Western Blot: ERp72 Antibody (OTI2B9)Azide and BSA Free [NBP2-71488]

Western Blot: ERp72 Antibody (OTI2B9) - Azide and BSA Free [NBP2-71488] - Analysis of extracts (35ug) from 9 different cell lines by using anti-ERp72 monoclonal antibody.

Applications for ERp72 Antibody (OTI2B9) - Azide and BSA Free

Application
Recommended Usage

Immunohistochemistry

1:150

Western Blot

1:500-2000

Formulation, Preparation, and Storage

Purification

Immunogen affinity purified

Reconstitution

we recommend adding 100uL distilled water to a final antibody concentration of about 1 mg/mL. To use this carrier-free antibody for conjugation experiment, we strongly recommend performing another round of desalting process.

Formulation

Lyophilized from PBS (pH 7.3) with 8% Trehalose

Format

Azide and BSA Free

Preservative

No Preservative

Concentration

LYOPH mg/ml

Shipping

The product is shipped with polar packs. Upon receipt, store it immediately at the temperature recommended below.

Stability & Storage

Store at -20C. Avoid freeze-thaw cycles.

Background: ERp72

ERp72 is an endoplasmic reticulum luminal protein that is both a stress protein and a member of the protein disulfide isomerase family of proteins. Sequence analysis of ERp72 shows that it shares sequence identity with PDI (protein disulphide isomerase) at three discrete regions, as well as containing the ER retention signal KEEL at its C-terminus. ERp72 is shown to have three copies of sequence believed to be CGHC-containing active sites, which are also found in PDI. These CGHC sites are critical sites that are involved in the protein disulphide isomerization process. These results suggest that ERp72 is a newly described member of the family of CGHC-containing proteins that functions as a molecular chaperone. This antibody was raised by a genetic immunization technique. Genetic immunization can be used to generate antibodies by directly delivering antigen-coding DNA into the animal, rather than injecting a protein or peptide (Tang et al. PubMed: 1545867; Chambers and Johnston PubMed 12910245; Barry and Johnston PubMed: 9234514). The animal's cells produce the protein, which stimulates the animal's immune system to produce antibodies against that particular protein. A vector coding for a partial fusion protein was used for genetic immunisation of a mouse and the resulting serum was tested in Western blot against an E.coli lysate containing that partial fusion protein. Genetic immunization offers enormous advantages over the traditional protein-based immunization method. DNA is faster, cheaper and easier to produce and can be produced by standard techniques readily amenable to automation. Furthermore, the antibodies generated by genetic immunization are usually of superior quality with regard to specificity, affinity and recognizing the native protein.

Alternate Names

Endoplasmic reticulum resident protein 70, Endoplasmic reticulum resident protein 72, ER protein 70, ERp70, ERP70ER protein 72, ERp72, ERp-72, ERP72EC 5.3.4.1, intestinal-related), protein disulfide isomerase family A, member 4, protein disulfide isomerase related protein (calcium-binding protein, protein disulfide isomerase-associated 4, protein disulfide-isomerase A4

Gene Symbol

PDIA4

Additional ERp72 Products

Product Documents for ERp72 Antibody (OTI2B9) - Azide and BSA Free

Certificate of Analysis

To download a Certificate of Analysis, please enter a lot number in the search box below.

Product Specific Notices for ERp72 Antibody (OTI2B9) - Azide and BSA Free

This product is for research use only and is not approved for use in humans or in clinical diagnosis. Primary Antibodies are guaranteed for 1 year from date of receipt.

Loading...
Loading...
Loading...
Loading...
Loading...