Skip to main content

ERp57/PDIA3 Antibody (OTI3E1) - Azide and BSA Free

Novus Biologicals, part of Bio-Techne | Catalog # NBP2-70848

Novus Biologicals, part of Bio-Techne

Key Product Details

Species Reactivity

Human, Mouse, Rat

Applications

Immunohistochemistry, Immunohistochemistry-Paraffin, Western Blot

Label

Unconjugated

Antibody Source

Monoclonal Mouse IgG2B Clone # OTI3E1

Format

Azide and BSA Free

Concentration

LYOPH mg/ml

Product Specifications

Immunogen

Human recombinant protein fragment corresponding to amino acids PDIA3(NP_005304) produced in E.coli.

Reactivity Notes

Please note that this antibody is reactive to Mouse and derived from the same host, Mouse. Mouse-On-Mouse blocking reagent may be needed for IHC and ICC experiments to reduce high background signal. You can find these reagents under catalog numbers PK-2200-NB and MP-2400-NB. Please contact Technical Support if you have any questions.

Clonality

Monoclonal

Host

Mouse

Isotype

IgG2B

Theoretical MW

54.2 kDa.
Disclaimer note: The observed molecular weight of the protein may vary from the listed predicted molecular weight due to post translational modifications, post translation cleavages, relative charges, and other experimental factors.

Description

Novus Biologicals Mouse ERp57/PDIA3 Antibody (OTI3E1) - Azide and BSA Free (NBP2-46362) is a monoclonal antibody validated for use in IHC and WB. All Novus Biologicals antibodies are covered by our 100% guarantee.

Scientific Data Images for ERp57/PDIA3 Antibody (OTI3E1) - Azide and BSA Free

Western Blot: ERp57/PDIA3 Antibody (OTI3E1)Azide and BSA Free [NBP2-70848]

Western Blot: ERp57/PDIA3 Antibody (OTI3E1)Azide and BSA Free [NBP2-70848]

Western Blot: ERp57/PDIA3 Antibody (OTI3E1) - Azide and BSA Free [NBP2-70848] - Analysis of HEK293T cells were transfected with the pCMV6-ENTRY control (Left lane) or pCMV6-ENTRY PDIA3.
Immunohistochemistry: ERp57/PDIA3 Antibody (OTI3E1) - Azide and BSA Free [NBP2-70848]

Immunohistochemistry: ERp57/PDIA3 Antibody (OTI3E1) - Azide and BSA Free [NBP2-70848]

Immunohistochemistry: ERp57/PDIA3 Antibody (OTI3E1) - Azide and BSA Free [NBP2-70848] - Analysis of Human prostate tissue. (Heat-induced epitope retrieval by 10mM citric buffer, pH6.0, 120C for 3min)
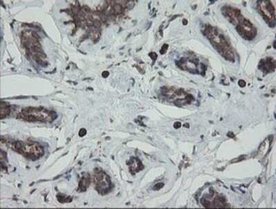
Immunohistochemistry: ERp57/PDIA3 Antibody (OTI3E1) - Azide and BSA Free [NBP2-70848]

Immunohistochemistry: ERp57/PDIA3 Antibody (OTI3E1) - Azide and BSA Free [NBP2-70848]

Immunohistochemistry: ERp57/PDIA3 Antibody (OTI3E1) - Azide and BSA Free [NBP2-70848] - Analysis of Adenocarcinoma of Human endometrium tissue. (Heat-induced epitope retrieval by 10mM citric buffer, pH6.0, 120C for 3min)

Applications for ERp57/PDIA3 Antibody (OTI3E1) - Azide and BSA Free

Application
Recommended Usage

Immunohistochemistry

1:150

Western Blot

1:2000

Formulation, Preparation, and Storage

Purification

Immunogen affinity purified

Reconstitution

we recommend adding 100uL distilled water to a final antibody concentration of about 1 mg/mL. To use this carrier-free antibody for conjugation experiment, we strongly recommend performing another round of desalting process.

Formulation

Lyophilized from PBS (pH 7.3) with 8% Trehalose

Format

Azide and BSA Free

Preservative

No Preservative

Concentration

LYOPH mg/ml

Shipping

The product is shipped with polar packs. Upon receipt, store it immediately at the temperature recommended below.

Stability & Storage

Store at -20C. Avoid freeze-thaw cycles.

Background: ERp57/PDIA3

ERp57, also known as Glucose Regulated Protein 58 (Grp58), Hormone-Induced Protein-70 (HIP-70) and microsomal Carnitine Palmitoyltransferase, is a member of the protein disulfide isomerase family, containing two canonical CXHC tetrapeptide active site motifs (1-5). It has quite a few diverse roles. It functions as an accessory oxidoreductase involved in disulfide bond formation. In the ER, ERp57 interacts with membrane bound calnexin and soluble calreticulin (lectin chaperones) via their praline rich P-domain arms. Lectin chaperones bind nascent non-native glycoproteins, and position ERp57 to act upon the immature or misfolded glycoproteins that possess mono-glucosylated side chains. ERp57 deletion impairs posttranslational phases of influenza hema-glutinin folding, and causes accelerated release of MHC-I molecules, resulting in the coupling of sub-optimal peptides and reduced expression and stability on the cell surface (6). ERp57 also contains two thioredoxin active-site sequences, CGHC and an estrogen-binding domain. ERp57 is induced by both estrogen and leuteinizing-hormone-releasing hormone in the hippocampus (7).

Long Name

Endoplasmic Reticulum Resident Protein 57

Alternate Names

ERp60, GRP58, PDIA3

Gene Symbol

PDIA3

Additional ERp57/PDIA3 Products

Product Documents for ERp57/PDIA3 Antibody (OTI3E1) - Azide and BSA Free

Certificate of Analysis

To download a Certificate of Analysis, please enter a lot number in the search box below.

Product Specific Notices for ERp57/PDIA3 Antibody (OTI3E1) - Azide and BSA Free

This product is for research use only and is not approved for use in humans or in clinical diagnosis. Primary Antibodies are guaranteed for 1 year from date of receipt.

Loading...
Loading...
Loading...
Loading...
Loading...