Skip to main content

eRF1 Antibody - BSA Free

Novus Biologicals, part of Bio-Techne | Catalog # NBP1-31144

Novus Biologicals, part of Bio-Techne
Catalog #
Availability
Size / Price
Qty
Loading...
NBP1-31144

Key Product Details

Species Reactivity

Validated:

Human, Mouse

Predicted:

Bovine (100%), Canine (100%), Rabbit (100%), Rat (100%), Rhesus Macaque (100%), Xenopus (100%). Backed by our 100% Guarantee.

Applications

Immunohistochemistry, Immunohistochemistry-Paraffin, Western Blot, Immunocytochemistry/ Immunofluorescence

Label

Unconjugated

Antibody Source

Polyclonal Rabbit IgG

Format

BSA Free

Concentration

Concentrations vary lot to lot. See vial label for concentration. If unlisted please contact technical services.

Product Specifications

Immunogen

Carrier-protein conjugated synthetic peptide encompassing a sequence within the N-terminus region of human eRF1. The exact sequence is proprietary.

Localization

Cytoplasm

Clonality

Polyclonal

Host

Rabbit

Isotype

IgG

Theoretical MW

49 kDa.
Disclaimer note: The observed molecular weight of the protein may vary from the listed predicted molecular weight due to post translational modifications, post translation cleavages, relative charges, and other experimental factors.

Description

Novus Biologicals Rabbit eRF1 Antibody - BSA Free (NBP1-31144) is a polyclonal antibody validated for use in IHC, WB and ICC/IF. All Novus Biologicals antibodies are covered by our 100% guarantee.

Scientific Data Images for eRF1 Antibody - BSA Free

Western Blot: eRF1 Antibody [NBP1-31144]

Western Blot: eRF1 Antibody [NBP1-31144]

Western Blot: eRF1 Antibody [NBP1-31144] - Sample (30 ug of whole cell lysate) A: Raji 10% SDS PAGE eRF1 antibody, antibody diluted at 1:1000.
Immunocytochemistry/ Immunofluorescence: eRF1 Antibody [NBP1-31144]

Immunocytochemistry/ Immunofluorescence: eRF1 Antibody [NBP1-31144]

Immunocytochemistry/Immunofluorescence: eRF1 Antibody [NBP1-31144] - Analysis of methanol-fixed HeLa, using antibody at 1:500 dilution.
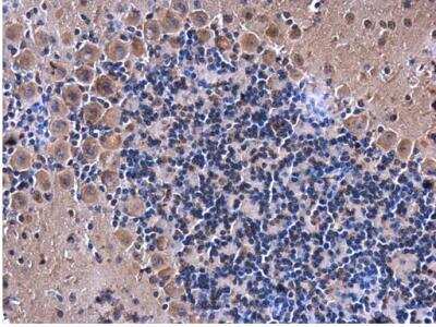
Immunohistochemistry-Paraffin: eRF1 Antibody [NBP1-31144]

Immunohistochemistry-Paraffin: eRF1 Antibody [NBP1-31144]

Immunohistochemistry-Paraffin: eRF1 Antibody [NBP1-31144] - Sample: Paraffin-embedded mouse brain. eRF1 antibody diluted at 1:500.

Applications for eRF1 Antibody - BSA Free

Application
Recommended Usage

Immunocytochemistry/ Immunofluorescence

1:100-1:1000

Immunohistochemistry

1:100-1:1000

Immunohistochemistry-Paraffin

1:100-1:1000

Western Blot

1:500-1:3000

Formulation, Preparation, and Storage

Purification

Antigen Affinity-purified

Formulation

0.1M Tris, 0.1M Glycine, 10% Glycerol

Format

BSA Free

Preservative

0.01% Thimerosal

Concentration

Concentrations vary lot to lot. See vial label for concentration. If unlisted please contact technical services.

Shipping

The product is shipped with polar packs. Upon receipt, store it immediately at the temperature recommended below.

Stability & Storage

Store at 4C short term. Aliquot and store at -20C long term. Avoid freeze-thaw cycles.

Background: eRF1

Termination of protein biosynthesis and release of the nascent polypeptide chain are signaled by the presence of an in-frame stop codon at the aminoacyl site of the ribosome. The process of translation termination is universal and is mediated by protein release factors (RFs) and GTP. A class 1 RF recognizes the stop codon and promotes the hydrolysis of the ester bond linking the polypeptide chain with the peptidyl site tRNA, a reaction catalyzed at the peptidyl transferase center of the ribosome. Class 2 RFs, which are not codon specific and do not recognize codons, stimulate class 1 RF activity and confer GTP dependency upon the process. In prokaryotes, both class 1 RFs, RF1 and RF2, recognize UAA; however, UAG and UGA are decoded specifically by RF1 and RF2, respectively. In eukaryotes, eRF1, or ETF1, the functional counterpart of RF1 and RF2, functions as an omnipotent RF, decoding all 3 stop codons (Frolova et al., 1994 [PubMed 7990965]).[supplied by OMIM]

Alternate Names

D5S1995, ERF1eRF1, eukaryotic peptide chain release factor subunit 1, Eukaryotic release factor 1, eukaryotic translation termination factor 1, polypeptide chain release factor 1, Protein Cl1, RF1ERF, sup45 (yeast omnipotent suppressor 45) homolog-like 1, SUP45L1, TB3-1MGC111066

Gene Symbol

ETF1

Additional eRF1 Products

Product Documents for eRF1 Antibody - BSA Free

Certificate of Analysis

To download a Certificate of Analysis, please enter a lot number in the search box below.

Product Specific Notices for eRF1 Antibody - BSA Free

This product is for research use only and is not approved for use in humans or in clinical diagnosis. Primary Antibodies are guaranteed for 1 year from date of receipt.

Loading...
Loading...
Loading...
Loading...

⚠ WARNING: This product can expose you to chemicals including mercury, which is known to the State of California to cause reproductive toxicity with developmental effects.  For more information go to www.P65Warnings.ca.gov.