Skip to main content

ERK1/2 Antibody (SP05-09)

Novus Biologicals, part of Bio-Techne | Catalog # NBP2-67378

Recombinant Monoclonal Antibody.
Novus Biologicals, part of Bio-Techne
Catalog #
Availability
Size / Price
Qty
Loading...
NBP2-67378

Key Product Details

Species Reactivity

Human, Mouse

Applications

Flow Cytometry, Immunocytochemistry/ Immunofluorescence, Immunohistochemistry, Immunohistochemistry-Paraffin, Immunoprecipitation, Western Blot

Label

Unconjugated

Antibody Source

Recombinant Monoclonal Rabbit IgG Clone # SP05-09 expressed in HEK293

Concentration

1 mg/ml

Product Specifications

Immunogen

Synthetic peptide within N-terminal human ERK1/2. (SwissProt: P27361 Human; SwissProt: Q63844 Mouse)

Localization

Cytoplasm, Nucleus.

Clonality

Monoclonal

Host

Rabbit

Isotype

IgG

Description

Novus Biologicals Rabbit ERK1/2 Antibody (SP05-09) (NBP2-67378) is a recombinant monoclonal antibody validated for use in IHC, WB, Flow, ICC/IF and IP. All Novus Biologicals antibodies are covered by our 100% guarantee.

Scientific Data Images for ERK1/2 Antibody (SP05-09)

Western Blot: ERK1/2 Antibody (SP05-09) [NBP2-67378]

Western Blot: ERK1/2 Antibody (SP05-09) [NBP2-67378]

Western Blot: ERK1/2 Antibody (SP05-09) [NBP2-67378] - Analysis of ERK1 on different lysates using anti-ERK1 antibody at 1/1,000 dilution. Positive control: Lane 1: Hela Lane 2: Jurkat Lane 3: K562
Immunocytochemistry/ Immunofluorescence: ERK1/2 Antibody (SP05-09) [NBP2-67378]

Immunocytochemistry/ Immunofluorescence: ERK1/2 Antibody (SP05-09) [NBP2-67378]

Immunocytochemistry/Immunofluorescence: ERK1/2 Antibody (SP05-09) [NBP2-67378] - Staining ERK1 in NIH/3T3 cells (green). The nuclear counter stain is DAPI (blue). Cells were fixed in paraformaldehyde, permeabilised with 0.25% Triton X100/PBS.
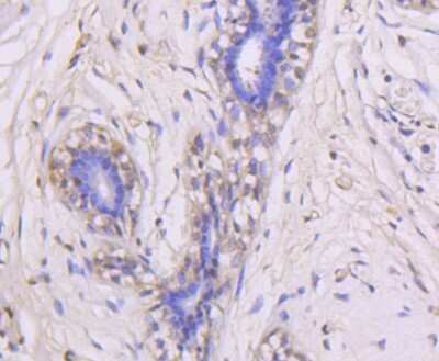
Immunohistochemistry-Paraffin: ERK1/2 Antibody (SP05-09) [NBP2-67378]

Immunohistochemistry-Paraffin: ERK1/2 Antibody (SP05-09) [NBP2-67378]

Immunohistochemistry-Paraffin: ERK1/2 Antibody (SP05-09) [NBP2-67378] - Analysis of paraffin-embedded mouse stomach tissue using anti-ERK1 antibody. Counter stained with hematoxylin.

Applications for ERK1/2 Antibody (SP05-09)

Application
Recommended Usage

Flow Cytometry

1:50-1:100

Immunocytochemistry/ Immunofluorescence

1:100-1:500

Immunohistochemistry-Paraffin

1:50-1:200

Western Blot

1:1000-1:5000

Formulation, Preparation, and Storage

Purification

Protein A purified

Formulation

TBS (pH7.4), 0.05% BSA, 40% Glycerol

Preservative

0.05% Sodium Azide

Concentration

1 mg/ml

Shipping

The product is shipped with polar packs. Upon receipt, store it immediately at the temperature recommended below.

Stability & Storage

Store at 4C short term. Aliquot and store at -20C long term. Avoid freeze-thaw cycles.

Background: ERK1/2

The extracellular signal-regulated kinases 1 and 2 (ERK1 and ERK2), also called p44 and p42 MAP kinases, are members of the Mitogen Activated Protein Kinase (MAPK) family of proteins found in all eukaryotes. Because the 44 kDa ERK1 and the 42 kDa ERK2 are highly homologous and both function in the same protein kinase cascade, the two proteins are often referred to collectively as ERK1/2 or p44/p42 MAP kinase (1). They are both located in the cytosol and mitochondria (2). While the role of cytosol ERK1/2 is well studied and involved in multiple cellular functions (2), the role of mitochondrial ERK1/2 remains poorly understood. Both ERK 1 and 2 are activated by MEK1 or MEK2, by dual phosphorylation of a threonine and tyrosine residue in the activation loop (TEY motif) (1, 3). Either phosphorylation alone can induce an electrophoretic mobility shift, but both are required for activation of the kinase. This dual phosphorylation is efficiently detected by phosphorylation state-specific antibody directed to the pTEpY motif. Once activated, MAP kinases phosphorylate a broad spectrum of substrates, including cytoskeletal proteins, translation regulators, transcription factors, and the Rsk family of protein kinases (4). ERK1/2 activation is generally thought to confer a survival advantage to cells (5); however there is increasing evidence that suggests that the activation of ERK1/2 also contributes to cell death under certain conditions (5). ERK1/2 also is activated in neuronal and renal epithelial cells upon exposure to oxidative stress and toxicants or deprivation of growth factors, and inhibition of the ERK pathway blocks apoptosis (5).

Alternate Names

EC 2.7.11, ERK-1, ERK1p44-MAPK, ERT2, Extracellular signal-regulated kinase 1, extracellular signal-related kinase 1, HS44KDAP, HUMKER1A, Insulin-stimulated MAP2 kinase, MAP kinase 1, MAP kinase 3, MAP kinase isoform p44, MAPK 1, MAPK 3, MGC20180, Microtubule-associated protein 2 kinase, Mitogen-activated protein kinase 1, mitogen-activated protein kinase 3, p44erk1, p44-ERK1, P44MAPK, PRKM3EC 2.7.11.24

Gene Symbol

MAPK3

Additional ERK1/2 Products

Product Documents for ERK1/2 Antibody (SP05-09)

Certificate of Analysis

To download a Certificate of Analysis, please enter a lot number in the search box below.

Product Specific Notices for ERK1/2 Antibody (SP05-09)

This product is for research use only and is not approved for use in humans or in clinical diagnosis. Primary Antibodies are guaranteed for 1 year from date of receipt.

Loading...
Loading...
Loading...
Loading...
Loading...