Skip to main content

ERp57/PDIA3 Antibody (CL2452) - Azide and BSA Free

Novus Biologicals, part of Bio-Techne | Catalog # NBP3-44469

Novus Biologicals, part of Bio-Techne

Key Product Details

Validated by

Orthogonal Validation

Species Reactivity

Human

Applications

Immunohistochemistry-Paraffin, Western Blot

Label

Unconjugated

Antibody Source

Monoclonal Mouse IgG2B Clone # CL2452

Format

Azide and BSA Free

Concentration

LYOPH mg/ml

Product Specifications

Immunogen

This antibody was generated using a recombinant protein sequence of G5EA52, with the exact immunogen sequence remaining proprietary.

Clonality

Monoclonal

Host

Mouse

Isotype

IgG2B

Description

Novus Biologicals Mouse ERp57/PDIA3 Antibody (CL2452) - Azide and BSA Free (NBP2-36767) is a monoclonal antibody validated for use in IHC and WB. All Novus Biologicals antibodies are covered by our 100% guarantee.

Scientific Data Images for ERp57/PDIA3 Antibody (CL2452) - Azide and BSA Free

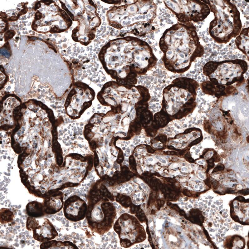
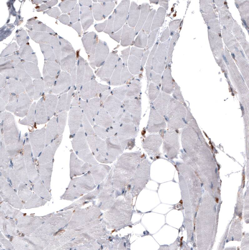
ERp57/PDIA3 Antibody (CL2452) - Azide and BSA Free Immunohistochemistry-Paraffin: ERp57/PDIA3 Antibody [NBP3-44469]

Immunohistochemistry-Paraffin: ERp57/PDIA3 Antibody [NBP3-44469]

Analysis in human placenta and skeletal muscle tissues using NBP3-44469 antibody. Corresponding ERp57/PDIA3 RNA-seq data are presented for the same tissues.
ERp57/PDIA3 Antibody (CL2452) - Azide and BSA Free Western Blot: ERp57/PDIA3 Antibody [NBP3-44469]

Western Blot: ERp57/PDIA3 Antibody [NBP3-44469]

Lane 1: Marker [kDa]
Lane 2:Human cell line U-251 MG
ERp57/PDIA3 Antibody (CL2452) - Azide and BSA Free Immunohistochemistry-Paraffin: ERp57/PDIA3 Antibody [NBP3-44469]

Immunohistochemistry-Paraffin: ERp57/PDIA3 Antibody [NBP3-44469]

Staining of human liver shows moderate cytoplasmic positivity in hepatocytes.

Applications for ERp57/PDIA3 Antibody (CL2452) - Azide and BSA Free

Application
Recommended Usage

Immunohistochemistry-Paraffin

1:5000 - 1:10000

Western Blot

1 ug/ml
Application Notes
For IHC-Paraffin, HIER pH 6 retrieval is recommended.

Formulation, Preparation, and Storage

Purification

Protein A purified

Reconstitution

Centrifuge the vial of lyophilized antibody at 12,000 x g for 20 seconds. Reconstitute by adding sterile, distilled water to achieve a final antibody concentration of 1mg/ml.

Formulation

Lyophilized from a 0.2 um filtered solution in PBS with Trehalose

Format

Azide and BSA Free

Preservative

No Preservative

Concentration

LYOPH mg/ml

Shipping

The product is shipped at ambient temperature. Upon receipt, store it immediately at the temperature recommended below.

Stability & Storage

Store at 4C short term. Aliquot and store at -20C long term. Avoid freeze-thaw cycles.

Background: ERp57/PDIA3

ERp57, also known as Glucose Regulated Protein 58 (Grp58), Hormone-Induced Protein-70 (HIP-70) and microsomal Carnitine Palmitoyltransferase, is a member of the protein disulfide isomerase family, containing two canonical CXHC tetrapeptide active site motifs (1-5). It has quite a few diverse roles. It functions as an accessory oxidoreductase involved in disulfide bond formation. In the ER, ERp57 interacts with membrane bound calnexin and soluble calreticulin (lectin chaperones) via their praline rich P-domain arms. Lectin chaperones bind nascent non-native glycoproteins, and position ERp57 to act upon the immature or misfolded glycoproteins that possess mono-glucosylated side chains. ERp57 deletion impairs posttranslational phases of influenza hema-glutinin folding, and causes accelerated release of MHC-I molecules, resulting in the coupling of sub-optimal peptides and reduced expression and stability on the cell surface (6). ERp57 also contains two thioredoxin active-site sequences, CGHC and an estrogen-binding domain. ERp57 is induced by both estrogen and leuteinizing-hormone-releasing hormone in the hippocampus (7).

Long Name

Endoplasmic Reticulum Resident Protein 57

Alternate Names

ERp60, GRP58, PDIA3

Gene Symbol

PDIA3

Additional ERp57/PDIA3 Products

Product Documents for ERp57/PDIA3 Antibody (CL2452) - Azide and BSA Free

Certificate of Analysis

To download a Certificate of Analysis, please enter a lot number in the search box below.

Product Specific Notices for ERp57/PDIA3 Antibody (CL2452) - Azide and BSA Free

This product is for research use only and is not approved for use in humans or in clinical diagnosis. Primary Antibodies are guaranteed for 1 year from date of receipt.

Loading...
Loading...
Loading...
Loading...
Loading...